扫码关注公众号           扫码咨询技术支持           扫码咨询技术服务
  
客服热线:400-901-9800  客服QQ:4009019800  技术答疑  技术支持  质量反馈  人才招聘  关于我们  联系我们
产品中心-北京博奥森生物技术有限公司
首页 > 产品中心 > 试剂盒 > 产品信息
Human STING1 Ready-To-Use IHC Kit (IHC0614H)  
订购热线:400-901-9800
订购邮箱:sales@bioss.com.cn
订购QQ:  400-901-9800
技术支持:techsupport@bioss.com.cn
50T/3200.00元
大包装/询价

产品编号 IHC0614H
英文名称 Human STING1 Ready-To-Use IHC Kit
中文名称 人跨膜蛋白173即用型免疫组化试剂盒
别    名 SAVI; STING1; TMEM173; endoplasmic reticulum IFN stimulator; Endoplasmic reticulum interferon stimulator; ERIS; FLJ38577; hMITA; hSTING; Mediator of IRF3 activation; MITA; Mitochondrial mediator of IRF3 activation; MPYS; N terminal methionine proline tyrosine serine plasma membrane tetraspanner; NET23; Stimulator of interferon genes; Stimulator of interferon genes protein; STING; TM173_HUMAN; Tmem173; Transmembrane protein 173  
克 隆 号
适用样品基质 FFPE tissue
保存条件 Please store components at the temperatures indicated on the individual tube labels. The kit is stable for 6 months from the date of receipt.
产品介绍 STING is a 379 amino acid containing signaling protein that acts as an important component of innate immune signaling. This signaling protein is able to activate both NF-kappa-B and IRF3 transcription pathways to induce expression of type I interferon (IFN-alpha and IFN-beta) and exert a potent anti-viral state following expression. STING may have translocon function, the translocon possibly being able to influence the induction of type I interferons and is also involved in transduction of apoptotic signals via its association with the major histocompatibility complex class II (MHC-II) thus facilitating the detection of intracellular viral RNA species as well as B-form DNA and mediates death signaling via activation of the extracellular signal-regulated kinase (ERK) pathway. Generally seen in endoplasmic reticulum membrane, cell membrane and mitochondrion outer membrane, it is ubiquitously expressed in most of tissues.

产品图片
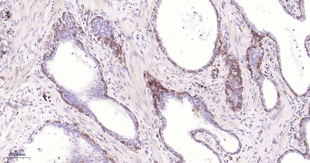
Immunohistochemical analysis of paraffin embedded Human prostate cancer tissue slide using IHC0614H (Human STING1 Kit).
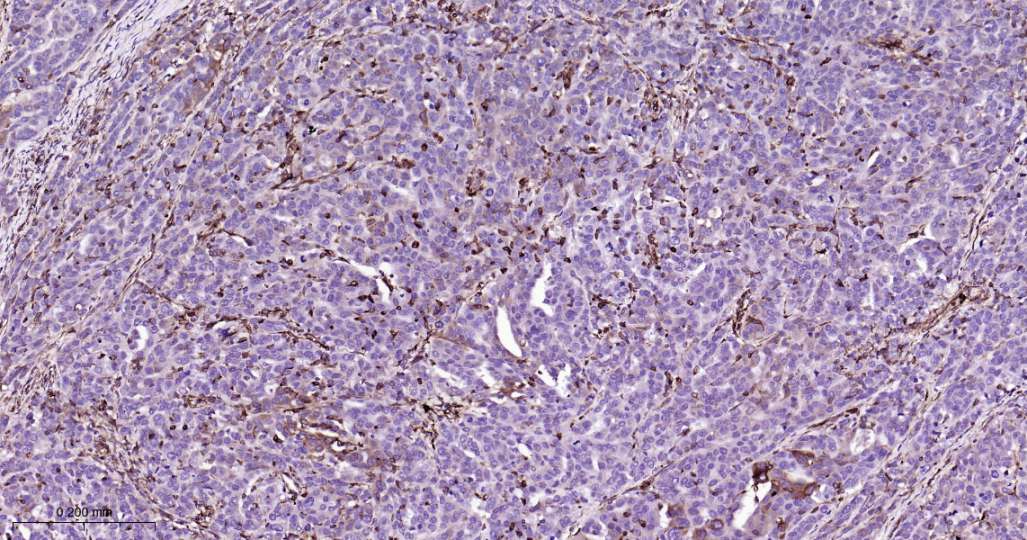
Immunohistochemical analysis of paraffin embedded Human ovarian cancer tissue slide using IHC0614H (Human STING1 Kit).
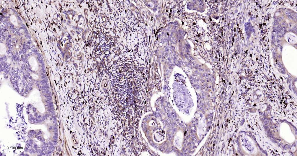
Immunohistochemical analysis of paraffin embedded Human colon cancer tissue slide using IHC0614H (Human STING1 Kit).
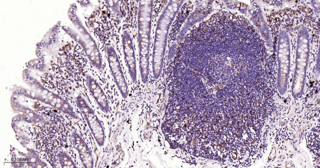
Immunohistochemical analysis of paraffin embedded Human colon tissue slide using IHC0614H (Human STING1 Kit).
Immunohistochemical analysis of paraffin embedded Human tonsil tissue slide using IHC0614H (Human STING1 Kit).
版权所有 2004-2026 www.bioss.com.cn 北京博奥森生物技术有限公司
通过国际质量管理体系ISO 9001:2015 GB/T 19001-2016    证书编号: 00124Q34771R2M/1100
通过国际医疗器械-质量管理体系ISO 13485:2016 GB/T 42061-2022     证书编号: CQC24QY20047R0M/1100
京ICP备05066980号-1         京公网安备110107000727号