扫码关注公众号           扫码咨询技术支持           扫码咨询技术服务
  
客服热线:400-901-9800  客服QQ:4009019800  技术答疑  技术支持  质量反馈  人才招聘  关于我们  联系我们
产品中心-北京博奥森生物技术有限公司
首页 > 产品中心 > 试剂盒 > 产品信息
Mouse CD31 Ready-To-Use IHC Kit (IHC0599M)  
订购热线:400-901-9800
订购邮箱:sales@bioss.com.cn
订购QQ:  400-901-9800
技术支持:techsupport@bioss.com.cn
50T/3200.00元
大包装/询价

产品编号 IHC0599M
英文名称 Mouse CD31 Ready-To-Use IHC Kit
中文名称 小鼠血小板内皮细胞黏附分子-1即用型免疫组化试剂盒
别    名 C85791; Cd31; Pecam; platelet endothelial cell adhesion molecule precursor-1; PECAM-1; PECAM1; Adhesion molecule; CD31 antigen; CD31 EndoCAM; Endocam; FLJ34100; FLJ58394; GPIIA; Pecam 1; PECA1_HUMAN; PECAM 1 CD31 EndoCAM; PECA1; Pecam1; Platelet endothelial cell adhesion molecule; Platelet/endothelial cell adhesion molecule 1; Adhesion molecule; Platelet/endothelial cell adhesion molecule  
克 隆 号
适用样品基质 FFPE tissue
保存条件 Please store components at the temperatures indicated on the individual tube labels. The kit is stable for 6 months from the date of receipt.
产品介绍 CD31 (platelet endothelial cell adhesion molecule-1, PECAM-1) is an inhibitory coreceptor involved in regulation of T cell and B cell signaling by a dual immunoreceptor tyrosine-based inhibitory motif (ITIM) that upon associated kinases-mediated phosphorylation provide docking sites for protein-tyrosine phosphatases. CD31 is expressed ubiquitously within the vascular compartment and is located mainly at junctions between adjacent cells. N-terminal Ig-like domain of CD31 is responsible for its homophilic binding, which plays an important role in cell-cell interactions. CD31 is a multifunctional molecule with diverse roles in modulation of integrin-mediated cell adhesion, transendothelial migration, angiogenesis, apoptosis, negative regulation of immunoreceptor signaling, autoimmunity, macrophage phagocytosis, IgE-mediated anaphylaxis and thrombosis. It is one of key regulatory molecules in vascular system.

SWISS:
Q08481

Gene ID:
18613

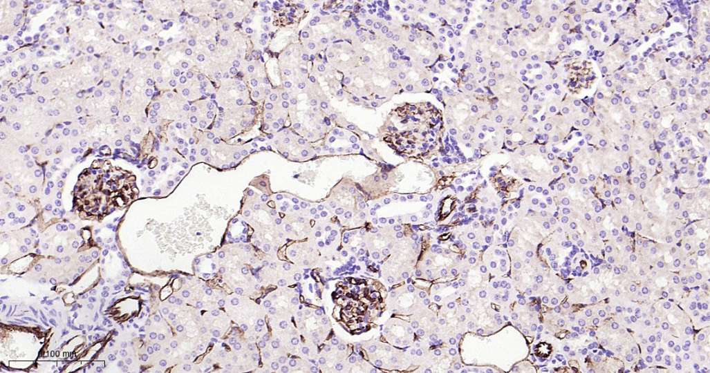
产品图片
Immunohistochemical analysis of paraffin embedded Mouse kidney tissue slide using IHC0599M (Mouse CD31 Kit).
版权所有 2004-2026 www.bioss.com.cn 北京博奥森生物技术有限公司
通过国际质量管理体系ISO 9001:2015 GB/T 19001-2016    证书编号: 00124Q34771R2M/1100
通过国际医疗器械-质量管理体系ISO 13485:2016 GB/T 42061-2022     证书编号: CQC24QY20047R0M/1100
京ICP备05066980号-1         京公网安备110107000727号