扫码关注公众号           扫码咨询技术支持           扫码咨询技术服务
  
客服热线:400-901-9800  客服QQ:4009019800  技术答疑  技术支持  质量反馈  人才招聘  关于我们  联系我们
产品中心-北京博奥森生物技术有限公司
首页 > 产品中心 > 试剂盒 > 产品信息
Human MMP1 Ready-To-Use IHC Kit (IHC0650H)  
订购热线:400-901-9800
订购邮箱:sales@bioss.com.cn
订购QQ:  400-901-9800
技术支持:techsupport@bioss.com.cn
50T/3200.00元
大包装/询价

产品编号 IHC0650H
英文名称 Human MMP1 Ready-To-Use IHC Kit
中文名称 人基质金属蛋白酶-1即用型免疫组化试剂盒
别    名 CLG; CLGN; Mcol-A; McolA; MMP1; Mmp1a; MMP-1; collagenase; fibroblast; Fibroblast collagenase; Interstitial collagenase; Matrix metallopeptidase 1 (interstitial collagenase); Matrix metalloprotease 1; Matrix metalloproteinase-1; Matrix Metalloproteinase 1; MMP1_HUMAN  
克 隆 号
适用样品基质 FFPE tissue
保存条件 Please store components at the temperatures indicated on the individual tube labels. The kit is stable for 6 months from the date of receipt.
产品介绍 Proteins of the matrix metalloproteinase (MMP) family are involved in the breakdown of extracellular matrix in normal physiological processes, such as embryonic development, reproduction, and tissue remodeling, as well as in disease processes, such as arthritis and metastasis. Most MMP's are secreted as inactive proproteins which are activated when cleaved by extracellular proteinases. This gene encodes a secreted enzyme which breaks down the interstitial collagens, types I, II, and III. The gene is part of a cluster of MMP genes which localize to chromosome 11q22.3. Alternative splicing results in multiple transcript variants.

SWISS:
P03956

Gene ID:
4312

产品图片
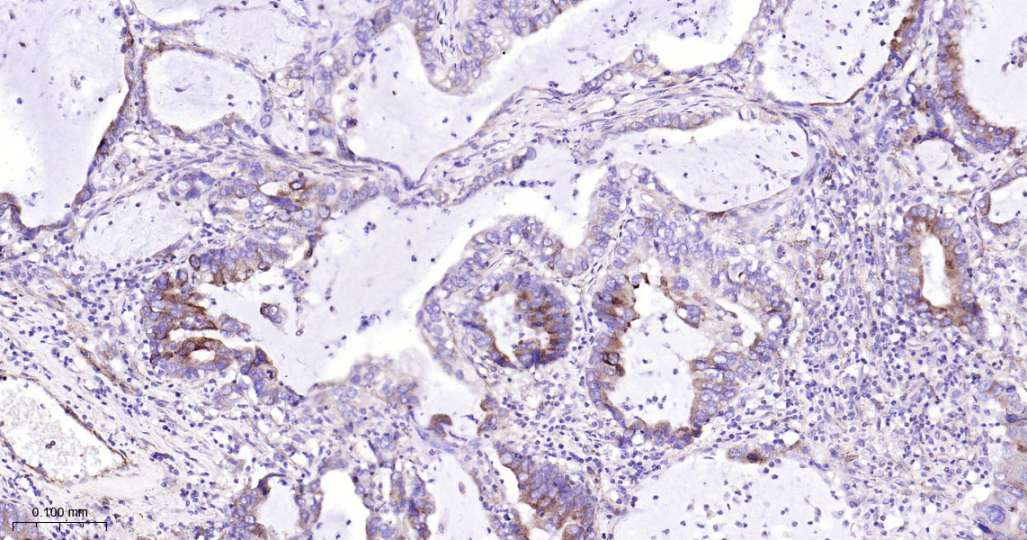
Immunohistochemical analysis of paraffin embedded Human breast cancer tissue slide using IHC0650H (Human MMP1 Kit).
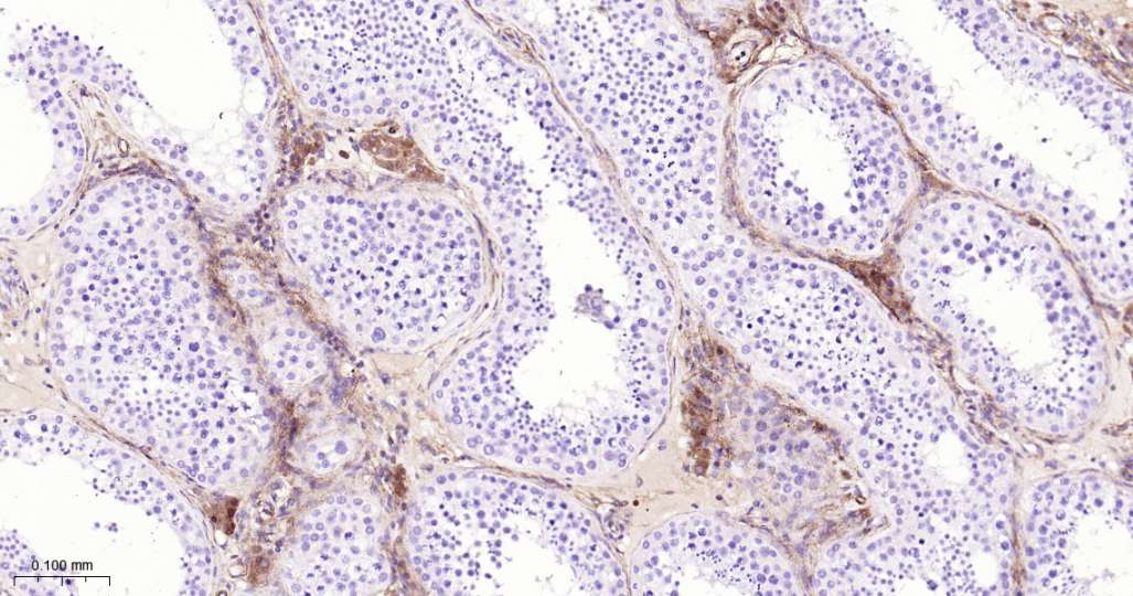
Immunohistochemical analysis of paraffin embedded Human testis tissue slide using IHC0650H (Human MMP1 Kit).
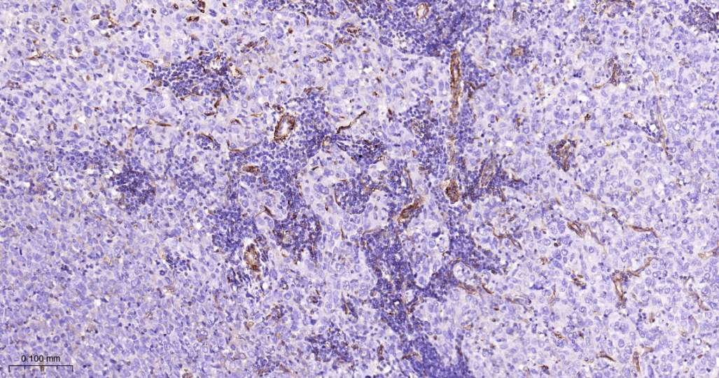
Immunohistochemical analysis of paraffin embedded Human lung cancer tissue slide using IHC0650H (Human MMP1 Kit).
版权所有 2004-2026 www.bioss.com.cn 北京博奥森生物技术有限公司
通过国际质量管理体系ISO 9001:2015 GB/T 19001-2016    证书编号: 00124Q34771R2M/1100
通过国际医疗器械-质量管理体系ISO 13485:2016 GB/T 42061-2022     证书编号: CQC24QY20047R0M/1100
京ICP备05066980号-1         京公网安备110107000727号