扫码关注公众号           扫码咨询技术支持           扫码咨询技术服务
  
客服热线:400-901-9800  客服QQ:4009019800  技术答疑  技术支持  质量反馈  人才招聘  关于我们  联系我们
产品中心-北京博奥森生物技术有限公司
首页 > 产品中心 > 试剂盒 > 产品信息
Mouse Phospho-POLR2A (Ser5) Ready-To-Use IHC Kit (IHC0626M)  
订购热线:400-901-9800
订购邮箱:sales@bioss.com.cn
订购QQ:  400-901-9800
技术支持:techsupport@bioss.com.cn
50T/3200.00元
大包装/询价

产品编号 IHC0626M
英文名称 Mouse Phospho-POLR2A (Ser5) Ready-To-Use IHC Kit
中文名称 小鼠磷酸化RNA聚合酶II CTD即用型免疫组化试剂盒
别    名 220kDa; hRPB220; hsRPB1; POLR2; POLR2A; POLRA; RPB1; RPBh1; Rpii215; RpIILS; RPO2; Rpo2-1; RPOL2  
克 隆 号
适用样品基质 FFPE tissue
保存条件 Please store components at the temperatures indicated on the individual tube labels. The kit is stable for 6 months from the date of receipt.
产品介绍 DNA-directed RNA polymerase II subunit RPB1 (POLR1A) is a DNA-dependent RNA polymerase that catalyzes the transcription of DNA into RNA using the four ribonucleoside triphosphates as substrates. POLR1A is the largest subunit and is a catalytic component of RNA polymerase II which synthesizes mRNA precurors and many functional non-coding RNAs. It also forms the polymerase active center together with the second largest subunit. Pol II is the central component of the basal RNA polymerase II transcription machinery. It is composed of mobile elements that move relative to each other. RPB1 is part of the core element with the central large cleft, the clamp element that moves to open and close the cleft, and the jaws that are though to grab the incoming DNA template. At the start of transcription, a single-stranded DNA template strand of the promoter is positioned within the central active site cleft of Pol II. A bridging helix emanates from RPB1 and crosses the cleft near the catalytic stie and is through to promote translocation of Pol II by acting as a ratchet that moves the RNA-DNA hybrid through the active site by switching from straight to bent conformations at each step of nucleotide addition. During transcription elongation, Pol II moves on the template as the transcript elongates. Elongation is influenced by the phosphorylation status of the C-terminal domain (CTD) of Pol II's largest subunit (RPB1), which serves as a platform for assembly of factors that regulate transcription initiation, elongation, termination, and mRNA processing. Regulation of gene expression levels depends on the balance between methylation and acetylation levelts of the CTD-lysines.

SWISS:
P24928

Gene ID:
5430

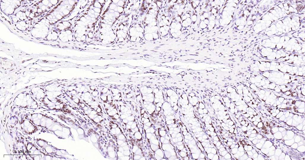
产品图片
Immunohistochemical analysis of paraffin embedded Mouse colon tissue slide using IHC0626M (Mouse Phospho-POLR2A (Ser5) Kit).
版权所有 2004-2026 www.bioss.com.cn 北京博奥森生物技术有限公司
通过国际质量管理体系ISO 9001:2015 GB/T 19001-2016    证书编号: 00124Q34771R2M/1100
通过国际医疗器械-质量管理体系ISO 13485:2016 GB/T 42061-2022     证书编号: CQC24QY20047R0M/1100
京ICP备05066980号-1         京公网安备110107000727号