扫码关注公众号           扫码咨询技术支持           扫码咨询技术服务
  
客服热线:400-901-9800  客服QQ:4009019800  技术答疑  技术支持  质量反馈  人才招聘  关于我们  联系我们
产品中心-北京博奥森生物技术有限公司
首页 > 产品中心 > 试剂盒 > 产品信息
Human c-Met Ready-To-Use IHC Kit (IHC0589H)  
订购热线:400-901-9800
订购邮箱:sales@bioss.com.cn
订购QQ:  400-901-9800
技术支持:techsupport@bioss.com.cn
50T/3200.00元
大包装/询价

产品编号 IHC0589H
英文名称 Human c-Met Ready-To-Use IHC Kit
中文名称 人肝细胞生长因子受体即用型免疫组化试剂盒
别    名 c-Met; DFNB97; AUTS9; c met; D249; Hepatocyte growth factor receptor; HGF; HGF receptor; HGF/SF receptor; HGFR; MET; Met proto oncogene tyrosine kinase; MET proto oncogene; receptor tyrosine kinase; Met proto-oncogene (hepatocyte growth factor receptor); Met proto-oncogene; Met protooncogene; MET_HUMAN; Oncogene MET; Par4; Proto-oncogene c-Met; RCCP2; Scatter factor receptor; SF receptor; Tyrosine-protein kinase Met  
克 隆 号
适用样品基质 FFPE tissue
保存条件 Please store components at the temperatures indicated on the individual tube labels. The kit is stable for 6 months from the date of receipt.
产品介绍 MET (cMET) is a receptor-like tyrosine kinase whose dysregulation has been linked to many types of human malignancies. After activation of the ligand, MET interacts with the PI3-kinase subunit PIK3R1, PLCG1, SRC, GRB2, and STAT3. There interactions lead to the activation of signaling cascades including RAS-ERK, PI3, kinase-AKT, and PLCgamma-PKC. MET plays a role in embryonic development including gastrulation, development of muscles and neurons, angiogenesis, and kidney formation. It also plays a role in adults including wound healing, organ regeneration, and tissue remodeling. MET has been linked to cancers including gastric, renal, and breast; therefore, making it a target for cancer therapeutics and diagnostic testing.

SWISS:
P08581

Gene ID:
4233

产品图片
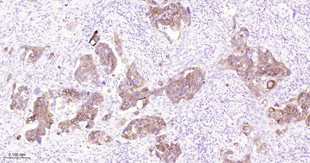
Immunohistochemical analysis of paraffin embedded Human colon cancer tissue slide using IHC0589H (Human c-Met Kit).
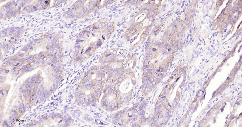
Immunohistochemical analysis of paraffin embedded Human lung cancer tissue slide using IHC0589H (Human c-Met Kit).
版权所有 2004-2026 www.bioss.com.cn 北京博奥森生物技术有限公司
通过国际质量管理体系ISO 9001:2015 GB/T 19001-2016    证书编号: 00124Q34771R2M/1100
通过国际医疗器械-质量管理体系ISO 13485:2016 GB/T 42061-2022     证书编号: CQC24QY20047R0M/1100
京ICP备05066980号-1         京公网安备110107000727号