扫码关注公众号           扫码咨询技术支持           扫码咨询技术服务
  
客服热线:400-901-9800  客服QQ:4009019800  技术答疑  技术支持  质量反馈  人才招聘  关于我们  联系我们
产品中心-北京博奥森生物技术有限公司
首页 > 产品中心 > 试剂盒 > 产品信息
Mouse Histone H3 (tri methyl K9) Ready-To-Use IHC Kit (IHC0666M)  
订购热线:400-901-9800
订购邮箱:sales@bioss.com.cn
订购QQ:  400-901-9800
技术支持:techsupport@bioss.com.cn
50T/3200.00元
大包装/询价

产品编号 IHC0666M
英文名称 Mouse Histone H3 (tri methyl K9) Ready-To-Use IHC Kit
中文名称 小鼠三甲基化组蛋白H3即用型免疫组化试剂盒
别    名 H3-143; H3-291; H3-53; H3-614; H3-B; H3-F; H3.1-221; H3.1-291; H3.1-I; H3.2; H3.2-221; H3.2-614; H3.2-615; H3.2-616; H3/l; H3/M; H3/n; H3/o; H3a; H3C1; H3C10; H3C11; H3C12; H3C13; H3C14; H3C15; H3C2; H3C3; H3C4; H3C6; H3C7; H3C8; H3F1K; H3F2; H3FA; H3FB; H3FC HIST1H3C; H3FD; H3FH; H3FI; H3FK; H3FM; H3FN; H3g; H3h; H3i; Hist1; Hist1h3c; HIST2H3A; Hist2h3b; HIST2H3C; Hist2h3c1; Hist2h3c2; Hist2h3c2-ps; Hist2h3ca1; Hist2h3ca2; HIST2H3D; M32461; H3 histone family; member A; H31_HUMAN; H3FA; Hist1h3a; HIST1H3B; HIST1H3C; HIST1H3D; HIST1H3E; HIST1H3F; HIST1H3G; HIST1H3H; HIST1H3I; HIST1H3J; histone 1; H3a; Histone cluster 1; H3a; Histone H3.1; Histone H3/a; Histone H3/b; Histone H3/c; Histone H3/d; Histone H3/f; Histone H3/h; Histone H3/i; Histone H3/j; Histone H3/k; Histone H3/l; ;H3.3A; HIST1 cluster; H3E; H3 histone family; member A; H3.1; H3/l; H3F3; H3FF; H3FJ; H3FL; Histone gene cluster 1; H3 histone family; member E; histone H3.1t; Histone H3/o; FLJ92264; H 3; H3; H3 histone family; member B; H3 histone family; member C; H3 histone family; member D; H3 histone family; member F; H3 histone family; member H; H3 histone family; member I; H3 histone family; member J; H3 histone family; member K; H3 histone family; member L; H3 histone family; member T; H3 histone; family 3A; H3/A; H3/b; H3/c; H3/d; h3/f; H3/h; H3/i; H3/j; H3/k; H3/t; H31_HUMAN; H3F1K; H3F3A; H3FA; H3FB; H3FC; H3FD; H3FH; H3FI; H3FK; HIST1 cluster; H3A; HIST1 cluster; H3B; HIST1 cluster; H3C; HIST1 cluster; H3D; HIST1 cluster; H3F; HIST1 cluster; H3G; HIST1 cluster; H3H; HIST1 cluster; H3I; HIST1 cluster; H3J; HIST1H3A; HIST1H3B; HIST1H3C; HIST1H3D; HIST1H3E; HIST1H3F; HIST1H3G; HIST1H3H; HIST1H3I; HIST1H3J; HIST3H3; Histone 1; H3a; Histone 1; H3b; Histone 1; H3c; Histone 1; H3d; Histone 1; H3e; Histone 1; H3f  
克 隆 号
适用样品基质 FFPE tissue
保存条件 Please store components at the temperatures indicated on the individual tube labels. The kit is stable for 6 months from the date of receipt.
产品介绍 Histone H3 is one of the DNA-binding proteins found in the chromatin of all eukaryotic cells. H3 along with four core histone proteins binds to DNA forming the structure of the nucleosome. Histones play a central role in transcription regulation, DNA repair, DNA replication and chromosomal stability. Post translationally, histones are modified in a variety of ways to either directly change the chromatin structure or allow for the binding of specific transcription factors. The N-terminal tail of histone H3 protrudes from the globular nucleosome core and can undergo several different types of post-translational modification that influence cellular processes. These modifications include the covalent attachment of methyl or acetyl groups to lysine and arginine amino acids and the phosphorylation of serine or threonine.

SWISS:
Q71DI3

Gene ID:
8968

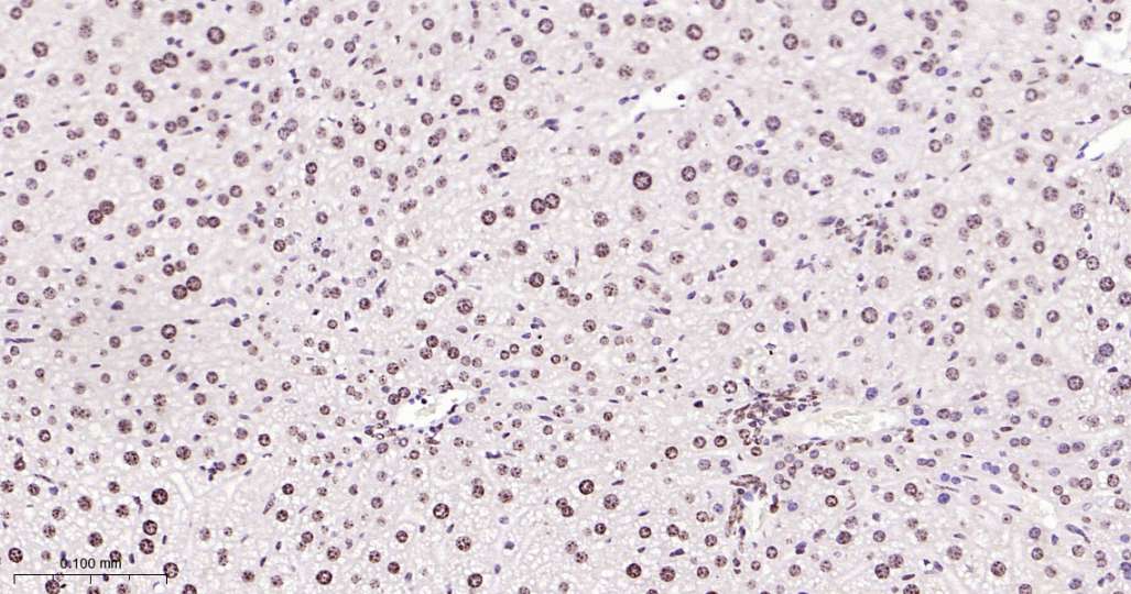
产品图片
Immunohistochemical analysis of paraffin embedded Mouse liver tissue slide using IHC0666M (Mouse Histone H3 (tri methyl K9) Kit).
版权所有 2004-2026 www.bioss.com.cn 北京博奥森生物技术有限公司
通过国际质量管理体系ISO 9001:2015 GB/T 19001-2016    证书编号: 00124Q34771R2M/1100
通过国际医疗器械-质量管理体系ISO 13485:2016 GB/T 42061-2022     证书编号: CQC24QY20047R0M/1100
京ICP备05066980号-1         京公网安备110107000727号