扫码关注公众号           扫码咨询技术支持           扫码咨询技术服务
  
客服热线:400-901-9800  客服QQ:4009019800  技术答疑  技术支持  质量反馈  人才招聘  关于我们  联系我们
产品中心-北京博奥森生物技术有限公司
首页 > 产品中心 > 试剂盒 > 产品信息
Mouse FABP4 Ready-To-Use IHC Kit (IHC0687M)  
订购热线:400-901-9800
订购邮箱:sales@bioss.com.cn
订购QQ:  400-901-9800
技术支持:techsupport@bioss.com.cn
50T/3200.00元
大包装/询价

产品编号 IHC0687M
英文名称 Mouse FABP4 Ready-To-Use IHC Kit
中文名称 小鼠脂肪细胞型脂肪酸结合蛋白4即用型免疫组化试剂盒
别    名 ALBP; Ap2; FABP4; HEL-S-104; adipocyte; 3T3-L1 lipid-binding protein; 422/aP2; A FABP; A-FABP; Adipocyte lipid binding protein; Adipocyte lipid-binding protein; Adipocyte protein AP2; Adipocyte-type fatty acid-binding protein; AFABP; ALBPv; ALBP/Ap2; aP2; FABP; FABP4_HUMAN; Fatty acid binding protein 4 adipocyte; Fatty acid binding protein 4; Fatty acid binding protein adipocyte; Fatty acid-binding protein 4; Fatty acid-binding protein; Lbpl; Myelin P2 protein homolog; P15v P2 adipocyte protein; Protein 422  
克 隆 号
适用样品基质 FFPE tissue
保存条件 Please store components at the temperatures indicated on the individual tube labels. The kit is stable for 6 months from the date of receipt.
产品介绍 FABP4 belongs to the fatty acid binding protein (FABP) family. FABPs contribute to the transport of fatty acids and other lipids in various cellular pathways. FABP4 is expressed in adipocytes, macrophages, monocyte-derived dendritic cells, and myoepithelial cells. It delivers long-chain fatty acids and retinoic acid to their cognate receptors in the nucleus.

SWISS:
P15090

Gene ID:
2167

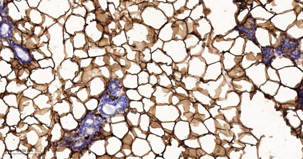
产品图片
Immunohistochemical analysis of paraffin embedded Mouse mammary gland tissue slide using IHC0687M (Mouse FABP4 Kit).
版权所有 2004-2026 www.bioss.com.cn 北京博奥森生物技术有限公司
通过国际质量管理体系ISO 9001:2015 GB/T 19001-2016    证书编号: 00124Q34771R2M/1100
通过国际医疗器械-质量管理体系ISO 13485:2016 GB/T 42061-2022     证书编号: CQC24QY20047R0M/1100
京ICP备05066980号-1         京公网安备110107000727号