扫码关注公众号           扫码咨询技术支持           扫码咨询技术服务
  
客服热线:400-901-9800  客服QQ:4009019800  技术答疑  技术支持  质量反馈  人才招聘  关于我们  联系我们
产品中心-北京博奥森生物技术有限公司
首页 > 产品中心 > 试剂盒 > 产品信息
Human GOLPH2 Ready-To-Use IHC Kit (IHC0653H)  
订购热线:400-901-9800
订购邮箱:sales@bioss.com.cn
订购QQ:  400-901-9800
技术支持:techsupport@bioss.com.cn
50T/3200.00元
大包装/询价

产品编号 IHC0653H
英文名称 Human GOLPH2 Ready-To-Use IHC Kit
中文名称 人高尔基体膜蛋白GP73即用型免疫组化试剂盒
别    名 bA379P1.3; C9orf155; GOLM1; GOLPH2; GP73; HEL46; PSEC0242; PSEC0257; UNQ686/PRO1326; Chromosome 9 open reading frame 155; Golgi membrane protein 1; Golgi membrane protein GP73; Golgi phosphoprotein 2; Golgi protein 73 kD; golgi protein 73kD; GOLM 1; GOLPH 2; GP 73  
克 隆 号
适用样品基质 FFPE tissue
保存条件 Please store components at the temperatures indicated on the individual tube labels. The kit is stable for 6 months from the date of receipt.
产品介绍 The Golgi complex plays a key role in the sorting and modification of proteins exported from the endoplasmic reticulum. The protein encoded by this gene is a type II Golgi transmembrane protein. It processes protein synthesized in the rough endoplasmic reticulum and assists in the transport of protein cargo through the Golgi apparatus. The expression of this encoded protein has been observed to be upregulated in response to viral infection.

SWISS:
Q8NBJ4

Gene ID:
51280

产品图片
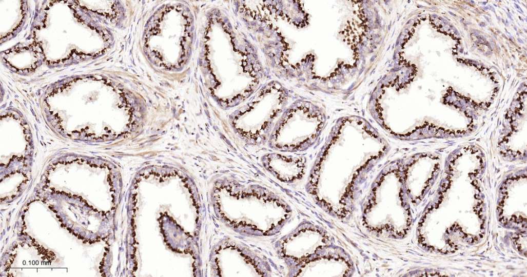
Immunohistochemical analysis of paraffin embedded Human prostate tissue slide using IHC0653H (Human GOLPH2 Kit).
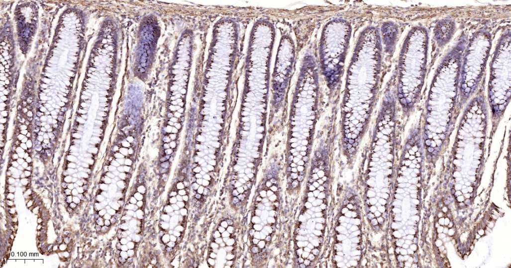
Immunohistochemical analysis of paraffin embedded Human colon tissue slide using IHC0653H (Human GOLPH2 Kit).
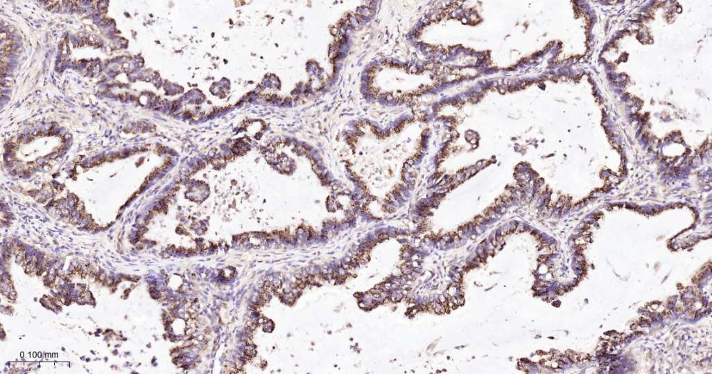
Immunohistochemical analysis of paraffin embedded Human lung cancer tissue slide using IHC0653H (Human GOLPH2 Kit).
版权所有 2004-2026 www.bioss.com.cn 北京博奥森生物技术有限公司
通过国际质量管理体系ISO 9001:2015 GB/T 19001-2016    证书编号: 00124Q34771R2M/1100
通过国际医疗器械-质量管理体系ISO 13485:2016 GB/T 42061-2022     证书编号: CQC24QY20047R0M/1100
京ICP备05066980号-1         京公网安备110107000727号