扫码关注公众号           扫码咨询技术支持           扫码咨询技术服务
  
客服热线:400-901-9800  客服QQ:4009019800  技术答疑  技术支持  质量反馈  人才招聘  关于我们  联系我们
产品中心-北京博奥森生物技术有限公司
首页 > 产品中心 > 试剂盒 > 产品信息
HP1 alpha Ready-To-Use IHC Kit (IHC0601)  
订购热线:400-901-9800
订购邮箱:sales@bioss.com.cn
订购QQ:  400-901-9800
技术支持:techsupport@bioss.com.cn
50T/3200.00元
大包装/询价

产品编号 IHC0601
英文名称 HP1 alpha Ready-To-Use IHC Kit
中文名称 异染色质蛋白1-α即用型免疫组化试剂盒
别    名 CBX5; HEL25; HP1; HP1A Antigen p25; HP1-α; CBX5; CBX5_HUMAN; Chromobox homolog 5 (HP1 alpha homolog; Drosophila); Chromobox homolog 5; Chromobox protein homolog 5; Heterochromatin protein 1 alpha; Heterochromatin protein 1; Heterochromatin protein 1 homolog alpha; HP1 alpha; HP1 alpha homolog; HP1; HP1A; HP1Hs alpha  
克 隆 号
适用样品基质 FFPE tissue
保存条件 Please store components at the temperatures indicated on the individual tube labels. The kit is stable for 6 months from the date of receipt.
产品介绍 Heterochromatin protein-1 (HP1) is a methyl-lysine binding protein localized at heterochromatin sites, where it mediates gene silencing. It has been shown that mammalian methyltransferases that selectively methylate histone H3 on lysine-9 generate a binding site for HP1 proteins, a family of heterochromatic adaptor molecules implicated in both gene silencing and supranucleosomal chromatin structure. High-affinity in vitro recognition of a methylated histone H3 peptide by HP1 requires a functional chromodomain. Thus, the HP1 chromodomain is a specific interaction motif for the methyl epitope on lysine-9 of histone H3. In vivo, heterochromatin association of HP1 proteins is lost in Suv39h double-null primary mouse fibroblasts but is restored after reintroduction of a catalytically active SUV39H1 HMTase.

SWISS:
P45973

Gene ID:
23468

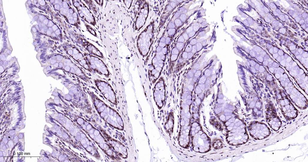
产品图片
Immunohistochemical analysis of paraffin embedded Mouse colon tissue slide using IHC0601 (HP1 alpha Kit).
Immunohistochemical analysis of paraffin embedded Rat colon tissue slide using IHC0601 (HP1 alpha Kit).
版权所有 2004-2026 www.bioss.com.cn 北京博奥森生物技术有限公司
通过国际质量管理体系ISO 9001:2015 GB/T 19001-2016    证书编号: 00124Q34771R2M/1100
通过国际医疗器械-质量管理体系ISO 13485:2016 GB/T 42061-2022     证书编号: CQC24QY20047R0M/1100
京ICP备05066980号-1         京公网安备110107000727号