扫码关注公众号           扫码咨询技术支持           扫码咨询技术服务
  
客服热线:400-901-9800  客服QQ:4009019800  技术答疑  技术支持  质量反馈  人才招聘  关于我们  联系我们
产品中心-北京博奥森生物技术有限公司
首页 > 产品中心 > 试剂盒 > 产品信息
AP2 alpha Ready-To-Use IHC Kit (IHC0637)  
订购热线:400-901-9800
订购邮箱:sales@bioss.com.cn
订购QQ:  400-901-9800
技术支持:techsupport@bioss.com.cn
50T/3200.00元
大包装/询价

产品编号 IHC0637
英文名称 AP2 alpha Ready-To-Use IHC Kit
中文名称 转录激活蛋白2α/TFAP2α/AP-2α即用型免疫组化试剂盒
别    名 Ap-2 (a); AP-2alpha; Ap2; AP2alpha; Tcfap2a; TFAP2; Activating enhancer binding protein 2 alpha; Activating enhancer-binding protein 2-alpha; Activator protein 2; AP 2 transcription factor; AP 2alpha; AP-2; AP-2 transcription factor; AP2; AP2 Transcription Factor; AP2-alpha; AP2A_HUMAN; AP2TF; BOFS; FLJ51761; TFAP 2; TFAP 2A; TFAP2; TFAP2A; Transcription factor AP 2 alpha (activating enhancer binding protein 2 alpha); Transcription factor AP-2-alpha; Transcription factor AP2 alpha  
克 隆 号
适用样品基质 FFPE tissue
保存条件 Please store components at the temperatures indicated on the individual tube labels. The kit is stable for 6 months from the date of receipt.
产品介绍 TFAP2A is a sequence-specific DNA-binding protein that interacts with inducible viral and cellular enhancer elements to regulate transcription of selected genes. AP-2 factors bind to the consensus sequence 5'-GCCNNNGGC-3' and activate genes involved in a large spectrum of important biological functions including proper eye, face, body wall, limbs and neural tube development. They also suppress a number of genes including MCAM/MUC18, C/EBP alpha and MYC. TFAP2A is the only AP-2 protein required for early morphogenesis of the lens vesicle.

SWISS:
P05549

Gene ID:
7020

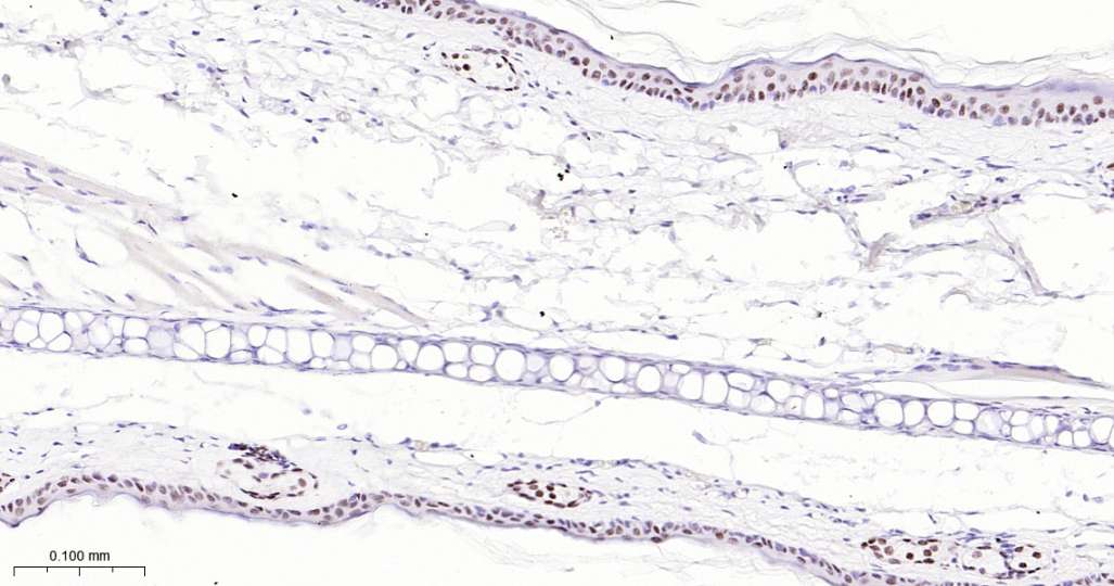
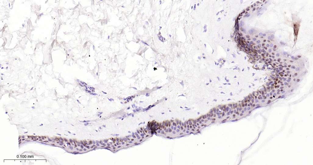
产品图片
Immunohistochemical analysis of paraffin embedded Mouse skin tissue slide using IHC0637 (AP2 alpha Kit).
Immunohistochemical analysis of paraffin embedded Human skin tissue slide using IHC0637 (AP2 alpha Kit).
Immunohistochemical analysis of paraffin embedded Rat skin tissue slide using IHC0637 (AP2 alpha Kit).
版权所有 2004-2026 www.bioss.com.cn 北京博奥森生物技术有限公司
通过国际质量管理体系ISO 9001:2015 GB/T 19001-2016    证书编号: 00124Q34771R2M/1100
通过国际医疗器械-质量管理体系ISO 13485:2016 GB/T 42061-2022     证书编号: CQC24QY20047R0M/1100
京ICP备05066980号-1         京公网安备110107000727号