扫码关注公众号           扫码咨询技术支持           扫码咨询技术服务
  
客服热线:400-901-9800  客服QQ:4009019800  技术答疑  技术支持  质量反馈  人才招聘  关于我们  联系我们
产品中心-北京博奥森生物技术有限公司
首页 > 产品中心 > 试剂盒 > 产品信息
Human RBX1 Ready-To-Use IHC Kit (IHC0662H)  
订购热线:400-901-9800
订购邮箱:sales@bioss.com.cn
订购QQ:  400-901-9800
技术支持:techsupport@bioss.com.cn
50T/3200.00元
大包装/询价

产品编号 IHC0662H
英文名称 Human RBX1 Ready-To-Use IHC Kit
中文名称 人环指蛋白75即用型免疫组化试剂盒
别    名 1500002P15Rik; AA517855; BA554C12.1; RBX1; E3 ubiquitin-protein ligase RBX1; MGC13357; MGC1481; Protein ZYP; Rbx 1; Rbx1; RBX1_HUMAN; Regulator of Cullins 1; Ring box 1; RING box protein 1; RING finger protein 75; RING finger protein; RING-box protein 1; Ringbox protein 1; RNF 75; RNF75; ROC 1; ROC1; ZYP protein  
克 隆 号
适用样品基质 FFPE tissue
保存条件 Please store components at the temperatures indicated on the individual tube labels. The kit is stable for 6 months from the date of receipt.
产品介绍 This locus encodes a RING finger-like domain-containing protein. The encoded protein interacts with cullin proteins and likely plays a role in ubiquitination processes necessary for cell cycle progression. This protein may also affect protein turnover. Related pseudogenes exist on chromosomes 2 and 5.

SWISS:
P62877

Gene ID:
9978

产品图片
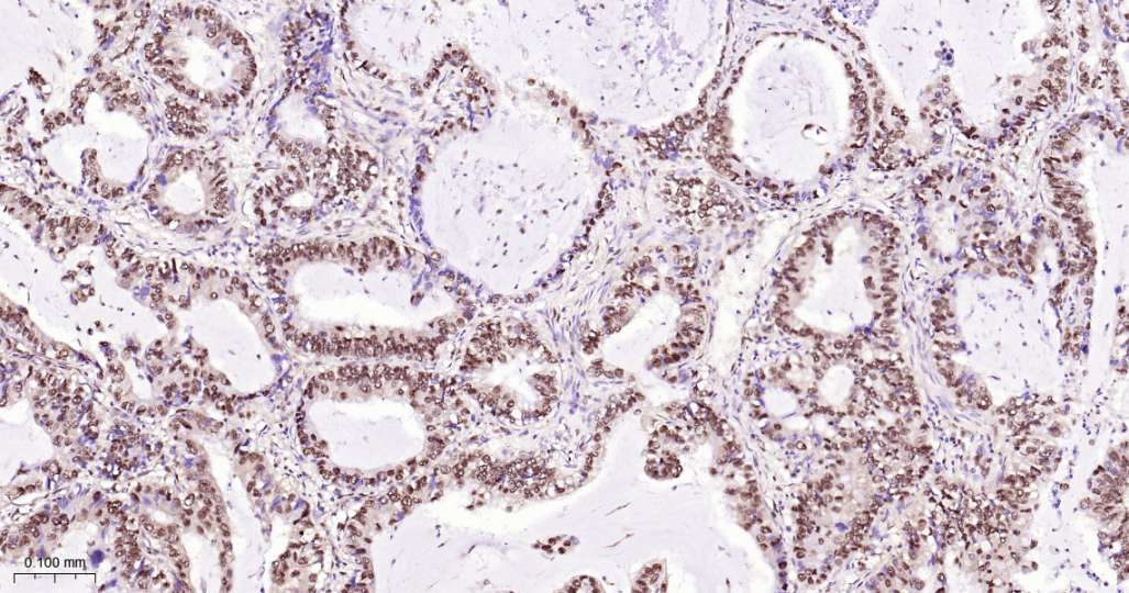
Immunohistochemical analysis of paraffin embedded Human prostate tissue slide using IHC0662H (Human RBX1 Kit).
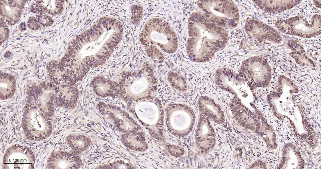
Immunohistochemical analysis of paraffin embedded Human colon cancer tissue slide using IHC0662H (Human RBX1 Kit).
Immunohistochemical analysis of paraffin embedded Human lung cancer tissue slide using IHC0662H (Human RBX1 Kit).
版权所有 2004-2026 www.bioss.com.cn 北京博奥森生物技术有限公司
通过国际质量管理体系ISO 9001:2015 GB/T 19001-2016    证书编号: 00124Q34771R2M/1100
通过国际医疗器械-质量管理体系ISO 13485:2016 GB/T 42061-2022     证书编号: CQC24QY20047R0M/1100
京ICP备05066980号-1         京公网安备110107000727号