扫码关注公众号           扫码咨询技术支持           扫码咨询技术服务
  
客服热线:400-901-9800  客服QQ:4009019800  技术答疑  技术支持  质量反馈  人才招聘  关于我们  联系我们
产品中心-北京博奥森生物技术有限公司
首页 > 产品中心 > 试剂盒 > 产品信息
Human STAT3 Ready-To-Use IHC Kit (IHC0608H)  
订购热线:400-901-9800
订购邮箱:sales@bioss.com.cn
订购QQ:  400-901-9800
技术支持:techsupport@bioss.com.cn
50T/3200.00元
大包装/询价

产品编号 IHC0608H
英文名称 Human STAT3 Ready-To-Use IHC Kit
中文名称 人信号转导和转录激活因子3即用型免疫组化试剂盒
别    名 1110034C02Rik; ADMIO; ADMIO1; APRF; AW109958; HIES; STAT3  
克 隆 号
适用样品基质 FFPE tissue
保存条件 Please store components at the temperatures indicated on the individual tube labels. The kit is stable for 6 months from the date of receipt.
产品介绍 STAT3 belongs to the family of STAT (signal transducers and activators of transcription) proteins which are phosphorylated by receptor associated kinases, translocate to the nucleus, and act as transcription factors in response to cytokines and growth factors. Coactivators such as CREB-binding protein are required for the transcriptional activation by STAT3. STAT3 can also be activated by Interferon-alpha, Interferon-gamma, EGF, PDGF and IL6. Phosphorylation on tyrosine 705 by JAK1 and JAK2 is essential for STAT3 dimer formation, nuclear translocation, and DNA binding activity. In humans, the STAT3 gene is located on the q arm of chromosome 17. STAT3 has been shown to be activated by IFN-alpha but not IFN-beta. The transcription factors associated with STAT3 are c-Jun and cyclic AMP-responsive enhancer binding protein (CREB). STAT3 mediates the expression of a variety of genes in response to cell stimuli, and thus plays a key role in many cellular processes such as cell growth and apoptosis. The small GTPase Rac1 has been shown to bind and regulate the activity of STAT3 while the PIAS3 protein is a specific inhibitor of STAT3. Three alternatively spliced transcript variants encoding distinct isoforms of STAT3 have been described. Deletion of the STAT3 gene in knock-out mice was lethal at the early embryonic stage.

SWISS:
P40763

Gene ID:
6774

产品图片
Immunohistochemical analysis of paraffin embedded Human small intestine tissue slide using IHC0608H (Human STAT3 Kit).
Immunohistochemical analysis of paraffin embedded Human breast cancer tissue slide using IHC0608H (Human STAT3 Kit).
Immunohistochemical analysis of paraffin embedded Human brain tissue slide using IHC0608H (Human STAT3 Kit).
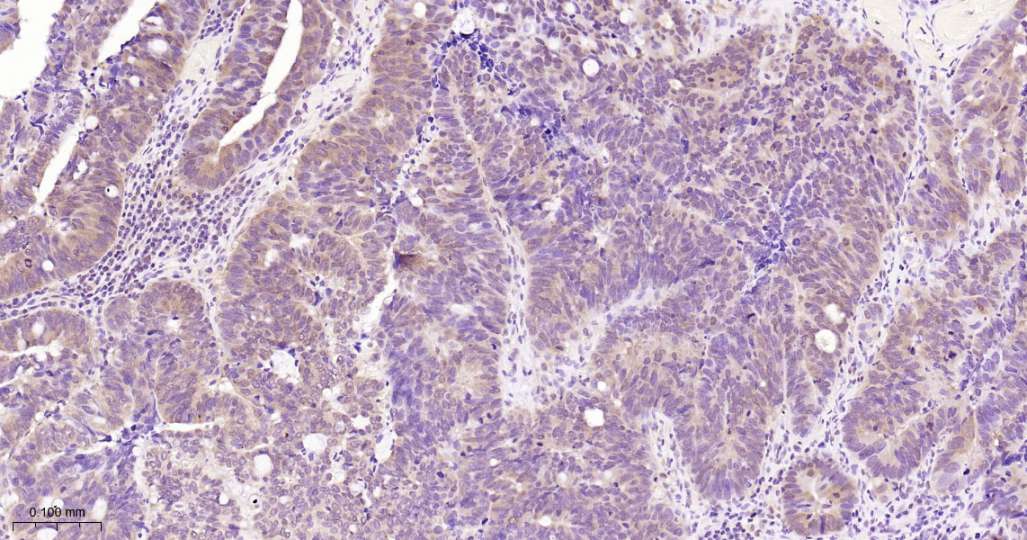
Immunohistochemical analysis of paraffin embedded Human colon cancer tissue slide using IHC0608H (Human STAT3 Kit).
Immunohistochemical analysis of paraffin embedded Human liver tissue slide using IHC0608H (Human STAT3 Kit).
Immunohistochemical analysis of paraffin embedded Human lung cancer tissue slide using IHC0608H (Human STAT3 Kit).
Immunohistochemical analysis of paraffin embedded Human tonsil tissue slide using IHC0608H (Human STAT3 Kit).
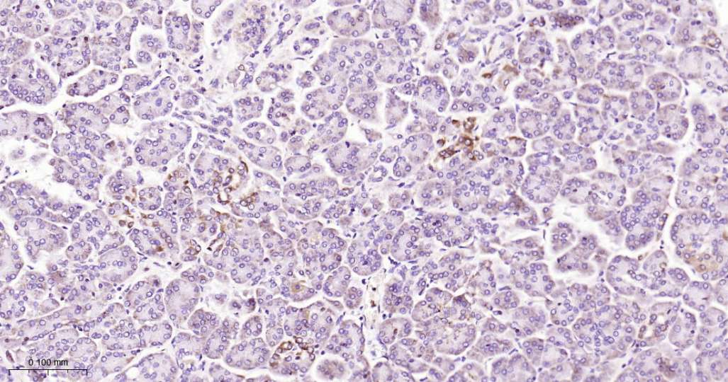
Immunohistochemical analysis of paraffin embedded Human pancreas tissue slide using IHC0608H (Human STAT3 Kit).
版权所有 2004-2026 www.bioss.com.cn 北京博奥森生物技术有限公司
通过国际质量管理体系ISO 9001:2015 GB/T 19001-2016    证书编号: 00124Q34771R2M/1100
通过国际医疗器械-质量管理体系ISO 13485:2016 GB/T 42061-2022     证书编号: CQC24QY20047R0M/1100
京ICP备05066980号-1         京公网安备110107000727号