扫码关注公众号           扫码咨询技术支持           扫码咨询技术服务
  
客服热线:400-901-9800  客服QQ:4009019800  技术答疑  技术支持  质量反馈  人才招聘  关于我们  联系我们
产品中心-北京博奥森生物技术有限公司
首页 > 产品中心 > 试剂盒 > 产品信息
Adrenodoxin Ready-To-Use IHC Kit (IHC0640)  
订购热线:400-901-9800
订购邮箱:sales@bioss.com.cn
订购QQ:  400-901-9800
技术支持:techsupport@bioss.com.cn
50T/3200.00元
大包装/询价

产品编号 IHC0640
英文名称 Adrenodoxin Ready-To-Use IHC Kit
中文名称 肾上腺皮质线粒体铁氧还蛋白即用型免疫组化试剂盒
别    名 FDX1; Adrenal ferredoxin; Adrenodoxin; Adrenodoxin; mitochondrial; ADX; ADX_HUMAN; FDX; fdx1; Ferredoxin 1; Ferredoxin-1; Hepatoredoxin; LOH11CR1D; Mitochondrial adrenodoxin; mitochondrial  
克 隆 号
适用样品基质 FFPE tissue
保存条件 Please store components at the temperatures indicated on the individual tube labels. The kit is stable for 6 months from the date of receipt.
产品介绍 The product of this gene is a small iron-sulfur protein that transfers electrons from NADPH through ferredoxin reductase to a terminal cytochrome P450. This particular oxidation/reduction system is found in steroidogenic tissues, and is involved with the synthesis of bile acid and vitamin D. In addition to the expressed gene at this chromosomal locus (11q22), there are pseudogenes located on chromosomes 20 and 21. This gene product has been identified in a number of different tissues but all forms have been shown to be identical and are not tissue specific.

SWISS:
P10109

Gene ID:
2230

产品图片
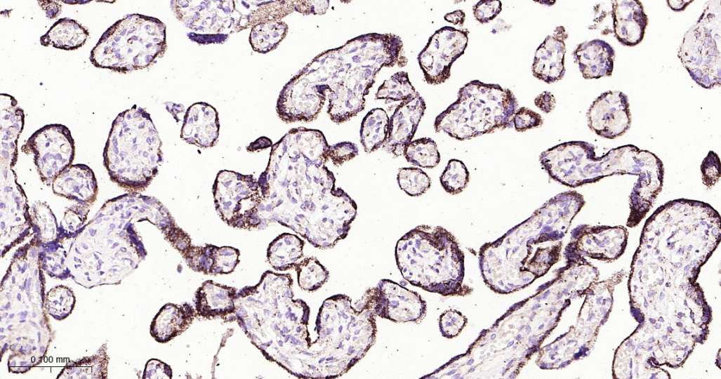
Immunohistochemical analysis of paraffin embedded Mouse placenta tissue slide using IHC0640 (Adrenodoxin Kit).
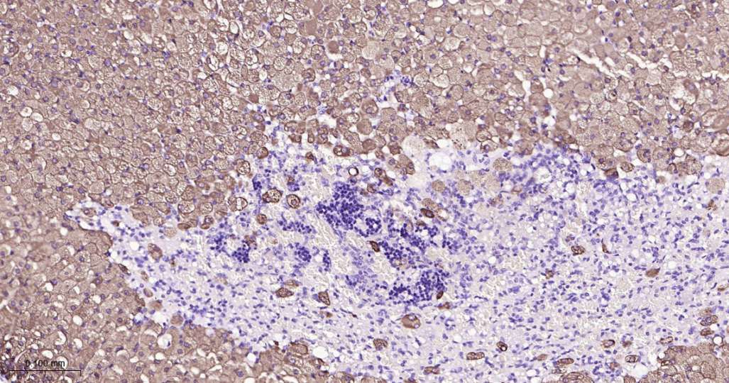
Immunohistochemical analysis of paraffin embedded Mouse adrenal gland tissue slide using IHC0640 (Adrenodoxin Kit).
Immunohistochemical analysis of paraffin embedded Human placenta tissue slide using IHC0640 (Adrenodoxin Kit).
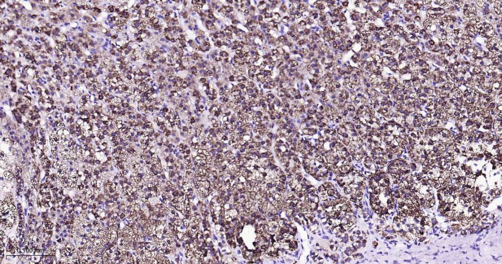
Immunohistochemical analysis of paraffin embedded Human adrenal gland tissue slide using IHC0640 (Adrenodoxin Kit).
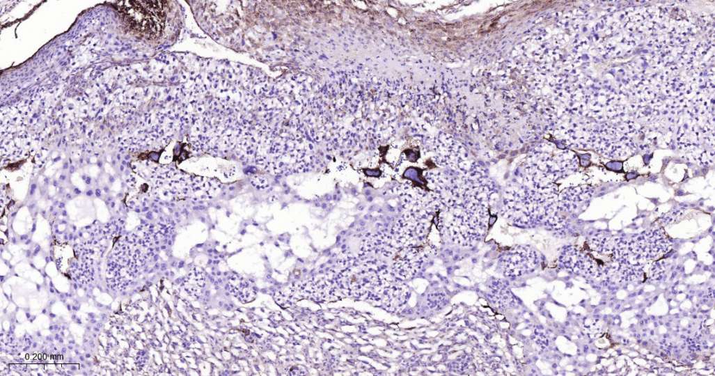
Immunohistochemical analysis of paraffin embedded Rat testis tissue slide using IHC0640 (Adrenodoxin Kit).
版权所有 2004-2026 www.bioss.com.cn 北京博奥森生物技术有限公司
通过国际质量管理体系ISO 9001:2015 GB/T 19001-2016    证书编号: 00124Q34771R2M/1100
通过国际医疗器械-质量管理体系ISO 13485:2016 GB/T 42061-2022     证书编号: CQC24QY20047R0M/1100
京ICP备05066980号-1         京公网安备110107000727号