扫码关注公众号           扫码咨询技术支持           扫码咨询技术服务
  
客服热线:400-901-9800  客服QQ:4009019800  技术答疑  技术支持  质量反馈  人才招聘  关于我们  联系我们
产品中心-北京博奥森生物技术有限公司
首页 > 产品中心 > 试剂盒 > 产品信息
Human Phospho-EIF2S1(Ser51) Ready-To-Use IHC Kit (IHC0592H)  
订购热线:400-901-9800
订购邮箱:sales@bioss.com.cn
订购QQ:  400-901-9800
技术支持:techsupport@bioss.com.cn
50T/3200.00元
大包装/询价

产品编号 IHC0592H
英文名称 Human Phospho-EIF2S1(Ser51) Ready-To-Use IHC Kit
中文名称 人磷酸化真核启动因子2α即用型免疫组化试剂盒
别    名 0910001O23Rik; 2410026C18Rik; 35kDa; EIF-2; EIF-2A; EIF-2alpha; EIF2; EIF2A; eIF2alpha; EIF2S1; eukaryotic translation initiation factor 2 subunit 1  
克 隆 号
适用样品基质 FFPE tissue
保存条件 Please store components at the temperatures indicated on the individual tube labels. The kit is stable for 6 months from the date of receipt.
产品介绍 EIF2a (Eukaryotic translation initiation factor 2A) is a heterotrimer composed of three subunits (alpha, beta, and gamma). This translation initiation factor drives binding of initiator methionyl-tRNA to the 40S ribosome in an AUG-dependent manner to form the 43S pre-initiation complex. The polypeptide can be phosphorylated by related protein kinases activated in response to stress. Phosphorylated EIF2A inhibits EIF2B activity and prevents guanine nucleotide exchange.

SWISS:
P05198

Gene ID:
1965

产品图片
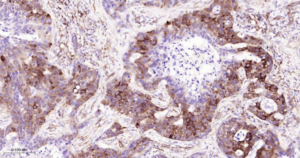
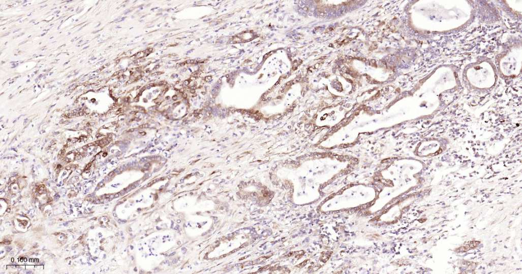
Immunohistochemical analysis of paraffin embedded Human pancreatic cancer tissue slide using IHC0592H (Human Phospho-EIF2S1(Ser51) Kit).
Immunohistochemical analysis of paraffin embedded Human breast cancer tissue slide using IHC0592H (Human Phospho-EIF2S1(Ser51) Kit).
Immunohistochemical analysis of paraffin embedded Human colon cancer tissue slide using IHC0592H (Human Phospho-EIF2S1(Ser51) Kit).
Immunohistochemical analysis of paraffin embedded Human lung cancer tissue slide using IHC0592H (Human Phospho-EIF2S1(Ser51) Kit).
版权所有 2004-2026 www.bioss.com.cn 北京博奥森生物技术有限公司
通过国际质量管理体系ISO 9001:2015 GB/T 19001-2016    证书编号: 00124Q34771R2M/1100
通过国际医疗器械-质量管理体系ISO 13485:2016 GB/T 42061-2022     证书编号: CQC24QY20047R0M/1100
京ICP备05066980号-1         京公网安备110107000727号