扫码关注公众号           扫码咨询技术支持           扫码咨询技术服务
  
客服热线:400-901-9800  客服QQ:4009019800  技术答疑  技术支持  质量反馈  人才招聘  关于我们  联系我们
产品中心-北京博奥森生物技术有限公司
首页 > 产品中心 > 试剂盒 > 产品信息
Human ITGAE/CD103 Ready-To-Use IHC Kit (IHC0652H)  
订购热线:400-901-9800
订购邮箱:sales@bioss.com.cn
订购QQ:  400-901-9800
技术支持:techsupport@bioss.com.cn
50T/3200.00元
大包装/询价

产品编号 IHC0652H
英文名称 Human ITGAE/CD103 Ready-To-Use IHC Kit
中文名称 人整合素αE即用型免疫组化试剂盒
别    名 CD103; HUMINAE; ITGAE; ITAE_HUMAN; HML-1 antigen; Integrin alpha-IEL  
克 隆 号
适用样品基质 FFPE tissue
保存条件 Please store components at the temperatures indicated on the individual tube labels. The kit is stable for 6 months from the date of receipt.
产品介绍 CD103, also known as ITGAE or Integrin alpha E, is a molecule that non-covalently associates with integrin beta 7 to form a heterodimeric integral membrane protein. This protein is part of the integrin family, characterized by an alpha chain and a beta chain. Specifically, CD103 includes a 150 kDa alpha chain and a 120 kDa beta chain, with the alpha integrin undergoing post-translational cleavage in the extracellular domain to yield disulfide-linked heavy and light chains. CD103 is primarily expressed on mucosa-associated T lymphocytes, intraepithelial lymphocytes (IELs), and activated cells, as well as a subset of TGF beta-1 cells. It is preferentially found in human intestinal IELs, where it plays a role in adhesion and may serve as an accessory molecule for IEL activation. CD103 binds to epithelial cell antigen E-cadherin, mediating the homing of lymphocytes to the intestinal epithelium. In peripheral blood and lymphoid organs, CD103 is expressed by 0.5 to 2% of resting lymphocytes, and its expression can be upregulated in vitro by stimulating human T cells with mitogens. CD103 is also expressed by hairy cell leukemia (HCL) and some chronic B cell lymphocytic leukemias. The CD103 antibody stains a few bone marrow cells and, rarely, peripheral blood lymphocytes. Diseases associated with CD103 dysfunction include hairy cell leukemia and splenic marginal zone lymphoma.

SWISS:
P38570

Gene ID:
3682

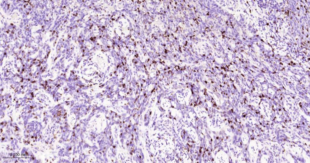
产品图片
Immunohistochemical analysis of paraffin embedded Human cervical cancer tissue slide using IHC0652H (Human ITGAE/CD103 Kit).
版权所有 2004-2026 www.bioss.com.cn 北京博奥森生物技术有限公司
通过国际质量管理体系ISO 9001:2015 GB/T 19001-2016    证书编号: 00124Q34771R2M/1100
通过国际医疗器械-质量管理体系ISO 13485:2016 GB/T 42061-2022     证书编号: CQC24QY20047R0M/1100
京ICP备05066980号-1         京公网安备110107000727号