扫码关注公众号           扫码咨询技术支持           扫码咨询技术服务
  
客服热线:400-901-9800  客服QQ:4009019800  技术答疑  技术支持  质量反馈  人才招聘  关于我们  联系我们
产品中心-北京博奥森生物技术有限公司
首页 > 产品中心 > 试剂盒 > 产品信息
RRM1 Ready-To-Use IHC Kit (IHC0679)  
订购热线:400-901-9800
订购邮箱:sales@bioss.com.cn
订购QQ:  400-901-9800
技术支持:techsupport@bioss.com.cn
50T/3200.00元
大包装/询价

产品编号 IHC0679
英文名称 RRM1 Ready-To-Use IHC Kit
中文名称 核糖核苷酸还原酶1即用型免疫组化试剂盒
别    名 RnrM1; RRM1; ribonucleotide reductase R1 mRNA; R1; Ribonucleoside diphosphate reductase large subunit; Ribonucleoside diphosphate reductase M1 chain; Ribonucleoside diphosphate reductase subunit M1; Ribonucleotide reductase large chain; Ribonucleotide reductase large subunit; Ribonucleotide reductase M1 polypeptide; Ribonucleotide reductase R1 subunit; RIR 1; RIR1; RR 1; RR1; RRM 1; RIR1_HUMAN  
克 隆 号
适用样品基质 FFPE tissue
保存条件 Please store components at the temperatures indicated on the individual tube labels. The kit is stable for 6 months from the date of receipt.
产品介绍 RRM1 (Ribonucleotide reductase M1 polypeptide) is one of two non-identical subunits that constitute ribonucleoside-diphosphate reductase, an enzyme which catalyzes the biosynthesis of deoxyribonucleotides from the corresponding ribonucleotides. It provides the precursors necessary for DNA synthesis. RRM1 is involved in carcinogenesis, tumor progression.

SWISS:
P23921

Gene ID:
6240

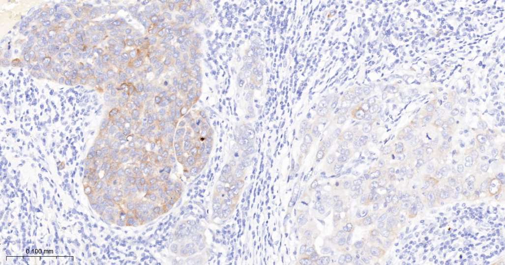
产品图片
Immunohistochemical analysis of paraffin embedded Mouse testis tissue slide using IHC0679 (RRM1 Kit).
Immunohistochemical analysis of paraffin embedded Human breast cancer tissue slide using IHC0679 (RRM1 Kit).
Immunohistochemical analysis of paraffin embedded Rat spleen tissue slide using IHC0679 (RRM1 Kit).
版权所有 2004-2026 www.bioss.com.cn 北京博奥森生物技术有限公司
通过国际质量管理体系ISO 9001:2015 GB/T 19001-2016    证书编号: 00124Q34771R2M/1100
通过国际医疗器械-质量管理体系ISO 13485:2016 GB/T 42061-2022     证书编号: CQC24QY20047R0M/1100
京ICP备05066980号-1         京公网安备110107000727号