扫码关注公众号           扫码咨询技术支持           扫码咨询技术服务
  
客服热线:400-901-9800  客服QQ:4009019800  技术答疑  技术支持  质量反馈  人才招聘  关于我们  联系我们
产品中心-北京博奥森生物技术有限公司
首页 > 产品中心 > 试剂盒 > 产品信息
Human Fibrinogen alpha chain Ready-To-Use IHC Kit (IHC0595H)  
订购热线:400-901-9800
订购邮箱:sales@bioss.com.cn
订购QQ:  400-901-9800
技术支持:techsupport@bioss.com.cn
50T/3200.00元
大包装/询价

产品编号 IHC0595H
英文名称 Human Fibrinogen alpha chain Ready-To-Use IHC Kit
中文名称 人纤维蛋白肽A即用型免疫组化试剂盒
别    名 HEL-S-78p; PRO2061; FGA; FGA protein; FGB; FGG; Fib2; Fibrin alpha chain; Fibrinogen A alpha polypeptide; Fibrinogen A alpha polypeptide chain; Fibrinogen alpha chain; Fibrinogen B alpha polypeptide; Fibrinogen beta chain; Fibrinogen G alpha polypeptide; Fibrinogen gamma chain; MGC104327; MGC119422; MGC119423; MGC119425; MGC120405; FIBA_HUMAN  
克 隆 号
适用样品基质 FFPE tissue
保存条件 Please store components at the temperatures indicated on the individual tube labels. The kit is stable for 6 months from the date of receipt.
产品介绍 Fibrinogen, the precursor of fibrin, is the coagulable protein in the blood plasma of vertebrates. Following vascular injury, fibrinogen is cleaved by thrombin to form fibrin which is the most abundant component of blood clots. Fibrinogen consists as a dimer of 3 pairs of non-identical chains FGA, FGB, and FGG that are cross-linked by disulfide bonds in their N-terminal segments. The molecule has 2 terminal D domains and one central E domain, all three domains are separated when fibrinogen is degradated by plasmin. Mutations in this gene lead to several disorders, including dysfibrinogenemia, afibrinogenemia, and renal amyloidosis.

SWISS:
P02671

Gene ID:
2243

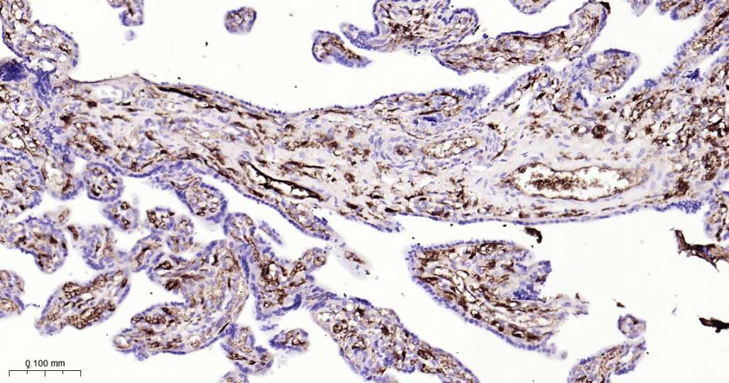
产品图片
Immunohistochemical analysis of paraffin embedded Human placenta tissue slide using IHC0595H (Human Fibrinogen alpha chain Kit).
Immunohistochemical analysis of paraffin embedded Human liver tissue slide using IHC0595H (Human Fibrinogen alpha chain Kit).
版权所有 2004-2026 www.bioss.com.cn 北京博奥森生物技术有限公司
通过国际质量管理体系ISO 9001:2015 GB/T 19001-2016    证书编号: 00124Q34771R2M/1100
通过国际医疗器械-质量管理体系ISO 13485:2016 GB/T 42061-2022     证书编号: CQC24QY20047R0M/1100
京ICP备05066980号-1         京公网安备110107000727号