扫码关注公众号           扫码咨询技术支持           扫码咨询技术服务
  
客服热线:400-901-9800  客服QQ:4009019800  技术答疑  技术支持  质量反馈  人才招聘  关于我们  联系我们
产品中心-北京博奥森生物技术有限公司
首页 > 产品中心 > 试剂盒 > 产品信息
Mouse HP1 alpha Ready-To-Use IHC Kit (IHC0601M)  
订购热线:400-901-9800
订购邮箱:sales@bioss.com.cn
订购QQ:  400-901-9800
技术支持:techsupport@bioss.com.cn
50T/3200.00元
大包装/询价

产品编号 IHC0601M
英文名称 Mouse HP1 alpha Ready-To-Use IHC Kit
中文名称 小鼠异染色质蛋白1-α即用型免疫组化试剂盒
别    名 CBX5; HEL25; HP1; HP1A Antigen p25; HP1-α; CBX5; CBX5_HUMAN; Chromobox homolog 5 (HP1 alpha homolog; Drosophila); Chromobox homolog 5; Chromobox protein homolog 5; Heterochromatin protein 1 alpha; Heterochromatin protein 1; Heterochromatin protein 1 homolog alpha; HP1 alpha; HP1 alpha homolog; HP1; HP1A; HP1Hs alpha  
克 隆 号
适用样品基质 FFPE tissue
保存条件 Please store components at the temperatures indicated on the individual tube labels. The kit is stable for 6 months from the date of receipt.
产品介绍 Heterochromatin protein-1 (HP1) is a methyl-lysine binding protein localized at heterochromatin sites, where it mediates gene silencing. It has been shown that mammalian methyltransferases that selectively methylate histone H3 on lysine-9 generate a binding site for HP1 proteins, a family of heterochromatic adaptor molecules implicated in both gene silencing and supranucleosomal chromatin structure. High-affinity in vitro recognition of a methylated histone H3 peptide by HP1 requires a functional chromodomain. Thus, the HP1 chromodomain is a specific interaction motif for the methyl epitope on lysine-9 of histone H3. In vivo, heterochromatin association of HP1 proteins is lost in Suv39h double-null primary mouse fibroblasts but is restored after reintroduction of a catalytically active SUV39H1 HMTase.

SWISS:
P45973

Gene ID:
23468

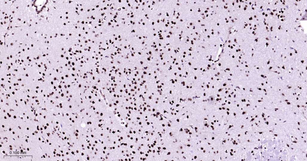
产品图片
Immunohistochemical analysis of paraffin embedded Mouse brain tissue slide using IHC0601M (Mouse HP1 alpha Kit).
版权所有 2004-2026 www.bioss.com.cn 北京博奥森生物技术有限公司
通过国际质量管理体系ISO 9001:2015 GB/T 19001-2016    证书编号: 00124Q34771R2M/1100
通过国际医疗器械-质量管理体系ISO 13485:2016 GB/T 42061-2022     证书编号: CQC24QY20047R0M/1100
京ICP备05066980号-1         京公网安备110107000727号