扫码关注公众号           扫码咨询技术支持           扫码咨询技术服务
  
客服热线:400-901-9800  客服QQ:4009019800  技术答疑  技术支持  质量反馈  人才招聘  关于我们  联系我们
产品中心-北京博奥森生物技术有限公司
首页 > 产品中心 > 试剂盒 > 产品信息
Human Collagen XVII Ready-To-Use IHC Kit (IHC0688H)  
订购热线:400-901-9800
订购邮箱:sales@bioss.com.cn
订购QQ:  400-901-9800
技术支持:techsupport@bioss.com.cn
50T/3200.00元
大包装/询价

产品编号 IHC0688H
英文名称 Human Collagen XVII Ready-To-Use IHC Kit
中文名称 人胶原蛋白17即用型免疫组化试剂盒
别    名 BPA-2; Bpag; ERED; LAD-1; 180 kDa bullous pemphigoid antigen 2; Alpha 1 type XVII collagen; BA16H23.2; BP 180; BP180; BPA 2; BPAG 2; BPAG2; Bullous pemphigoid antigen 2; COL17A1; Collagen 17; Collagen alpha 1 XVII chain; Collagen alpha 1(XVII) chain; Collagen alpha1 XVII chain; Collagen type XVII alpha 1; Collagen XVII alpha 1 polypeptide; CollagenXVII; Epidermolysis bullosa junctional localisata variant; FLJ60881; KIAA0204; LAD 1; LAD1  
克 隆 号
适用样品基质 FFPE tissue
保存条件 Please store components at the temperatures indicated on the individual tube labels. The kit is stable for 6 months from the date of receipt.
产品介绍 COL17A1 is the alpha chain of type XVII collagen. Unlike most collagens, collagen XVII is a transmembrane protein, and a structural component of hemidesmosomes, multiprotein complexes at the dermal-epidermal basement membrane zone that mediate adhesion of keratinocytes to the underlying membrane. COL17A1 is a member of the FACIT collagen family (fibril-associated collagens with interrupted helices). Moreover, COL17A1 is localized to tissues containing type I collagen so, like other members of this collagen family, it may serve to maintain the integrity of the extracellular matrix. Diseases associated with COL17A1 dysfunction include epithelial recurrent erosion dystrophy and epidermolysis bullosa.

SWISS:
Q9UMD9

Gene ID:
1308

产品图片
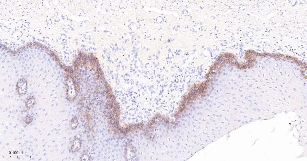
Immunohistochemical analysis of paraffin embedded Human esophagus tissue slide using IHC0688H (Human Collagen XVII Kit).
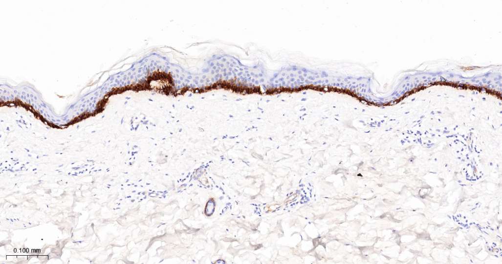
Immunohistochemical analysis of paraffin embedded Human skin tissue slide using IHC0688H (Human Collagen XVII Kit).
版权所有 2004-2026 www.bioss.com.cn 北京博奥森生物技术有限公司
通过国际质量管理体系ISO 9001:2015 GB/T 19001-2016    证书编号: 00124Q34771R2M/1100
通过国际医疗器械-质量管理体系ISO 13485:2016 GB/T 42061-2022     证书编号: CQC24QY20047R0M/1100
京ICP备05066980号-1         京公网安备110107000727号