扫码关注公众号           扫码咨询技术支持           扫码咨询技术服务
  
客服热线:400-901-9800  客服QQ:4009019800  技术答疑  技术支持  质量反馈  人才招聘  关于我们  联系我们
产品中心-北京博奥森生物技术有限公司
首页 > 产品中心 > 试剂盒 > 产品信息
PSMD14 Ready-To-Use IHC Kit (IHC0602)  
订购热线:400-901-9800
订购邮箱:sales@bioss.com.cn
订购QQ:  400-901-9800
技术支持:techsupport@bioss.com.cn
50T/3200.00元
大包装/询价

产品编号 IHC0602
英文名称 PSMD14 Ready-To-Use IHC Kit
中文名称 蛋白酶调解因子14即用型免疫组化试剂盒
别    名 2610312C03Rik; 3200001M20Rik; AA986732; PAD1; POH1; PSMD14; rpm11; RPN11  
克 隆 号
适用样品基质 FFPE tissue
保存条件 Please store components at the temperatures indicated on the individual tube labels. The kit is stable for 6 months from the date of receipt.
产品介绍 The 26S proteasome is responsible for most intracellular proteolysis in eukaryotes. POH1 (also known as Rpn11 in yeast) subunit of the 19S complex is responsible for substrate deubiquitination during proteasomal degradation. POH1 appears to be a Zn21-dependent protease, unlike all other known deubiquitinating enzymes (DUBs) that are cysteine proteases. POH1 was first identified as the human functional homolog of the S. pombe pad1 gene, which confers moderate resistance to chemotherapeutic drugs, and also to ultraviolet light when transiently overproduced in mammalian cells. Poh1-induced drug resistance is mediated through AP-1 transcription factors.

SWISS:
O00487

Gene ID:
10213

产品图片
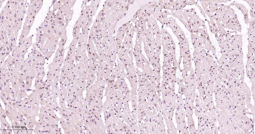
Immunohistochemical analysis of paraffin embedded Mouse heart tissue slide using IHC0602 (PSMD14 Kit).
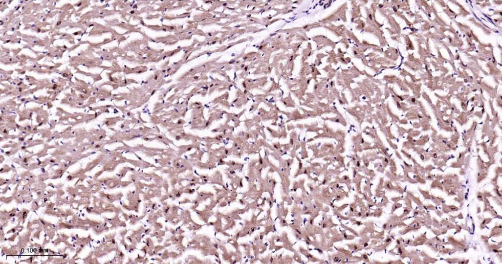
Immunohistochemical analysis of paraffin embedded Human heart tissue slide using IHC0602 (PSMD14 Kit).
Immunohistochemical analysis of paraffin embedded Rat heart tissue slide using IHC0602 (PSMD14 Kit).
版权所有 2004-2026 www.bioss.com.cn 北京博奥森生物技术有限公司
通过国际质量管理体系ISO 9001:2015 GB/T 19001-2016    证书编号: 00124Q34771R2M/1100
通过国际医疗器械-质量管理体系ISO 13485:2016 GB/T 42061-2022     证书编号: CQC24QY20047R0M/1100
京ICP备05066980号-1         京公网安备110107000727号