扫码关注公众号           扫码咨询技术支持           扫码咨询技术服务
  
客服热线:400-901-9800  客服QQ:4009019800  技术答疑  技术支持  质量反馈  人才招聘  关于我们  联系我们
产品中心-北京博奥森生物技术有限公司
首页 > 产品中心 > 试剂盒 > 产品信息
Human RRM1 Ready-To-Use IHC Kit (IHC0679H)  
订购热线:400-901-9800
订购邮箱:sales@bioss.com.cn
订购QQ:  400-901-9800
技术支持:techsupport@bioss.com.cn
50T/3200.00元
大包装/询价

产品编号 IHC0679H
英文名称 Human RRM1 Ready-To-Use IHC Kit
中文名称 人核糖核苷酸还原酶1即用型免疫组化试剂盒
别    名 RnrM1; RRM1; ribonucleotide reductase R1 mRNA; R1; Ribonucleoside diphosphate reductase large subunit; Ribonucleoside diphosphate reductase M1 chain; Ribonucleoside diphosphate reductase subunit M1; Ribonucleotide reductase large chain; Ribonucleotide reductase large subunit; Ribonucleotide reductase M1 polypeptide; Ribonucleotide reductase R1 subunit; RIR 1; RIR1; RR 1; RR1; RRM 1; RIR1_HUMAN  
克 隆 号
适用样品基质 FFPE tissue
保存条件 Please store components at the temperatures indicated on the individual tube labels. The kit is stable for 6 months from the date of receipt.
产品介绍 RRM1 (Ribonucleotide reductase M1 polypeptide) is one of two non-identical subunits that constitute ribonucleoside-diphosphate reductase, an enzyme which catalyzes the biosynthesis of deoxyribonucleotides from the corresponding ribonucleotides. It provides the precursors necessary for DNA synthesis. RRM1 is involved in carcinogenesis, tumor progression.

SWISS:
P23921

Gene ID:
6240

产品图片
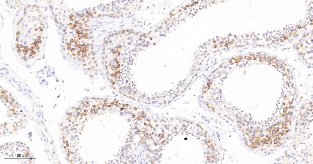
Immunohistochemical analysis of paraffin embedded Human testis tissue slide using IHC0679H (Human RRM1 Kit).
版权所有 2004-2026 www.bioss.com.cn 北京博奥森生物技术有限公司
通过国际质量管理体系ISO 9001:2015 GB/T 19001-2016    证书编号: 00124Q34771R2M/1100
通过国际医疗器械-质量管理体系ISO 13485:2016 GB/T 42061-2022     证书编号: CQC24QY20047R0M/1100
京ICP备05066980号-1         京公网安备110107000727号