扫码关注公众号           扫码咨询技术支持           扫码咨询技术服务
  
客服热线:400-901-9800  客服QQ:4009019800  技术答疑  技术支持  质量反馈  人才招聘  关于我们  联系我们
产品中心-北京博奥森生物技术有限公司
首页 > 产品中心 > 试剂盒 > 产品信息
CTBP2 Ready-To-Use IHC Kit (IHC0616)  
订购热线:400-901-9800
订购邮箱:sales@bioss.com.cn
订购QQ:  400-901-9800
技术支持:techsupport@bioss.com.cn
50T/3200.00元
大包装/询价

产品编号 IHC0616
英文名称 CTBP2 Ready-To-Use IHC Kit
中文名称 C末端结合蛋白2即用型免疫组化试剂盒
别    名 AA407280; CTBP2; D7Ertd45e; Gtrgeo6; Ribeye; C terminal binding protein 2; C-terminal-binding protein 2; CtBP2; CTBP2_HUMAN; ribeye  
克 隆 号
适用样品基质 FFPE tissue
保存条件 Please store components at the temperatures indicated on the individual tube labels. The kit is stable for 6 months from the date of receipt.
产品介绍 This gene produces alternative transcripts encoding two distinct proteins. One protein is a transcriptional repressor, while the other isoform is a major component of specialized synapses known as synaptic ribbons. Both proteins contain a NAD+ binding domain similar to NAD+-dependent 2-hydroxyacid dehydrogenases. A portion of the 3' untranslated region was used to map this gene to chromosome 21q21. 3; however, it was noted that similar loci elsewhere in the genome are likely. Blast analysis shows that this gene is present on chromosome 10.

SWISS:
P56545

Gene ID:
1488

产品图片
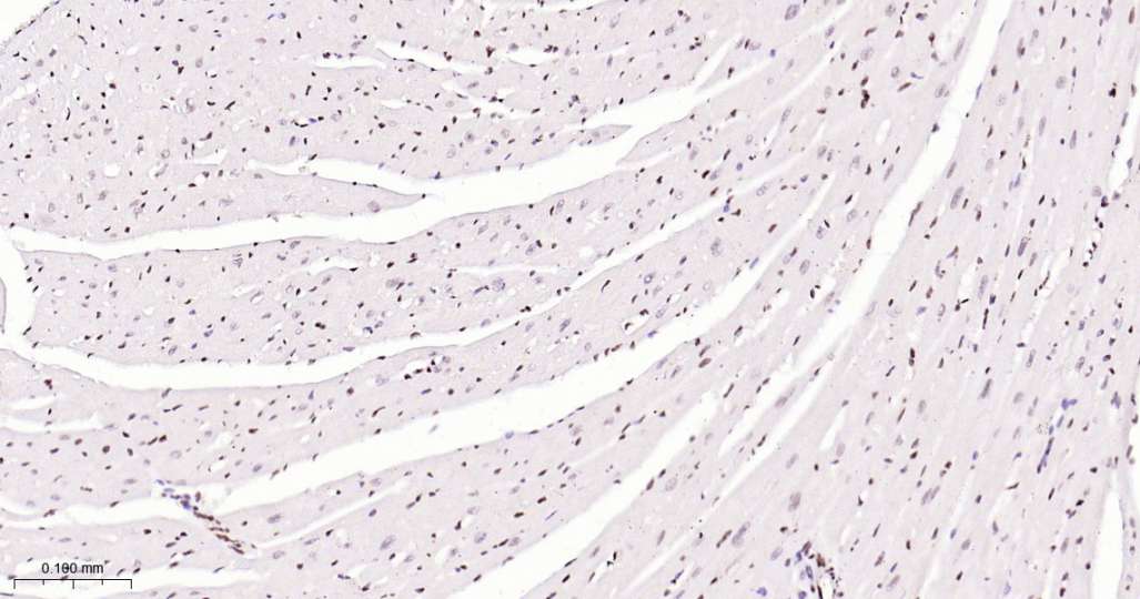
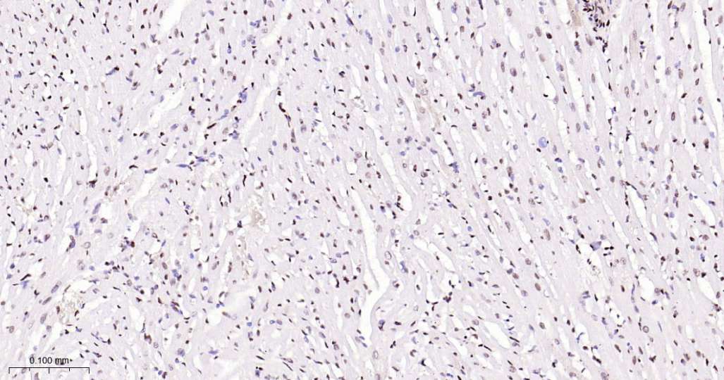
Immunohistochemical analysis of paraffin embedded Mouse heart tissue slide using IHC0616 (CTBP2 Kit).
Immunohistochemical analysis of paraffin embedded Human glioma tissue slide using IHC0616 (CTBP2 Kit).
Immunohistochemical analysis of paraffin embedded Rat heart tissue slide using IHC0616 (CTBP2 Kit).
版权所有 2004-2026 www.bioss.com.cn 北京博奥森生物技术有限公司
通过国际质量管理体系ISO 9001:2015 GB/T 19001-2016    证书编号: 00124Q34771R2M/1100
通过国际医疗器械-质量管理体系ISO 13485:2016 GB/T 42061-2022     证书编号: CQC24QY20047R0M/1100
京ICP备05066980号-1         京公网安备110107000727号