扫码关注公众号           扫码咨询技术支持           扫码咨询技术服务
  
客服热线:400-901-9800  客服QQ:4009019800  技术答疑  技术支持  质量反馈  人才招聘  关于我们  联系我们
产品中心-北京博奥森生物技术有限公司
首页 > 产品中心 > 试剂盒 > 产品信息
Human P63 Ready-To-Use IHC Kit (IHC0685H)  
订购热线:400-901-9800
订购邮箱:sales@bioss.com.cn
订购QQ:  400-901-9800
技术支持:techsupport@bioss.com.cn
50T/3200.00元
大包装/询价

产品编号 IHC0685H
英文名称 Human P63 Ready-To-Use IHC Kit
中文名称 人肿瘤抑制基因p63即用型免疫组化试剂盒
别    名 AIS; B(p51A); B(p51B); EEC3; KET; LMS; NBP; OFC8; p40; p51; p53CP; P63; P73H; P73L; RHS; SHFM4; TP53CP; TP53L; TP63; TP73L  
克 隆 号
适用样品基质 FFPE tissue
保存条件 Please store components at the temperatures indicated on the individual tube labels. The kit is stable for 6 months from the date of receipt.
产品介绍 TP63 (tumor protein 63) acts as a sequence-specific DNA binding transcriptional activator or repressor. The isoforms contain a varying set of transactivation and auto-regulating transactivation inhibiting domains thus showing an isoform-specific activity. Isoform 2 activates RIPK4 transcription. TP63 may be required in conjunction with TP73/p73 for initiation of p53/TP53 dependent apoptosis in response to genotoxic insults and the presence of activated oncogenes. It is involved in Notch signaling by inducing JAG1 and JAG2. TP63 plays a role in the regulation of epithelial morphogenesis. The ratio of DeltaN-type and TA*-type isoforms may govern the maintenance of epithelial stem cell compartments and regulate the initiation of epithelial stratification from the undifferentiated embryonal ectoderm. TP63 is required for limb formation from the apical ectodermal ridge. It also activates transcription of the p21 promoter. Mutations affecting the gene can result in Acro-dermato-ungual-lacrimal-tooth syndrome, ankyloblepharon-ectodermal defects-cleft lip/palate, ectrodactyly ectodermal dysplasia, split-hand/foot malformation 4, limb-mammary syndrome, ectodermal dysplasia - Rapp-Hodgkin type, and orofacial cleft 8.

SWISS:
Q9H3D4

Gene ID:
8626

产品图片
Immunohistochemical analysis of paraffin embedded Human breast cancer tissue slide using IHC0685H (Human P63 Kit).
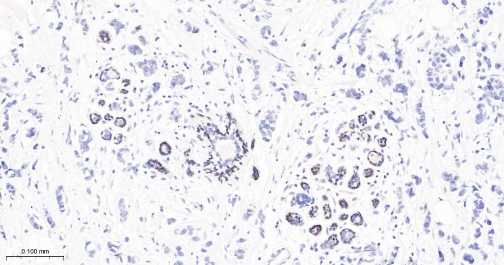
Immunohistochemical analysis of paraffin embedded Human mammary gland tissue slide using IHC0685H (Human P63 Kit).
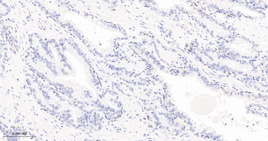
Immunohistochemical analysis of paraffin embedded Human prostate tissue slide using IHC0685H (Human P63 Kit).
版权所有 2004-2026 www.bioss.com.cn 北京博奥森生物技术有限公司
通过国际质量管理体系ISO 9001:2015 GB/T 19001-2016    证书编号: 00124Q34771R2M/1100
通过国际医疗器械-质量管理体系ISO 13485:2016 GB/T 42061-2022     证书编号: CQC24QY20047R0M/1100
京ICP备05066980号-1         京公网安备110107000727号