扫码关注公众号           扫码咨询技术支持           扫码咨询技术服务
  
客服热线:400-901-9800  客服QQ:4009019800  技术答疑  技术支持  质量反馈  人才招聘  关于我们  联系我们
产品中心-北京博奥森生物技术有限公司
首页 > 产品中心 > 试剂盒 > 产品信息
Mouse ILF3 Ready-To-Use IHC Kit (IHC0615M)  
订购热线:400-901-9800
订购邮箱:sales@bioss.com.cn
订购QQ:  400-901-9800
技术支持:techsupport@bioss.com.cn
50T/3200.00元
大包装/询价

产品编号 IHC0615M
英文名称 Mouse ILF3 Ready-To-Use IHC Kit
中文名称 小鼠白细胞介素增强子结合因子3即用型免疫组化试剂盒
别    名 CBTF; DRBF; DRBP76; ILF3; MBII-26; MMP4; MPHOSPH4; MPP4; NF-AT-90; NF110; NF110b; NF90; NF90a; NF90b; NFAR; NFAR-1; NFAR2; TCP110; TCP80  
克 隆 号
适用样品基质 FFPE tissue
保存条件 Please store components at the temperatures indicated on the individual tube labels. The kit is stable for 6 months from the date of receipt.
产品介绍 UBA6 (UBE1L2, MOP-4)is a novel E1 enzyme specific for ubiquitin and belongs to the ubiquitin-activating E1 family. It is a part of the cascade to attach ubiquitin (Ub) covalently to substrate proteins. UBA6 activates ubiquitin by first adenylating its carboxy-terminal glycine residue with ATP and then linking this residue to the side chain of a cysteine residue in E1, yielding an ubiquitin-E1 thioester and free AMP. Its isoforms influence spermatogenesis and male fertility. UBA6 is highly expressed in human monocytes.

SWISS:
Q12906

Gene ID:
3609

产品图片
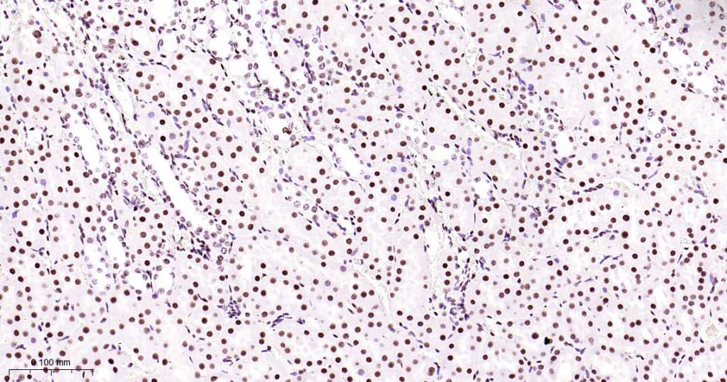
Immunohistochemical analysis of paraffin embedded Mouse kidney tissue slide using IHC0615M (Mouse ILF3 Kit).
Immunohistochemical analysis of paraffin embedded Mouse colon tissue slide using IHC0615M (Mouse ILF3 Kit).
版权所有 2004-2026 www.bioss.com.cn 北京博奥森生物技术有限公司
通过国际质量管理体系ISO 9001:2015 GB/T 19001-2016    证书编号: 00124Q34771R2M/1100
通过国际医疗器械-质量管理体系ISO 13485:2016 GB/T 42061-2022     证书编号: CQC24QY20047R0M/1100
京ICP备05066980号-1         京公网安备110107000727号