扫码关注公众号           扫码咨询技术支持           扫码咨询技术服务
  
客服热线:400-901-9800  客服QQ:4009019800  技术答疑  技术支持  质量反馈  人才招聘  关于我们  联系我们
产品中心-北京博奥森生物技术有限公司
首页 > 产品中心 > 试剂盒 > 产品信息
Human DARPP32 Ready-To-Use IHC Kit (IHC0670H)  
订购热线:400-901-9800
订购邮箱:sales@bioss.com.cn
订购QQ:  400-901-9800
技术支持:techsupport@bioss.com.cn
50T/3200.00元
大包装/询价

产品编号 IHC0670H
英文名称 Human DARPP32 Ready-To-Use IHC Kit
中文名称 人多巴胺/cAMP调节神经磷蛋白即用型免疫组化试剂盒
别    名 AU040756; DARPP-32; DARPP32; DARPP32 (phospho T75); p-DARPP32 (phospho T75); PPP1R1B(phospho T75); DARPP 32; Dopamine and cAMP regulated neuronal phosphoprotein; Dopamine and cAMP regulated phosphoprotein DARPP 32; Dopamine and cAMP regulated phosphoprotein DARPP32; FLJ20940; IPPD; Neuronal phosphoprotein DARPP 32; PPP1R1B; Protein phosphatase 1 regulatory (inhibitor) subunit 1B; Protein phosphatase 1 regulatory subunit 1B; PPR1B_HUMAN  
克 隆 号
适用样品基质 FFPE tissue
保存条件 Please store components at the temperatures indicated on the individual tube labels. The kit is stable for 6 months from the date of receipt.
产品介绍 DARPP-32 is a dopamine (DA) and AMP-regugated ~32 kDa phosphoprotein that is associated with dopaminoceptive neurons. The protein inhibits Protein Phosphatase I when it is phosphorylated on Thr34. In contrast, when DARPP-32 is phosphorylated on Thr75 the protein acts as an inhibitor of PKA. Phosphorylation of DARPP-32 is thought to play a critical role in the regugation of dopaminergic neurotransmission. In addition, the activity of DARPP-32 is also thought to play important roles in the actions of alcohol, caffeine and Prozac®.

SWISS:
Q9UD71

Gene ID:
84152

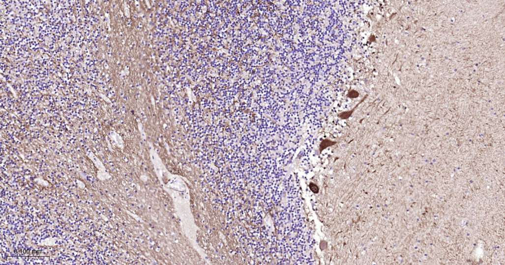
产品图片
Immunohistochemical analysis of paraffin embedded Human cerebellum tissue slide using IHC0670H (Human DARPP32 Kit).
版权所有 2004-2026 www.bioss.com.cn 北京博奥森生物技术有限公司
通过国际质量管理体系ISO 9001:2015 GB/T 19001-2016    证书编号: 00124Q34771R2M/1100
通过国际医疗器械-质量管理体系ISO 13485:2016 GB/T 42061-2022     证书编号: CQC24QY20047R0M/1100
京ICP备05066980号-1         京公网安备110107000727号