扫码关注公众号           扫码咨询技术支持           扫码咨询技术服务
  
客服热线:400-901-9800  客服QQ:4009019800  技术答疑  技术支持  质量反馈  人才招聘  关于我们  联系我们
产品中心-北京博奥森生物技术有限公司
首页 > 产品中心 > 试剂盒 > 产品信息
Human IL-8 Ready-To-Use IHC Kit (IHC0669H)  
订购热线:400-901-9800
订购邮箱:sales@bioss.com.cn
订购QQ:  400-901-9800
技术支持:techsupport@bioss.com.cn
50T/3200.00元
大包装/询价

产品编号 IHC0669H
英文名称 Human IL-8 Ready-To-Use IHC Kit
中文名称 人白介素8即用型免疫组化试剂盒
别    名 (Ala-IL-8)77; (Ser-IL-8)72; 9E3; Beta thromboglobulin like protein; C-X-C motif chemokine 8; CEF-4; chemokine CXC motif ligand 8; CXCL8; Emoctakin; GCP-1; GCP/IL-8 protein I; GCP/IL-8 protein II; GCP/IL-8 protein III; GCP/IL-8 protein IV; GCP/IL-8 protein V; GCP/IL-8 protein VI; GCP1; Granulocyte chemotactic protein 1; IL-8; IL-8(1-77); IL-8(9-77); IL8; IL8/NAP1 form I; IL8/NAP1 form II; IL8/NAP1 form III; IL8/NAP1 form IV; IL8/NAP1 form V; IL8/NAP1 form VI; IL8_HUMAN; Inteleukin 8; LECT; LUCT; Lymphocyte-derived neutrophil-activating factor; LYNAP; MDNCF; MDNCF-b; MDNCF-c; MONAP; Monocyte-derived neutrophil chemotactic factor; Monocyte-derived neutrophil-activating peptide; NAF; NAP-1; NAP1; Neutrophil activating peptide 1; Neutrophil activating protein 1; Neutrophil-activating factor; Neutrophil-activating protein 1; Protein 3 10C; Protein 3-10C; SCYB8; Small inducible cytokine subfamily B member 8; T cell chemotactic factor; T-cell chemotactic factor; TSG1  
克 隆 号
适用样品基质 FFPE tissue
保存条件 Please store components at the temperatures indicated on the individual tube labels. The kit is stable for 6 months from the date of receipt.
产品介绍 Interleukin 8 (IL-8, CXCL8) is a 72 amino acid pro-inflammatory factor which belongs to the CXC subfamily of chemokines, and are bound by the cell surface receptors IL-8RA and IL-8RB. IL-8 functions as a chemoattractant and potent angiogenic factor. The expression and secretion of IL-8 can be induced by diverse inflammatory stimuli in many cells, including macrophages and endothelial cells. In endothelial cells, IL-8 is present in storage vesicles called Weibel-Palade bodies. IL-8, first isolated from osteosarcoma cells, contains the ELR-motif (N-terminal Glu-Leu-Arg amino acid sequence) and signals through the CXCR1 and CXCR2 receptors. Previous nomenclature for IL-8 includes neutrophil activating protein 1 (NAP-1), granulocyte chemotactic protein 1 (GCP-1), monocyte-derived neutrophil-activating peptide (MONAP) and protein 3-10C. IL-8 and ten other members of the CXC chemokine gene family form a chemokine gene cluster in a region mapped to chromosome 4q. Cancer studies have demonstrated a role for IL-8 in the angiogenesis and growth of tumours, and IL-8 is believed to play a role in the pathogenesis of bronchiolitis, a common respiratory tract disease caused by viral infection.

SWISS:
P10145

Gene ID:
3576

产品图片
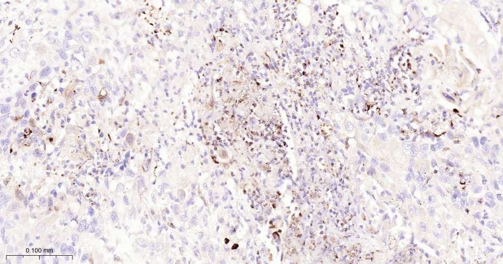
Immunohistochemical analysis of paraffin embedded Human esophageal cancer tissue slide using IHC0669H (Human IL-8 Kit).
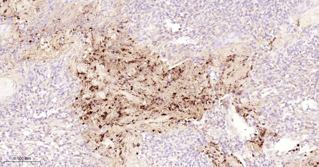
Immunohistochemical analysis of paraffin embedded Human lung cancer tissue slide using IHC0669H (Human IL-8 Kit).
Immunohistochemical analysis of paraffin embedded Human tonsil tissue slide using IHC0669H (Human IL-8 Kit).
版权所有 2004-2026 www.bioss.com.cn 北京博奥森生物技术有限公司
通过国际质量管理体系ISO 9001:2015 GB/T 19001-2016    证书编号: 00124Q34771R2M/1100
通过国际医疗器械-质量管理体系ISO 13485:2016 GB/T 42061-2022     证书编号: CQC24QY20047R0M/1100
京ICP备05066980号-1         京公网安备110107000727号