扫码关注公众号           扫码咨询技术支持           扫码咨询技术服务
  
客服热线:400-901-9800  客服QQ:4009019800  技术答疑  技术支持  质量反馈  人才招聘  关于我们  联系我们
产品中心-北京博奥森生物技术有限公司
首页 > 产品中心 > 试剂盒 > 产品信息
Human CD63 Ready-To-Use IHC Kit (IHC0607H)  
订购热线:400-901-9800
订购邮箱:sales@bioss.com.cn
订购QQ:  400-901-9800
技术支持:techsupport@bioss.com.cn
50T/3200.00元
大包装/询价

产品编号 IHC0607H
英文名称 Human CD63 Ready-To-Use IHC Kit
中文名称 人黑色素瘤相关抗原即用型免疫组化试剂盒
别    名 CD63; LAMP-3; ME491; MLA1; OMA81H; TSPAN30  
克 隆 号
适用样品基质 FFPE tissue
保存条件 Please store components at the temperatures indicated on the individual tube labels. The kit is stable for 6 months from the date of receipt.
产品介绍 CD63, also known as LAMP-3, is a glycoprotein belonging to the tetraspanin family, primarily located in late endosomes, lysosomes, and secretory vesicles across various cell types. It is expressed intracellularly in resting platelets and basophils, but upon activation, CD63 translocates to the plasma membrane, making it a widely used marker for basophil activation. Unlike basophils, mast cells can expose CD63 without activation. CD63 is expressed on activated platelets, monocytes, macrophages, and granulocytes, as well as endothelial cells, fibroblasts, and smooth muscle cells. It interacts with integrins (such as VLA-3 and VLA-6) and TIMP-1, playing roles in mediating allergic responses, phagocytosis, and cell migration. Additionally, CD63 is involved in the regulation of H/K-ATPase trafficking and ROMK1 channels, and serves as a T-cell costimulation molecule. CD63 expression can be used to predict prognosis in early-stage carcinomas and is identical to the melanoma-associated antigen ME491 and the platelet antigen PTLGP40. Diseases associated with CD63 dysfunction include melanoma and Hermansky-Pudlak Syndrome, highlighting its significance in both immune responses and disease processes.

SWISS:
P08962

Gene ID:
967

产品图片
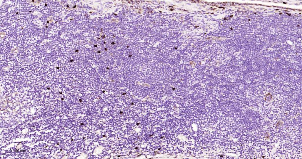
Immunohistochemical analysis of paraffin embedded Human spleen tissue slide using IHC0607H (Human CD63 Kit).
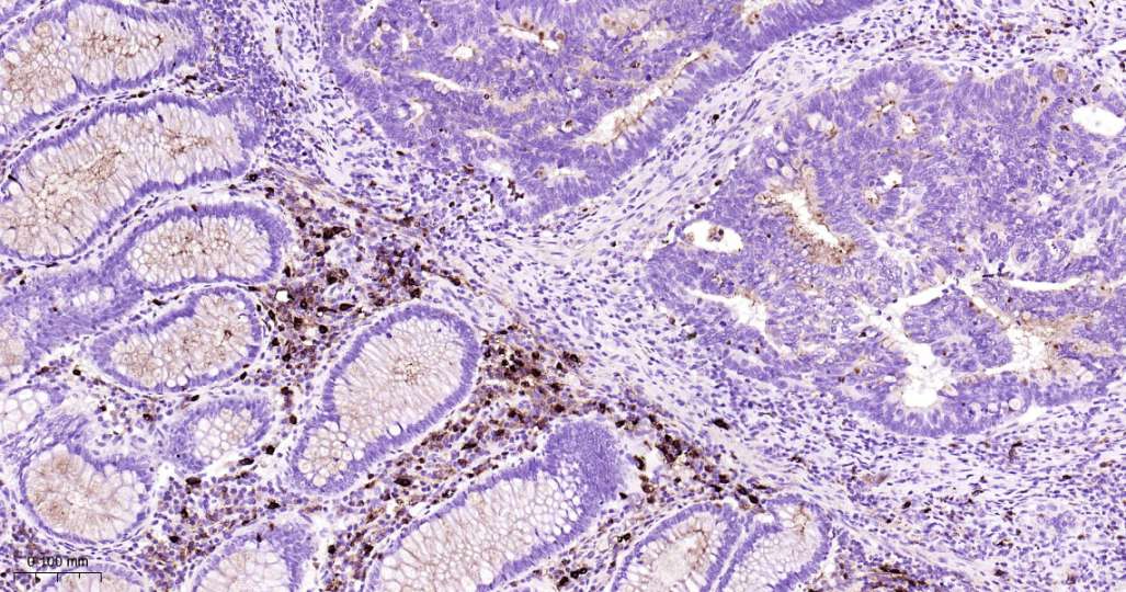
Immunohistochemical analysis of paraffin embedded Human colon cancer tissue slide using IHC0607H (Human CD63 Kit).
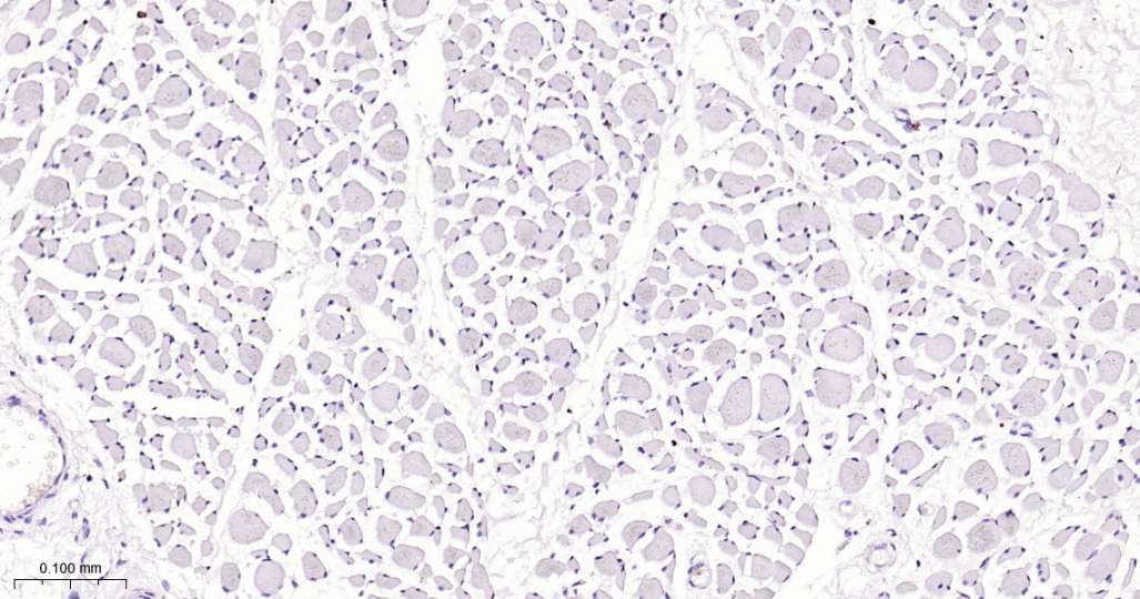
Immunohistochemical analysis of paraffin embedded Human skeletal muscle tissue slide using IHC0607H (Human CD63 Kit).
Immunohistochemical analysis of paraffin embedded Human lung cancer tissue slide using IHC0607H (Human CD63 Kit).
Immunohistochemical analysis of paraffin embedded Human tonsil tissue slide using IHC0607H (Human CD63 Kit).
版权所有 2004-2026 www.bioss.com.cn 北京博奥森生物技术有限公司
通过国际质量管理体系ISO 9001:2015 GB/T 19001-2016    证书编号: 00124Q34771R2M/1100
通过国际医疗器械-质量管理体系ISO 13485:2016 GB/T 42061-2022     证书编号: CQC24QY20047R0M/1100
京ICP备05066980号-1         京公网安备110107000727号