扫码关注公众号           扫码咨询技术支持           扫码咨询技术服务
  
客服热线:400-901-9800  客服QQ:4009019800  技术答疑  技术支持  质量反馈  人才招聘  关于我们  联系我们
产品中心-北京博奥森生物技术有限公司
首页 > 产品中心 > 试剂盒 > 产品信息
Human MCM3 Ready-To-Use IHC Kit (IHC0689H)  
订购热线:400-901-9800
订购邮箱:sales@bioss.com.cn
订购QQ:  400-901-9800
技术支持:techsupport@bioss.com.cn
50T/3200.00元
大包装/询价

产品编号 IHC0689H
英文名称 Human MCM3 Ready-To-Use IHC Kit
中文名称 人MCM3即用型免疫组化试剂盒
别    名 AL033361; C80350; MCM3; Mcmd; Mcmd3; P1; P1-MCM3; p1.m; minichromosome maintenance deficient 3; Cervical cancer proto oncogene 5; DNA polymerase alpha holoenzyme associated P1; DNA polymerase alpha holoenzyme associated protein P1; DNA replication factor MCM3; DNA replication licensing factor MCM3; HCC 5; HCC5; hRlf beta subunit; Human cervical cancer proto oncogene 5; MCM 3; MCM3 minichromosome maintenance deficient 3; MGC1157; Minichromosome maintenance deficient 3; Minichromosome maintenance protein 3; P1 h; P1 MCM3; P1 Protein; P1.h; P102 protein; Replication licensing factor beta subunit; RLF beta subunit; RLF subunit beta; RLFB  
克 隆 号
适用样品基质 FFPE tissue
保存条件 Please store components at the temperatures indicated on the individual tube labels. The kit is stable for 6 months from the date of receipt.
产品介绍 The protein encoded by this gene is one of the highly conserved mini-chromosome maintenance proteins (MCM) that are involved in the initiation of eukaryotic genome replication. The hexameric protein complex formed by MCM proteins is a key component of the pre-replication complex (pre_RC) and may be involved in the formation of replication forks and in the recruitment of other DNA replication related proteins. This protein is a subunit of the protein complex that consists of MCM2-7. It has been shown to interact directly with MCM5/CDC46. This protein also interacts with, and thus is acetlyated by MCM3AP, a chromatin-associated acetyltransferase. The acetylation of this protein inhibits the initiation of DNA replication and cell cycle progression.

产品图片
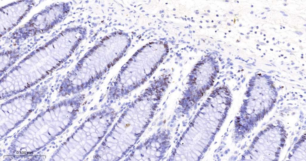
Immunohistochemical analysis of paraffin embedded Human colon tissue slide using IHC0689H (Human MCM3 Kit).
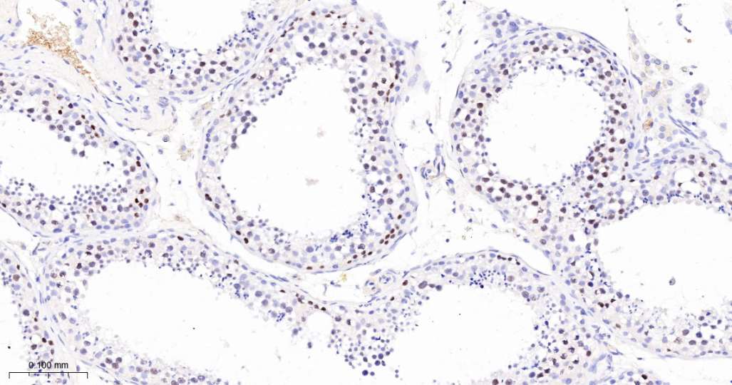
Immunohistochemical analysis of paraffin embedded Human testis tissue slide using IHC0689H (Human MCM3 Kit).
版权所有 2004-2026 www.bioss.com.cn 北京博奥森生物技术有限公司
通过国际质量管理体系ISO 9001:2015 GB/T 19001-2016    证书编号: 00124Q34771R2M/1100
通过国际医疗器械-质量管理体系ISO 13485:2016 GB/T 42061-2022     证书编号: CQC24QY20047R0M/1100
京ICP备05066980号-1         京公网安备110107000727号