扫码关注公众号           扫码咨询技术支持           扫码咨询技术服务
  
客服热线:400-901-9800  客服QQ:4009019800  技术答疑  技术支持  质量反馈  人才招聘  关于我们  联系我们
产品中心-北京博奥森生物技术有限公司
首页 > 产品中心 > 试剂盒 > 产品信息
Human Integrin alpha 5 Ready-To-Use IHC Kit (IHC0643H)  
订购热线:400-901-9800
订购邮箱:sales@bioss.com.cn
订购QQ:  400-901-9800
技术支持:techsupport@bioss.com.cn
50T/3200.00元
大包装/询价

产品编号 IHC0643H
英文名称 Human Integrin alpha 5 Ready-To-Use IHC Kit
中文名称 人整合素α5(CD49e)即用型免疫组化试剂盒
别    名 VLA-5; Integrin alpha-5 light chain; Alpha 5 beta 1; CD49 antigen-like family member E; CD49e; ECMRVI; Fibronectin Receptor alpha; Fibronectin receptor alpha subunit; Fibronectin receptor alpha subunit; FNR; FNRA; gpIc/IIa; Integrin alpha 5 (fibronectin receptor alpha); Integrin alpha 5; Integrin alpha F; Integrin alpha-5; Integrin alpha-F; Integrin alpha 5 (fibronectin receptor alpha polypeptide); ITGA5; Very late Activation Antigen 5; Very Late Activation Protein 5 alpha; Very late activation protein 5 alpha subunit; VLA5; VLA5A; ITA5_HUMAN; Integrin α5; Integrin-α5  
克 隆 号
适用样品基质 FFPE tissue
保存条件 Please store components at the temperatures indicated on the individual tube labels. The kit is stable for 6 months from the date of receipt.
产品介绍 The product of this gene belongs to the integrin alpha chain family. Integrins are heterodimeric integral membrane proteins composed of an alpha chain and a beta chain. This gene encodes the integrin alpha 5 chain. Alpha chain 5 undergoes post-translational cleavage in the extracellular domain to yield disulfide-linked light and heavy chains that join with beta 1 to form a fibronectin receptor. In addition to adhesion, integrins are known to participate in cell-surface mediated signalling.

SWISS:
P08648

Gene ID:
3678

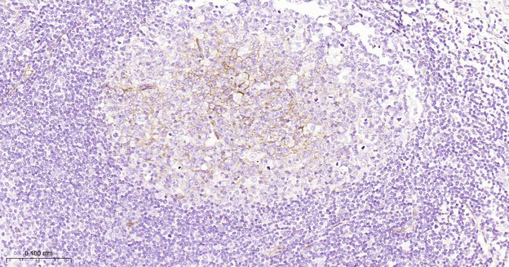
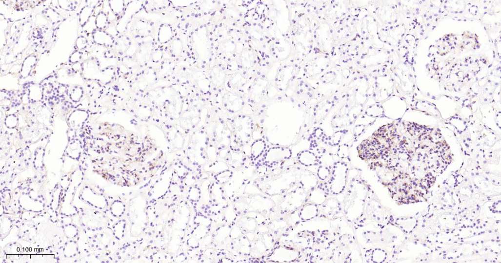
产品图片
Immunohistochemical analysis of paraffin embedded Human kidney tissue slide using IHC0643H (Human Integrin alpha 5 Kit).
Immunohistochemical analysis of paraffin embedded Human brain tissue slide using IHC0643H (Human Integrin alpha 5 Kit).
Immunohistochemical analysis of paraffin embedded Human tonsil tissue slide using IHC0643H (Human Integrin alpha 5 Kit).
版权所有 2004-2026 www.bioss.com.cn 北京博奥森生物技术有限公司
通过国际质量管理体系ISO 9001:2015 GB/T 19001-2016    证书编号: 00124Q34771R2M/1100
通过国际医疗器械-质量管理体系ISO 13485:2016 GB/T 42061-2022     证书编号: CQC24QY20047R0M/1100
京ICP备05066980号-1         京公网安备110107000727号