扫码关注公众号           扫码咨询技术支持           扫码咨询技术服务
  
客服热线:400-901-9800  客服QQ:4009019800  技术答疑  技术支持  质量反馈  人才招聘  关于我们  联系我们
产品中心-北京博奥森生物技术有限公司
首页 > 产品中心 > 试剂盒 > 产品信息
DARPP32 Ready-To-Use IHC Kit (IHC0670)  
订购热线:400-901-9800
订购邮箱:sales@bioss.com.cn
订购QQ:  400-901-9800
技术支持:techsupport@bioss.com.cn
50T/3200.00元
大包装/询价

产品编号 IHC0670
英文名称 DARPP32 Ready-To-Use IHC Kit
中文名称 多巴胺/cAMP调节神经磷蛋白即用型免疫组化试剂盒
别    名 AU040756; DARPP-32; DARPP32; DARPP32 (phospho T75); p-DARPP32 (phospho T75); PPP1R1B(phospho T75); DARPP 32; Dopamine and cAMP regulated neuronal phosphoprotein; Dopamine and cAMP regulated phosphoprotein DARPP 32; Dopamine and cAMP regulated phosphoprotein DARPP32; FLJ20940; IPPD; Neuronal phosphoprotein DARPP 32; PPP1R1B; Protein phosphatase 1 regulatory (inhibitor) subunit 1B; Protein phosphatase 1 regulatory subunit 1B; PPR1B_HUMAN  
克 隆 号
适用样品基质 FFPE tissue
保存条件 Please store components at the temperatures indicated on the individual tube labels. The kit is stable for 6 months from the date of receipt.
产品介绍 DARPP-32 is a dopamine (DA) and AMP-regugated ~32 kDa phosphoprotein that is associated with dopaminoceptive neurons. The protein inhibits Protein Phosphatase I when it is phosphorylated on Thr34. In contrast, when DARPP-32 is phosphorylated on Thr75 the protein acts as an inhibitor of PKA. Phosphorylation of DARPP-32 is thought to play a critical role in the regugation of dopaminergic neurotransmission. In addition, the activity of DARPP-32 is also thought to play important roles in the actions of alcohol, caffeine and Prozac®.

SWISS:
Q9UD71

Gene ID:
84152

产品图片
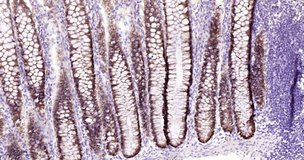
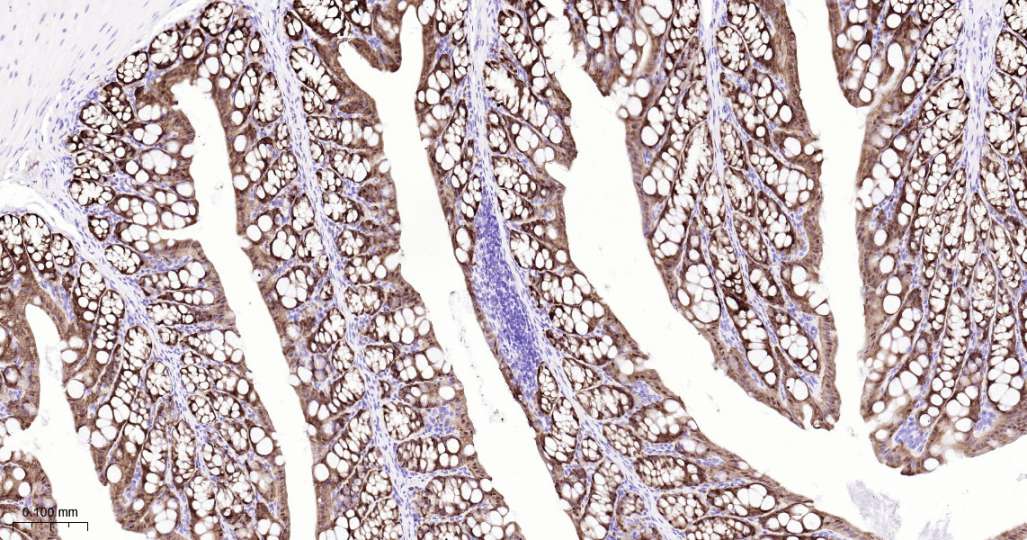
Immunohistochemical analysis of paraffin embedded Mouse colon tissue slide using IHC0670 (DARPP32 Kit).
Immunohistochemical analysis of paraffin embedded Human colon tissue slide using IHC0670 (DARPP32 Kit).
Immunohistochemical analysis of paraffin embedded Rat colon tissue slide using IHC0670 (DARPP32 Kit).
版权所有 2004-2026 www.bioss.com.cn 北京博奥森生物技术有限公司
通过国际质量管理体系ISO 9001:2015 GB/T 19001-2016    证书编号: 00124Q34771R2M/1100
通过国际医疗器械-质量管理体系ISO 13485:2016 GB/T 42061-2022     证书编号: CQC24QY20047R0M/1100
京ICP备05066980号-1         京公网安备110107000727号