扫码关注公众号           扫码咨询技术支持           扫码咨询技术服务
  
客服热线:400-901-9800  客服QQ:4009019800  技术答疑  技术支持  质量反馈  人才招聘  关于我们  联系我们
产品中心-北京博奥森生物技术有限公司
首页 > 产品中心 > 试剂盒 > 产品信息
Human Collagen I Ready-To-Use IHC Kit (IHC0647H)  
订购热线:400-901-9800
订购邮箱:sales@bioss.com.cn
订购QQ:  400-901-9800
技术支持:techsupport@bioss.com.cn
50T/3200.00元
大包装/询价

产品编号 IHC0647H
英文名称 Human Collagen I Ready-To-Use IHC Kit
中文名称 人I型胶原即用型免疫组化试剂盒
别    名 AA960264; AI325291; Col1a-1; Col1a-2; COL1A1; COL1A2; Cola-1; Cola-2; Cola1; Cola2; COLIA1; EDSC; I79_010913; Mov-13; Mov13; OI1; OI2; OI3; OI4; oim; Alpha 1 type I collagen; Collagen alpha 1(I) chain; collagen type I; alpha 1  
克 隆 号
适用样品基质 FFPE tissue
保存条件 Please store components at the temperatures indicated on the individual tube labels. The kit is stable for 6 months from the date of receipt.
产品介绍 Collagen I is a Type I collagen with a triple helix structure comprised of two alpha-1 chains and one alpha-2 chain. Collagen I is a member of group I collagen (fibril-forming collagen) found in most connective tissues, and is abundant in bone, cornea, dermis and tendon. Mutations in the COL1A2 gene encoding the alpha-2 chain are associated with osteogenesis imperfecta types I-IV, Ehlers-Danlos syndrome type VIIB, recessive Ehlers-Danlos syndrome Classical type, idiopathic osteoporosis, and atypical Marfan syndrome. Symptoms associated with mutations in the COL1A2 gene which codes for the alpha-2 chain, however, tend to be less severe than mutations in the COL1A1 gene, reflecting the different role of alpha-2 chains in matrix integrity. Reciprocal translocations between chromosomes 17 and 22, where Collagen Type 1 genes and the gene for platelet derived growth factor beta are located, are associated with a particular type of skin tumor called dermatofibrosarcoma protuberans, resulting from unregulated expression of the growth factor. Two transcripts, resulting from the use of alternate polyadenylation signals, have been identified.

SWISS:
P02452

Gene ID:
1277

产品图片
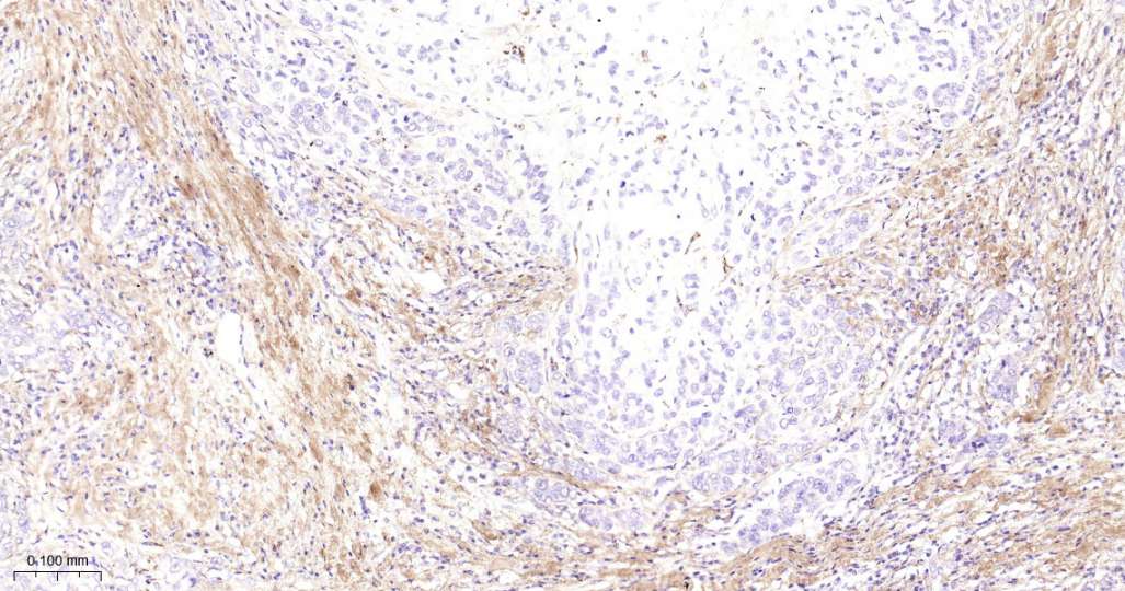
Immunohistochemical analysis of paraffin embedded Human prostatic acinar adenocarcinoma tissue slide using IHC0647H (Human Collagen I Kit).
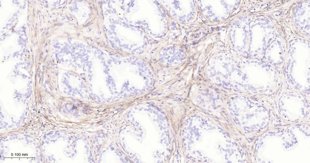
Immunohistochemical analysis of paraffin embedded Human prostate tissue slide using IHC0647H (Human Collagen I Kit).
Immunohistochemical analysis of paraffin embedded Human colon cancer tissue slide using IHC0647H (Human Collagen I Kit).
Immunohistochemical analysis of paraffin embedded Human uterus tissue slide using IHC0647H (Human Collagen I Kit).
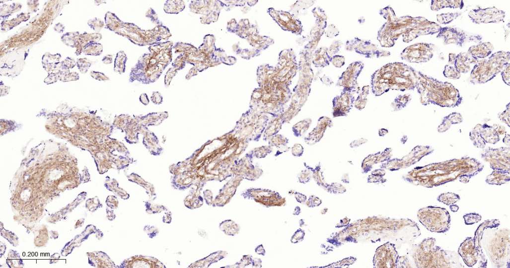
Immunohistochemical analysis of paraffin embedded Human placenta tissue slide using IHC0647H (Human Collagen I Kit).
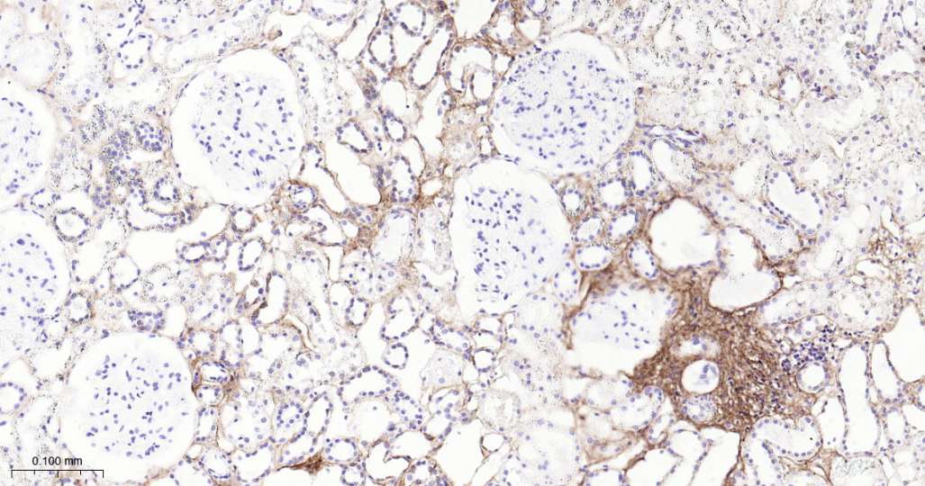
Immunohistochemical analysis of paraffin embedded Human kidney tissue slide using IHC0647H (Human Collagen I Kit).
Immunohistochemical analysis of paraffin embedded Human breast cancer tissue slide using IHC0647H (Human Collagen I Kit).
版权所有 2004-2026 www.bioss.com.cn 北京博奥森生物技术有限公司
通过国际质量管理体系ISO 9001:2015 GB/T 19001-2016    证书编号: 00124Q34771R2M/1100
通过国际医疗器械-质量管理体系ISO 13485:2016 GB/T 42061-2022     证书编号: CQC24QY20047R0M/1100
京ICP备05066980号-1         京公网安备110107000727号