扫码关注公众号           扫码咨询技术支持           扫码咨询技术服务
  
客服热线:400-901-9800  客服QQ:4009019800  技术答疑  技术支持  质量反馈  人才招聘  关于我们  联系我们
产品中心-北京博奥森生物技术有限公司
首页 > 产品中心 > 试剂盒 > 产品信息
Human CD133 Ready-To-Use IHC Kit (IHC0611H)  
订购热线:400-901-9800
订购邮箱:sales@bioss.com.cn
订购QQ:  400-901-9800
技术支持:techsupport@bioss.com.cn
50T/3200.00元
大包装/询价

产品编号 IHC0611H
英文名称 Human CD133 Ready-To-Use IHC Kit
中文名称 人造血干细胞抗原CD133即用型免疫组化试剂盒
别    名 AC133; CD133; CORD12; MCDR2; MSTP061; PROM1; PROML1; RP41; STGD4  
克 隆 号
适用样品基质 FFPE tissue
保存条件 Please store components at the temperatures indicated on the individual tube labels. The kit is stable for 6 months from the date of receipt.
产品介绍 The CD133 (AC133) antigen is a 97 kDa glycoprotein, with 5 transmembrane domains, that shows up as a 120 kDa band on protein gels due to glycosylation. CD133 is a cell surface marker expressed by immature hematopoietic stem cells but not mature blood cells. In addition to hematopoietic stem and progenitor cells, CD133 has been found to be a marker for other stem and progenitor cells including neural and embryonic stem cells. CD133 has been shown to be expressed in cancers, including some leukemias and brain tumors, that may be derived from stem cells. Low level expression could also be detected in the kidney, pancreas, placenta, and fetal liver. Mutations in this gene have been shown to result in retinitis pigmentosa and Stargardt disease. Expression of the CD133 gene is also associated with several types of cancer. CD133 is expressed from at least five alternative promoters that are expressed in a tissue-dependent manner, and multiple transcript variants encoding different isoforms have been found.

SWISS:
O43490

Gene ID:
8842

产品图片
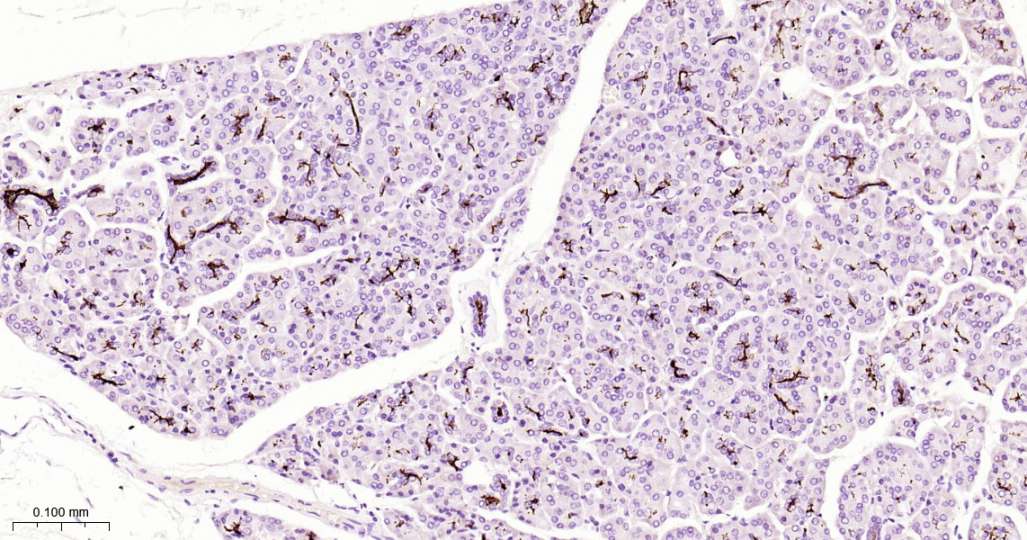
Immunohistochemical analysis of paraffin embedded Human pancreas tissue slide using IHC0611H (Human CD133 Kit).
Immunohistochemical analysis of paraffin embedded Human kidney tissue slide using IHC0611H (Human CD133 Kit).
Immunohistochemical analysis of paraffin embedded Human colon cancer tissue slide using IHC0611H (Human CD133 Kit).
版权所有 2004-2026 www.bioss.com.cn 北京博奥森生物技术有限公司
通过国际质量管理体系ISO 9001:2015 GB/T 19001-2016    证书编号: 00124Q34771R2M/1100
通过国际医疗器械-质量管理体系ISO 13485:2016 GB/T 42061-2022     证书编号: CQC24QY20047R0M/1100
京ICP备05066980号-1         京公网安备110107000727号