扫码关注公众号           扫码咨询技术支持           扫码咨询技术服务
  
客服热线:400-901-9800  客服QQ:4009019800  技术答疑  技术支持  质量反馈  人才招聘  关于我们  联系我们
产品中心-北京博奥森生物技术有限公司
首页 > 产品中心 > 试剂盒 > 产品信息
Rat HSP90 beta Ready-To-Use IHC Kit (IHC0591R)  
订购热线:400-901-9800
订购邮箱:sales@bioss.com.cn
订购QQ:  400-901-9800
技术支持:techsupport@bioss.com.cn
50T/3200.00元
大包装/询价

产品编号 IHC0591R
英文名称 Rat HSP90 beta Ready-To-Use IHC Kit
中文名称 大鼠热休克蛋白90β/HSP90 β即用型免疫组化试剂盒
别    名 90kDa; AL022974; C81438; Hsp84-1; Hsp90; HSP90AB1; HSPC3; HSP90 beta; D6S182; FLJ26984; Heat shock 90kD protein 1 beta; Heat shock protein 90kDa alpha (cytosolic) class B member 1; Heat shock protein beta; Heat shock protein HSP 90 beta; HSP 84; HSP84; HSP 90; HSP-90 BETA; HSP90B; HSPC2; HSPCB; HS90B_HUMAN; Heat shock protein HSP 90-beta; Heat shock 84 kDa  
克 隆 号
适用样品基质 FFPE tissue
保存条件 Please store components at the temperatures indicated on the individual tube labels. The kit is stable for 6 months from the date of receipt.
产品介绍 Heat shock proteins (HSP) are expressed in response to various biological stresses, including heat. HSP90 is a 90 kDa protein that is induced under stress conditions, but is also one of the most abundant cellular proteins found under non-stress conditions. HSP90 proteins are highly conserved molecular chaperones that have key roles in signal transduction, protein folding, protein degradation, and morphologic evolution. HSP90 proteins normally associate with other cochaperones and play important roles in folding newly synthesized proteins or stabilizing and refolding denatured proteins after stress. HSP90 has been found to be associated with a number of other intracellular proteins, including steroid receptors, actin, tubulin, aryl hydrocarbon (Ah) receptor, and some kinases.

SWISS:
P08238

Gene ID:
3326

产品图片
Immunohistochemical analysis of paraffin embedded Rat heart tissue slide using IHC0591R (Rat HSP90 beta Kit).
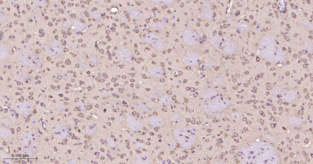
Immunohistochemical analysis of paraffin embedded Rat brain tissue slide using IHC0591R (Rat HSP90 beta Kit).
版权所有 2004-2026 www.bioss.com.cn 北京博奥森生物技术有限公司
通过国际质量管理体系ISO 9001:2015 GB/T 19001-2016    证书编号: 00124Q34771R2M/1100
通过国际医疗器械-质量管理体系ISO 13485:2016 GB/T 42061-2022     证书编号: CQC24QY20047R0M/1100
京ICP备05066980号-1         京公网安备110107000727号