扫码关注公众号           扫码咨询技术支持           扫码咨询技术服务
  
客服热线:400-901-9800  客服QQ:4009019800  技术答疑  技术支持  质量反馈  人才招聘  关于我们  联系我们
产品中心-北京博奥森生物技术有限公司
首页 > 产品中心 > 试剂盒 > 产品信息
Rat MMP3 Ready-To-Use IHC Kit (IHC0675R)  
订购热线:400-901-9800
订购邮箱:sales@bioss.com.cn
订购QQ:  400-901-9800
技术支持:techsupport@bioss.com.cn
50T/3200.00元
大包装/询价

产品编号 IHC0675R
英文名称 Rat MMP3 Ready-To-Use IHC Kit
中文名称 大鼠基质金属蛋白酶3即用型免疫组化试剂盒
别    名 CHDS6; MMP-3; SLN-1; SLN1; STR-1; matrix metalloproteinase-3; Transin-1; SL-1; SL 1; SL1; Stromelysin-1 precursor; MMP3 Stromelysin-1; EMS-2; Matrix metalloproteinase 3; Matrix metalloproteinase-3; Matrix metalloproteinase 3 preproprotein; MGC126102; MGC126103; MGC126104; MMP 3; MMP3; Progelatinase; Proteoglycanase; STMY; STMY1; STR1; Stromelisin 1; Stromelysin 1 progelatinase; Transin 1; MMP3_HUMAN  
克 隆 号
适用样品基质 FFPE tissue
保存条件 Please store components at the temperatures indicated on the individual tube labels. The kit is stable for 6 months from the date of receipt.
产品介绍 MMP3 (stromelysin-1) belongs to the peptidase M10A subfamily. It is secreted in its pro-protein form, and is activated by extracellular proteinase cleavage. MMP3 is capable of binding to zinc and calcium ions, and has metallo-endopeptidase activity. The active enzyme degrades collagen, gelatin, fibronectin, and laminin. It is involved in normal cellular processes such as wound repair and tissue remodeling. Mutations in the gene can result in coronary heart disease 6.

SWISS:
P08254

Gene ID:
4314

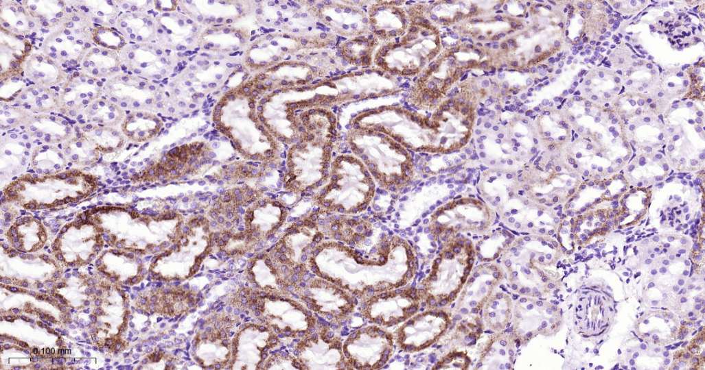
产品图片
Immunohistochemical analysis of paraffin embedded Rat kidney tissue slide using IHC0675R (Rat MMP3 Kit).
版权所有 2004-2026 www.bioss.com.cn 北京博奥森生物技术有限公司
通过国际质量管理体系ISO 9001:2015 GB/T 19001-2016    证书编号: 00124Q34771R2M/1100
通过国际医疗器械-质量管理体系ISO 13485:2016 GB/T 42061-2022     证书编号: CQC24QY20047R0M/1100
京ICP备05066980号-1         京公网安备110107000727号