扫码关注公众号           扫码咨询技术支持           扫码咨询技术服务
  
客服热线:400-901-9800  客服QQ:4009019800  技术答疑  技术支持  质量反馈  人才招聘  关于我们  联系我们
产品中心-北京博奥森生物技术有限公司
首页 > 产品中心 > 试剂盒 > 产品信息
Mouse PMCA1 Ready-To-Use IHC Kit (IHC0636M)  
订购热线:400-901-9800
订购邮箱:sales@bioss.com.cn
订购QQ:  400-901-9800
技术支持:techsupport@bioss.com.cn
50T/3200.00元
大包装/询价

产品编号 IHC0636M
英文名称 Mouse PMCA1 Ready-To-Use IHC Kit
中文名称 小鼠细胞膜钙ATP酶1即用型免疫组化试剂盒
别    名 2810442I22Rik; ATP2B1; E130111D10Rik; PMCA1; Pmca1a; Pmca1b; Pmca1c; PMCA1kb  
克 隆 号
适用样品基质 FFPE tissue
保存条件 Please store components at the temperatures indicated on the individual tube labels. The kit is stable for 6 months from the date of receipt.
产品介绍 The calcium pump of the plasma membrane, termed PMCA ATPase, pumps calcium from the cytosol to the extracellular space. This membrane-bound enzyme is related to a number of other ATPases including the SERCA ATPase and the sodium/potassium pump. There are four different genes encoding PMCA ATPase and studies have revealed 20 isoforms of the pump generated by alternate splicing of the primary gene products. mRNA distribution studies show that gene products 1 and 4 are transcribed in most tissues, however, products 2 and 3 are more tissue specific. Transcription of the splicing variants has also been found to be tissue specific. In the pancreas, where insulin secretion is calcium dependent, the beta cells only express the 4b isoform, however the alpha and gamma cells express both 4a and 4b isoforms. Studies have also shown that different splice variants have different affinities for calcium and calmodulin.

SWISS:
P20020

Gene ID:
490

产品图片
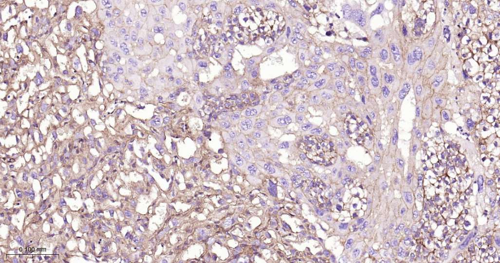
Immunohistochemical analysis of paraffin embedded Mouse placenta tissue slide using IHC0636M (Mouse PMCA1 Kit).
版权所有 2004-2026 www.bioss.com.cn 北京博奥森生物技术有限公司
通过国际质量管理体系ISO 9001:2015 GB/T 19001-2016    证书编号: 00124Q34771R2M/1100
通过国际医疗器械-质量管理体系ISO 13485:2016 GB/T 42061-2022     证书编号: CQC24QY20047R0M/1100
京ICP备05066980号-1         京公网安备110107000727号