扫码关注公众号           扫码咨询技术支持           扫码咨询技术服务
  
客服热线:400-901-9800  客服QQ:4009019800  技术答疑  技术支持  质量反馈  人才招聘  关于我们  联系我们
产品中心-北京博奥森生物技术有限公司
首页 > 产品中心 > 试剂盒 > 产品信息
Human DCP1A Ready-To-Use IHC Kit (IHC0644H)  
订购热线:400-901-9800
订购邮箱:sales@bioss.com.cn
订购QQ:  400-901-9800
技术支持:techsupport@bioss.com.cn
50T/3200.00元
大包装/询价

产品编号 IHC0644H
英文名称 Human DCP1A Ready-To-Use IHC Kit
中文名称 人脱帽酶1A即用型免疫组化试剂盒
别    名 1110066A22Rik; 4930568L04Rik; AU019772; D14Ertd817e; DCP1A; HSA275986; Mitc1; Nbla00360; DCP1 decapping enzyme homolog A; Dcp1a; DCP1A_HUMAN; mRNA decapping enzyme 1A; mRNA-decapping enzyme 1A; Smad4 interacting transcriptional co activator; Smad4-interacting transcriptional co-activator; Smad4-interacting transcriptional co-activator; SMAD4IP1; SMIF; Transcription factor SMIF  
克 隆 号
适用样品基质 FFPE tissue
保存条件 Please store components at the temperatures indicated on the individual tube labels. The kit is stable for 6 months from the date of receipt.
产品介绍 Signal transduction of TGF-beta superfamily members is regulated by Smad proteins. In particular, Smads influence specific gene transcription by relaying signals from the cell membrane to the nucleus. Smad4 plays an essential role in TGF-beta-induced transcriptional activation wherein phosphorylated receptor-associated Smads associate with Smad4. Furthermore, SMIF (Smad4-intereacting protein) and Smad4 complex with TGF-beta and BMP4. An increase in Smad4 concentration increases the translocation of this complex to the nucleus. SMIF and Smad4 interact directly through a EVH1/WH1 domain on SMIF and a proline-rich activation domain on Smad4. Smad4 is essential to nuclear translocation of SMIF as deletion of the Smad4-interacting domain (located in the N-terminal 100 amino acids) of SMIF eliminates TGF-beta-induced nuclear translocation of SMIF. The human SMIF gene is ubiquitously expressed and encodes a protein with a relative molecular mass of 70 kDa.

SWISS:
Q9NPI6

Gene ID:
55802

产品图片
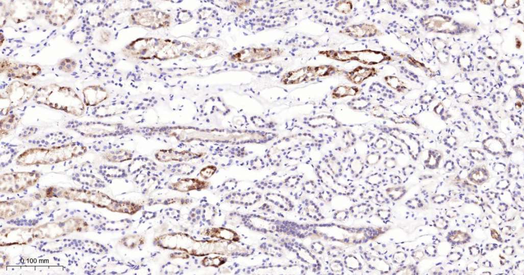
Immunohistochemical analysis of paraffin embedded Human kidney tissue slide using IHC0644H (Human DCP1A Kit).
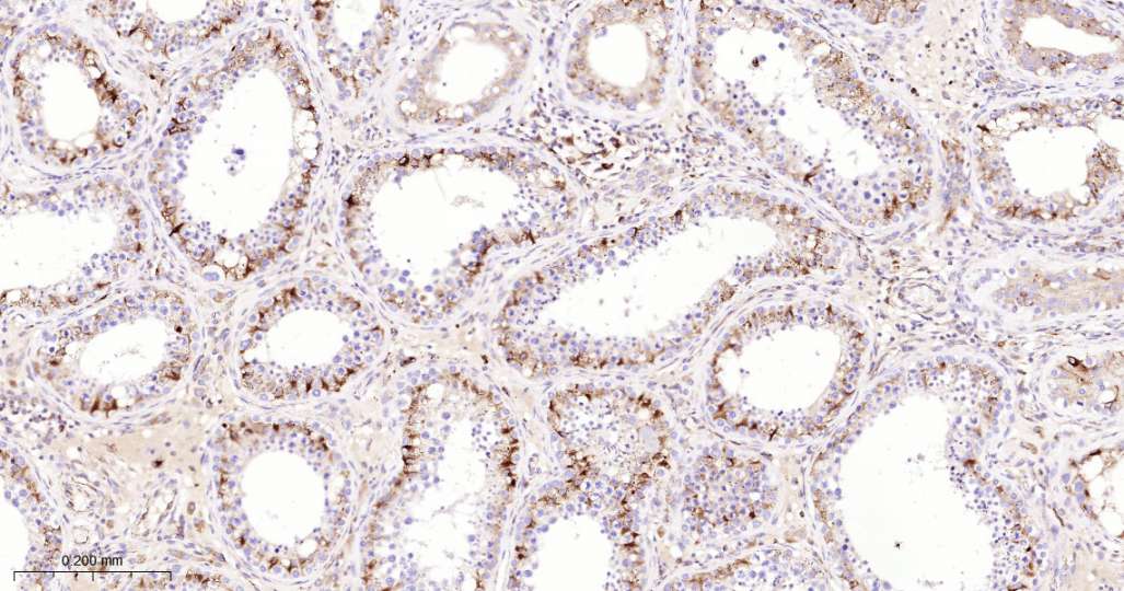
Immunohistochemical analysis of paraffin embedded Human testis tissue slide using IHC0644H (Human DCP1A Kit).
版权所有 2004-2026 www.bioss.com.cn 北京博奥森生物技术有限公司
通过国际质量管理体系ISO 9001:2015 GB/T 19001-2016    证书编号: 00124Q34771R2M/1100
通过国际医疗器械-质量管理体系ISO 13485:2016 GB/T 42061-2022     证书编号: CQC24QY20047R0M/1100
京ICP备05066980号-1         京公网安备110107000727号