扫码关注公众号           扫码咨询技术支持           扫码咨询技术服务
  
客服热线:400-901-9800  客服QQ:4009019800  技术答疑  技术支持  质量反馈  人才招聘  关于我们  联系我们
产品中心-北京博奥森生物技术有限公司
首页 > 产品中心 > 试剂盒 > 产品信息
Rat 14-3-3 alpha/beta/zeta/delta Ready-To-Use IHC Kit (IHC0674R)  
订购热线:400-901-9800
订购邮箱:sales@bioss.com.cn
订购QQ:  400-901-9800
技术支持:techsupport@bioss.com.cn
50T/3200.00元
大包装/询价

产品编号 IHC0674R
英文名称 Rat 14-3-3 alpha/beta/zeta/delta Ready-To-Use IHC Kit
中文名称 大鼠14-3-3 α/β/ζ/δ即用型免疫组化试剂盒
别    名 1110013I11Rik; 1300003C17Rik; 14-3-3; 14-3-3-zeta; 14-3-3beta; 14-3-3E; 14-3-3G; 14-3-3GAMMA; 14-3-3t; 14-3-3z; 14-3-3zeta; 1C5; 2700028P07Rik; AA409740; AI596267; AL022924; AU019196; AU020854; AU021156; D7Bwg1348e; Er; GW128; HEL-S-1; HEL-S-3; HEL-S-93; HEL2; HEL4; HME1; HS1; KCIP-1; MDCR; MDS; Mkrn3; Mme1; Msfs1; PPP1R170; R74690; SFN; XELAEV_18012695mg; XELAEV_18015318mg; XELAEV_18043238mg; XELAEV_18045999mg; YWHAA; YWHAB; ywhab-a; ywhab-b; YWHAD; YWHAE; YWHAG; ywhag-a; ywhag-b; YWHAQ; YWHAS; YWHAZ; 14 3 3 protein sigma; 14-3-3 protein sigma; 1433S_HUMAN; Epithelial cell marker protein 1; HME 1; MGC143283  
克 隆 号
适用样品基质 FFPE tissue
保存条件 Please store components at the temperatures indicated on the individual tube labels. The kit is stable for 6 months from the date of receipt.
产品介绍 At least seven isoforms comprise the highly conserved 14-3-3 family of homo- and heterodimeric proteins that are abundantly expressed in all eukaryotic cells. Although more than seven isoforms of 14-3-3 have been described, some redundancies have appeared upon sequencing. The 14-3-3s are thought to be key regulators of signal transduction events mediated through their binding to serine-phosphorylated proteins. By interacting with Cdc25C, 14-3-3 regulates entry into the cell cycle and, through interaction with Bad, prevents apoptosis. Other proteins that have been shown to bind to 14-3-3s include members of the protein kinase C family, Cbl, IRS-1, polyoma middle-T antigen, nitrate reductase, S-raf and the IGF-1 receptor. Detection of 14-3-3 proteins in cerebrospinal fluid has been shown to be quite useful in the differential diagnosis of Creutzfeldt-Jakob disease and other prion diseases.

SWISS:
P31946

Gene ID:
7529

产品图片
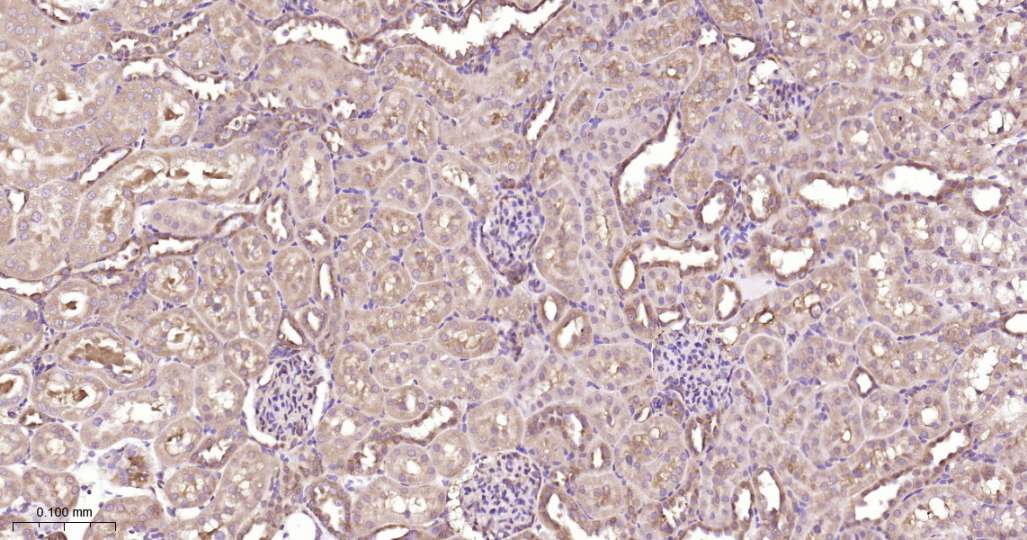
Immunohistochemical analysis of paraffin embedded Rat kidney tissue slide using IHC0674R (Rat 14-3-3 alpha/beta/zeta/delta Kit).
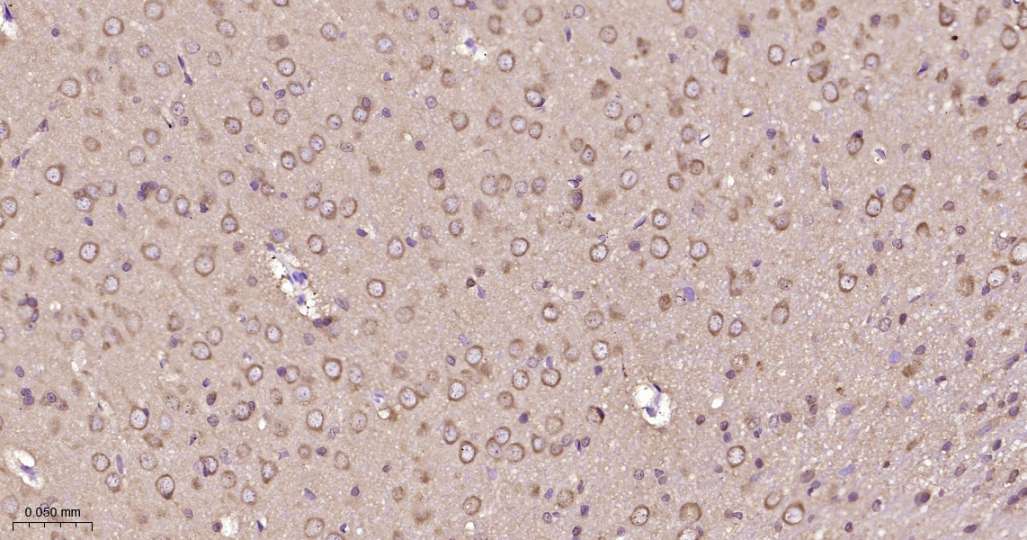
Immunohistochemical analysis of paraffin embedded Rat brain tissue slide using IHC0674R (Rat 14-3-3 alpha/beta/zeta/delta Kit).
版权所有 2004-2026 www.bioss.com.cn 北京博奥森生物技术有限公司
通过国际质量管理体系ISO 9001:2015 GB/T 19001-2016    证书编号: 00124Q34771R2M/1100
通过国际医疗器械-质量管理体系ISO 13485:2016 GB/T 42061-2022     证书编号: CQC24QY20047R0M/1100
京ICP备05066980号-1         京公网安备110107000727号