扫码关注公众号           扫码咨询技术支持           扫码咨询技术服务
  
客服热线:400-901-9800  客服QQ:4009019800  技术答疑  技术支持  质量反馈  人才招聘  关于我们  联系我们
产品中心-北京博奥森生物技术有限公司
首页 > 产品中心 > 试剂盒 > 产品信息
IFABP Ready-To-Use IHC Kit (IHC0632)  
订购热线:400-901-9800
订购邮箱:sales@bioss.com.cn
订购QQ:  400-901-9800
技术支持:techsupport@bioss.com.cn
50T/3200.00元
大包装/询价

产品编号 IHC0632
英文名称 IFABP Ready-To-Use IHC Kit
中文名称 肠型脂肪酸结合蛋白即用型免疫组化试剂盒
别    名 FABP2; FABPI; I-FABP; FABP 2; Fatty acid binding protein 2 intestinal; Fatty acid binding protein intestinal; Fatty acid-binding protein; IFABP; Intestinal fatty acid binding protein 2; MGC133132; FABPI_HUMAN  
克 隆 号
适用样品基质 FFPE tissue
保存条件 Please store components at the temperatures indicated on the individual tube labels. The kit is stable for 6 months from the date of receipt.
产品介绍 The FABP2 gene encodes the intestinal fatty acid-binding protein 2 (I-FABP), which plays a significant role in lipid metabolism by facilitating the transport and intracellular trafficking of long-chain fatty acids in enterocytes, the absorptive cells in the intestine. FABP2 is involved in the uptake, metabolism, and transfer of fatty acids across cellular membranes, contributing to digestion and absorption processes in the intestine. This protein is crucial for efficient lipid metabolism, influencing fatty acid oxidation, and energy balance. Variations in the FABP2 gene have been associated with metabolic traits, such as insulin sensitivity, lipid profiles, and obesity, suggesting its impact on metabolic health. FABP2's function in intestinal lipid absorption and metabolism makes it a subject of interest in studies related to dietary effects on health and the development of metabolic disorders. Understanding FABP2's role is essential for insights into nutritional influences on health and possible therapeutic targets for metabolic diseases.

SWISS:
P12104

Gene ID:
2169

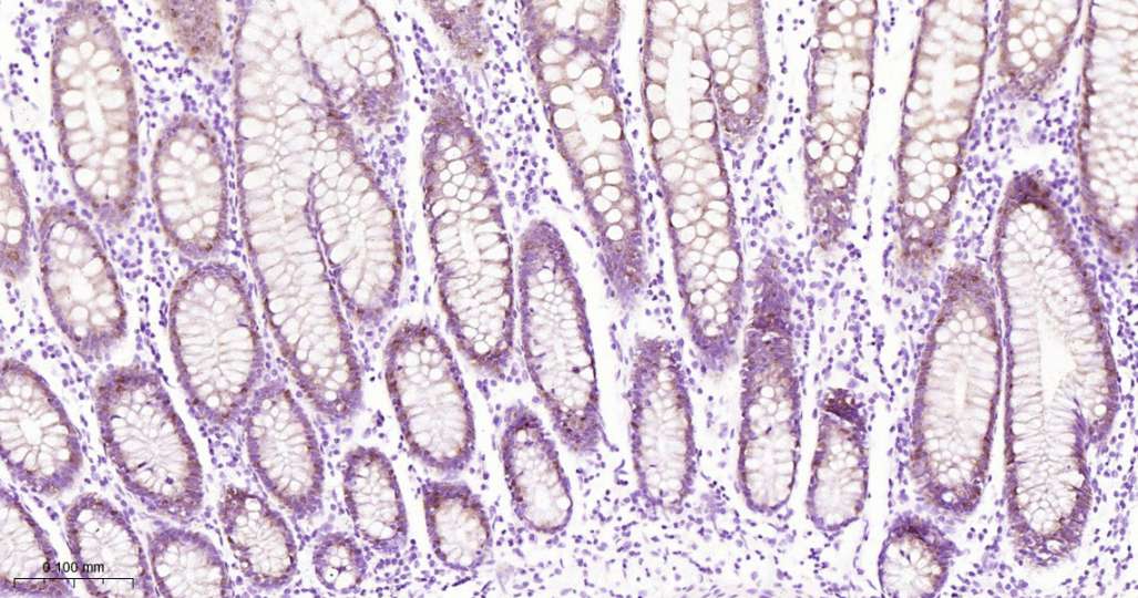
产品图片
Immunohistochemical analysis of paraffin embedded Mouse colon tissue slide using IHC0632 (IFABP Kit).
Immunohistochemical analysis of paraffin embedded Human small intestine tissue slide using IHC0632 (IFABP Kit).
Immunohistochemical analysis of paraffin embedded Human colon tissue slide using IHC0632 (IFABP Kit).
Immunohistochemical analysis of paraffin embedded Rat small intestine tissue slide using IHC0632 (IFABP Kit).
版权所有 2004-2026 www.bioss.com.cn 北京博奥森生物技术有限公司
通过国际质量管理体系ISO 9001:2015 GB/T 19001-2016    证书编号: 00124Q34771R2M/1100
通过国际医疗器械-质量管理体系ISO 13485:2016 GB/T 42061-2022     证书编号: CQC24QY20047R0M/1100
京ICP备05066980号-1         京公网安备110107000727号