扫码关注公众号           扫码咨询技术支持           扫码咨询技术服务
  
客服热线:400-901-9800  客服QQ:4009019800  技术答疑  技术支持  质量反馈  人才招聘  关于我们  联系我们
产品中心-北京博奥森生物技术有限公司
首页 > 产品中心 > 试剂盒 > 产品信息
hnRNP U Ready-To-Use IHC Kit (IHC0623)  
订购热线:400-901-9800
订购邮箱:sales@bioss.com.cn
订购QQ:  400-901-9800
技术支持:techsupport@bioss.com.cn
50T/3200.00元
大包装/询价

产品编号 IHC0623
英文名称 hnRNP U Ready-To-Use IHC Kit
中文名称 异质核糖核蛋白U即用型免疫组化试剂盒
别    名 AA408410; AI256620; AL024194; AL024437; AW557595; C1orf199; C86794; hnRNP U; HNRNPU; HNRNPU-AS1; HNRPU; SAF-A; SAFA; Sp120; U21.1; EIEE54; hnRNPU; pp120; hnRNPU  
克 隆 号
适用样品基质 FFPE tissue
保存条件 Please store components at the temperatures indicated on the individual tube labels. The kit is stable for 6 months from the date of receipt.
产品介绍 The protein encoded by this gene is a receptor for activated C-kinase (RACK) protein. The encoded protein has been shown to bind in vitro to activated protein kinase C beta I. In addition, this protein is a cutaneous T-cell lymphoma-associated antigen. Finally, the protein contains a bromodomain and two zinc fingers, and is thought to be a transcriptional regulator. Multiple transcript variants encoding several different isoforms have been found for this gene.

SWISS:
Q00839

Gene ID:
3192

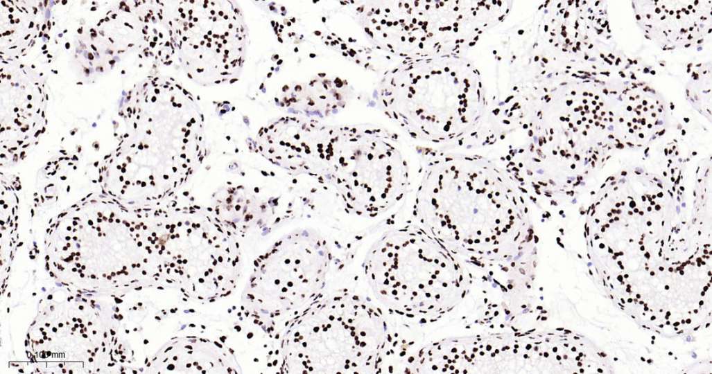
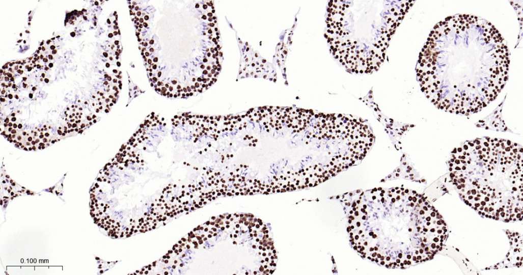
产品图片
Immunohistochemical analysis of paraffin embedded Mouse testis tissue slide using IHC0623 (hnRNP U Kit).
Immunohistochemical analysis of paraffin embedded Human brain tissue slide using IHC0623 (hnRNP U Kit).
Immunohistochemical analysis of paraffin embedded Human testis tissue slide using IHC0623 (hnRNP U Kit).
Immunohistochemical analysis of paraffin embedded Rat brain tissue slide using IHC0623 (hnRNP U Kit).
Immunohistochemical analysis of paraffin embedded Rat testis tissue slide using IHC0623 (hnRNP U Kit).
Immunohistochemical analysis of paraffin embedded Mouse brain tissue slide using IHC0623 (hnRNP U Kit).
版权所有 2004-2026 www.bioss.com.cn 北京博奥森生物技术有限公司
通过国际质量管理体系ISO 9001:2015 GB/T 19001-2016    证书编号: 00124Q34771R2M/1100
通过国际医疗器械-质量管理体系ISO 13485:2016 GB/T 42061-2022     证书编号: CQC24QY20047R0M/1100
京ICP备05066980号-1         京公网安备110107000727号