扫码关注公众号           扫码咨询技术支持           扫码咨询技术服务
  
客服热线:400-901-9800  客服QQ:4009019800  技术答疑  技术支持  质量反馈  人才招聘  关于我们  联系我们
产品中心-北京博奥森生物技术有限公司
首页 > 产品中心 > 试剂盒 > 产品信息
phospho-P38 MAPK (T180) Ready-To-Use IHC Kit (IHC0622)  
订购热线:400-901-9800
订购邮箱:sales@bioss.com.cn
订购QQ:  400-901-9800
技术支持:techsupport@bioss.com.cn
50T/3200.00元
大包装/询价

产品编号 IHC0622
英文名称 phospho-P38 MAPK (T180) Ready-To-Use IHC Kit
中文名称 磷酸化p38MAPK即用型免疫组化试剂盒
别    名 CRK1; CSBP; CSBP1; CSBP2; CSPB1; EXIP; Hog; MAPK14; MXI2; p38; p38-alpha; p38a; p38ALPHA; p38Hog; p38MAPK; PRKM14; PRKM15; RK; SAPK2A; Mxi2  
克 隆 号
适用样品基质 FFPE tissue
保存条件 Please store components at the temperatures indicated on the individual tube labels. The kit is stable for 6 months from the date of receipt.
产品介绍 The p38 MAPK cascade regulates a variety of cellular responses to stress, inflammation, and other signals. p38 MAPK is relatively inactive in the nonphosphorylated form and becomes rapidly activated by dual phosphorylation of a Thr-Gly-Tyr motifs. There are four isoforms of p38 MAPK, which differ in their tissue expression and affinity for upstream activators and downstream effectors. When cells are exposed to tumor necrosis factor, interleukin-1, heat shock, or other activating stimuli, activation of MAPK kinase-3 occurs by phosphorylation. Activated MAPK kinase-3/6 phosphorylate each residue of Thr180 and Tyr182 in p38 MAPK. Phospho-p38 MAPK activates ATF-2, CHOP-1, MEF-2 and other transcription factors through phosphorylation.

SWISS:
Q16539

Gene ID:
1432

产品图片
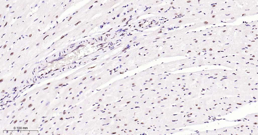
Immunohistochemical analysis of paraffin embedded Human heart tissue slide using IHC0622 (phospho-P38 MAPK (T180) Kit).
Immunohistochemical analysis of paraffin embedded Human brain tissue slide using IHC0622 (phospho-P38 MAPK (T180) Kit).
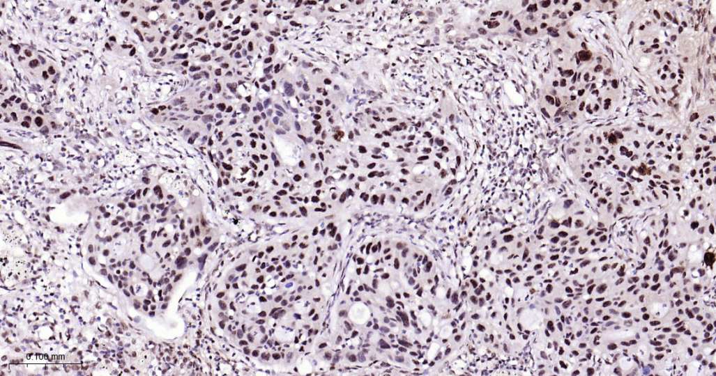
Immunohistochemical analysis of paraffin embedded Human lung cancer tissue slide using IHC0622 (phospho-P38 MAPK (T180) Kit).
Immunohistochemical analysis of paraffin embedded Rat heart tissue slide using IHC0622 (phospho-P38 MAPK (T180) Kit).
Immunohistochemical analysis of paraffin embedded Rat brain tissue slide using IHC0622 (phospho-P38 MAPK (T180) Kit).
Immunohistochemical analysis of paraffin embedded Mouse heart tissue slide using IHC0622 (phospho-P38 MAPK (T180) Kit).
版权所有 2004-2026 www.bioss.com.cn 北京博奥森生物技术有限公司
通过国际质量管理体系ISO 9001:2015 GB/T 19001-2016    证书编号: 00124Q34771R2M/1100
通过国际医疗器械-质量管理体系ISO 13485:2016 GB/T 42061-2022     证书编号: CQC24QY20047R0M/1100
京ICP备05066980号-1         京公网安备110107000727号