扫码关注公众号           扫码咨询技术支持           扫码咨询技术服务
  
客服热线:400-901-9800  客服QQ:4009019800  技术答疑  技术支持  质量反馈  人才招聘  关于我们  联系我们
产品中心-北京博奥森生物技术有限公司
首页 > 产品中心 > 试剂盒 > 产品信息
Human Azurocidin/HBP Ready-To-Use IHC Kit (IHC0671H)  
订购热线:400-901-9800
订购邮箱:sales@bioss.com.cn
订购QQ:  400-901-9800
技术支持:techsupport@bioss.com.cn
50T/3200.00元
大包装/询价

产品编号 IHC0671H
英文名称 Human Azurocidin/HBP Ready-To-Use IHC Kit
中文名称 人天青素/肝素结合蛋白即用型免疫组化试剂盒
别    名 AZAMP; AZU; AZU1; CAP37; HBP; hHBP; HUMAZUR; NAZC; Azurocidin; Cationic Antimicrobial Protein CAP37; Heparin-Binding Protein  
克 隆 号
适用样品基质 FFPE tissue
保存条件 Please store components at the temperatures indicated on the individual tube labels. The kit is stable for 6 months from the date of receipt.
产品介绍 Azurocidin, also called heparin-binding protein (HBP), is an inactive homolog of serine proteinases residing in granulocytes. Initially it was thought to have only activity against gram-negative bacteria. Later it was also found to act against gram-positive bacteria and C. albicans. Azurocidin is considered a family member of polymorphonuclear leukocytes- derived antimicrobial proteins like defensins, LL-37 and lysozyme. Azurocidin has been recognized as a player in the activation and modulation of the immune response and may act to alarm the immune system. The cationic domain at one side of the protein is essential for its antimicrobial activity. It is stored in azurophil granules as well as secretory granules and as a result partly released at early stage of extravasation. Azurocidin is involved in chemotaxis and activation of monocytes, cytokine release and phagocytosis leading to more efficient bacterial clearance. The primary targeted environment of azurocidin are cells in the bloodstream, that is the endothelial lining, and the extravascular surroundings. The interaction of azurocidin with leucocytes is mediated via beta 2-intergrins. High plasma levels of azurocidin might help with the identification of patients which are at risk in developing sepsis.

SWISS:
P20160

Gene ID:
566

产品图片
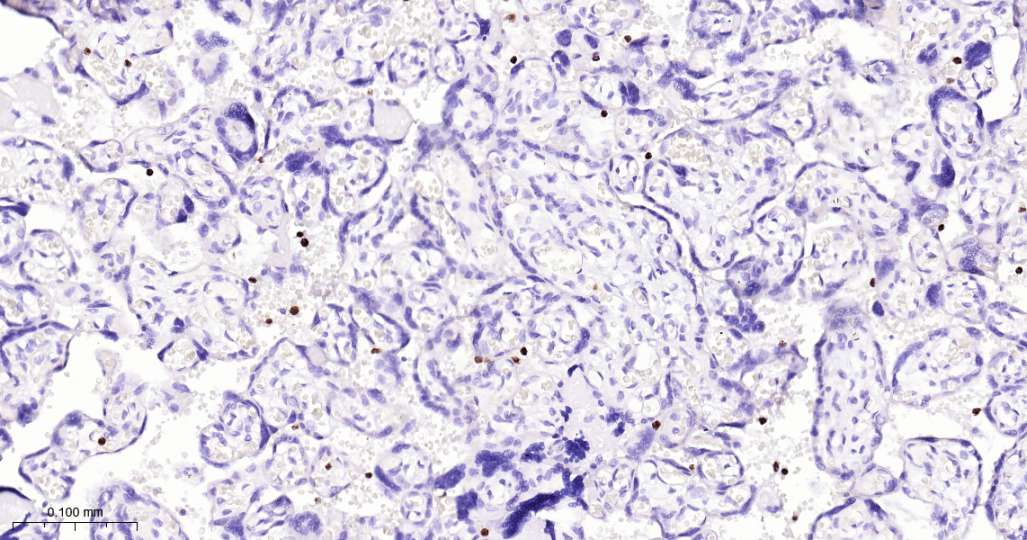
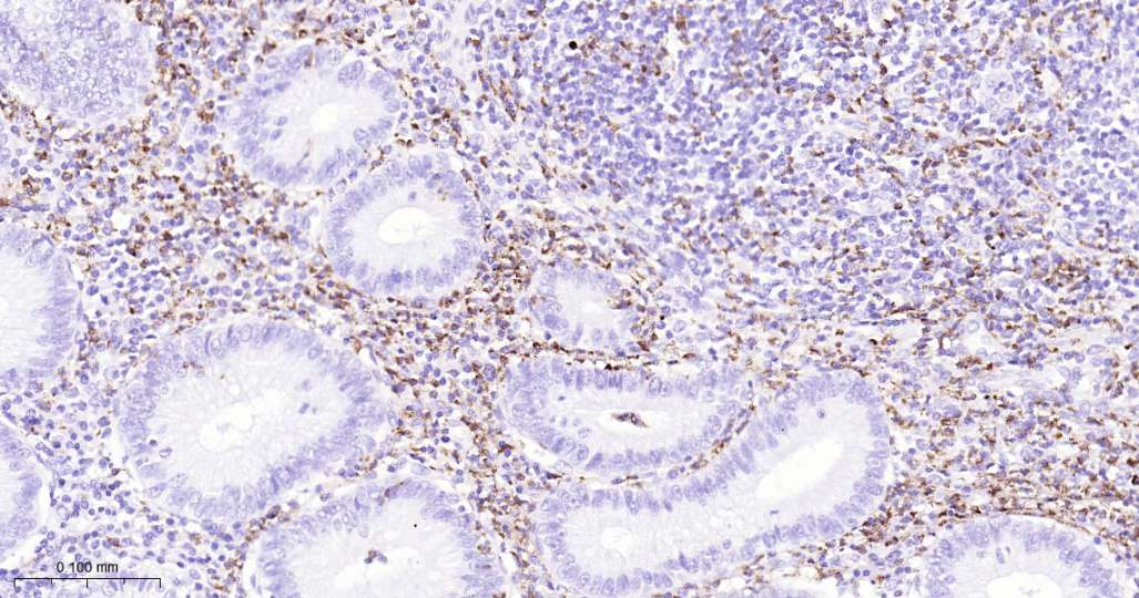
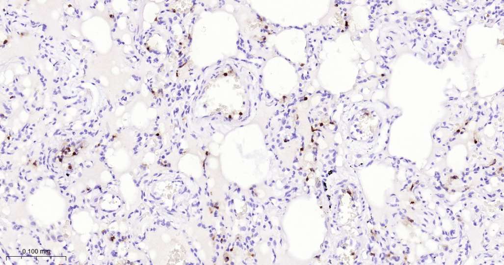
Immunohistochemical analysis of paraffin embedded Human spleen tissue slide using IHC0671H (Human Azurocidin/HBP Kit).
Immunohistochemical analysis of paraffin embedded Human purulent appendicitis tissue slide using IHC0671H (Human Azurocidin/HBP Kit).
Immunohistochemical analysis of paraffin embedded Human acute chorionitis tissue slide using IHC0671H (Human Azurocidin/HBP Kit).
Immunohistochemical analysis of paraffin embedded Human lung tissue slide using IHC0671H (Human Azurocidin/HBP Kit).
版权所有 2004-2026 www.bioss.com.cn 北京博奥森生物技术有限公司
通过国际质量管理体系ISO 9001:2015 GB/T 19001-2016    证书编号: 00124Q34771R2M/1100
通过国际医疗器械-质量管理体系ISO 13485:2016 GB/T 42061-2022     证书编号: CQC24QY20047R0M/1100
京ICP备05066980号-1         京公网安备110107000727号