扫码关注公众号           扫码咨询技术支持           扫码咨询技术服务
  
客服热线:400-901-9800  客服QQ:4009019800  技术答疑  技术支持  质量反馈  人才招聘  关于我们  联系我们
产品中心-北京博奥森生物技术有限公司
首页 > 产品中心 > 试剂盒 > 产品信息
Human Cyclin B1 Ready-To-Use IHC Kit (IHC0690H)  
订购热线:400-901-9800
订购邮箱:sales@bioss.com.cn
订购QQ:  400-901-9800
技术支持:techsupport@bioss.com.cn
50T/3200.00元
大包装/询价

产品编号 IHC0690H
英文名称 Human Cyclin B1 Ready-To-Use IHC Kit
中文名称 人周期素B1即用型免疫组化试剂盒
别    名 Ccn-2; CCNB; CCNB1; Ccnb1-rs1; Ccnb1-rs13; Cycb; Cycb-4; Cycb-5; CycB1; Cycb1-rs1; I79_013589; CCNB1_HUMAN; G2 mitotic specific cyclin B1; G2/mitotic-specific cyclin-B  
克 隆 号
适用样品基质 FFPE tissue
保存条件 Please store components at the temperatures indicated on the individual tube labels. The kit is stable for 6 months from the date of receipt.
产品介绍 Cyclins bind to and regulate the activity of the Cyclin dependent protein kinases (CDKs). Cyclin B1 or CCNB1 is a regulatory protein involved in mitosis. It is essential for the control of the cell cycle at the G2/M transition. Cyclin B1 complexes with p34 (cdc2) to form the maturation-promoting factor (MPF). Two alternative transcripts have been found, a constitutively expressed transcript and a cell cycle-regulated transcript, that is expressed predominantly during G2/M phase. Cyclin B1 is not ubiquitinated during G2/M phase, resulting in its steady accumulation during G2 phase, followed by abrupt APC dependent destruction at the end of mitosis. Destruction of Cyclin B1 is required for cell cycle progression. Cyclin B1 is overexpressed in various cancers, including breast, prostate, and non-small cell lung cancer.

SWISS:
P14635

Gene ID:
891

产品图片
Immunohistochemical analysis of paraffin embedded Human brain tissue slide using IHC0690H (Human Cyclin B1 Kit).
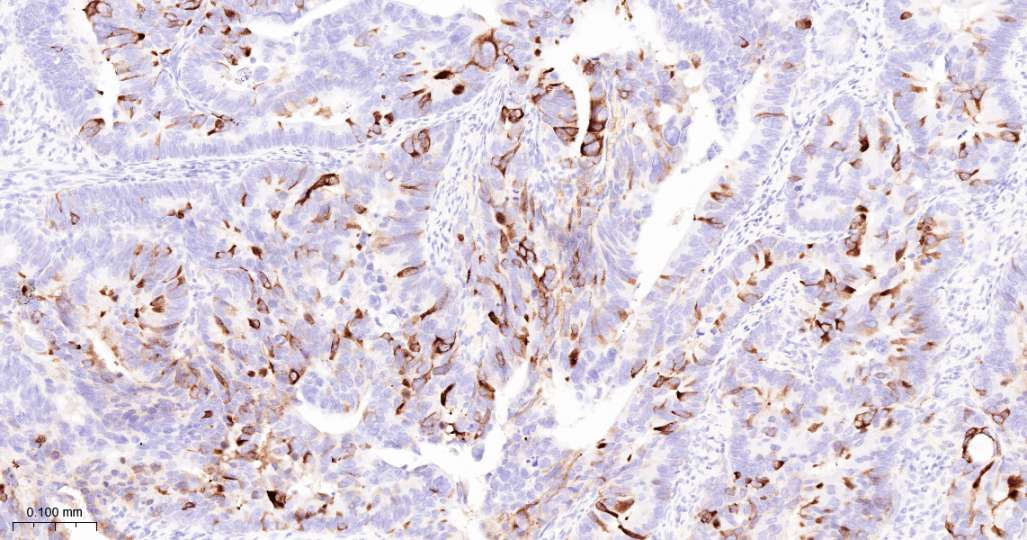
Immunohistochemical analysis of paraffin embedded Human colon cancer tissue slide using IHC0690H (Human Cyclin B1 Kit).
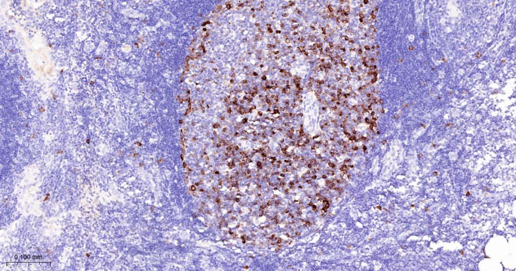
Immunohistochemical analysis of paraffin embedded Human tonsil tissue slide using IHC0690H (Human Cyclin B1 Kit).
Immunohistochemical analysis of paraffin embedded Human thymus tissue slide using IHC0690H (Human Cyclin B1 Kit).
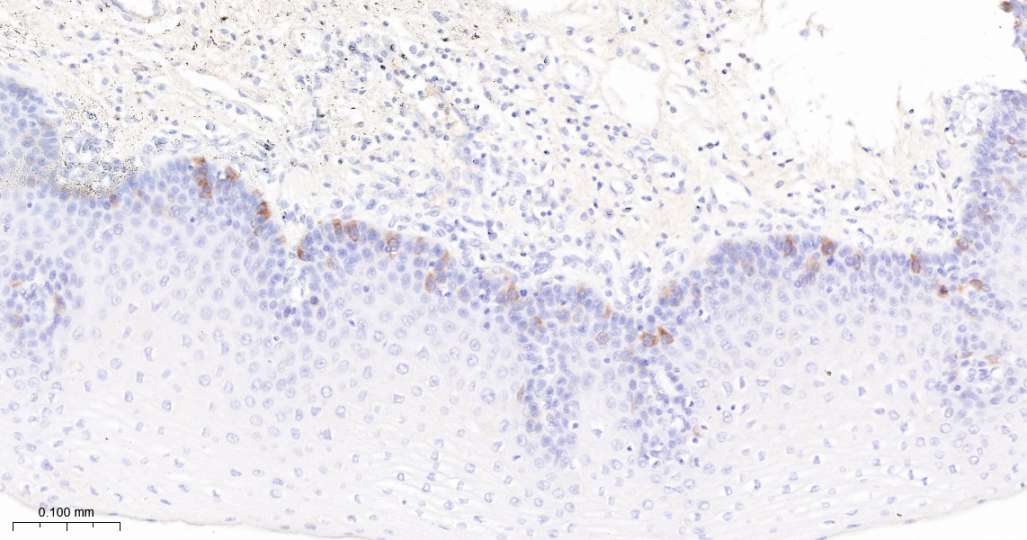
Immunohistochemical analysis of paraffin embedded Human esophagus tissue slide using IHC0690H (Human Cyclin B1 Kit).
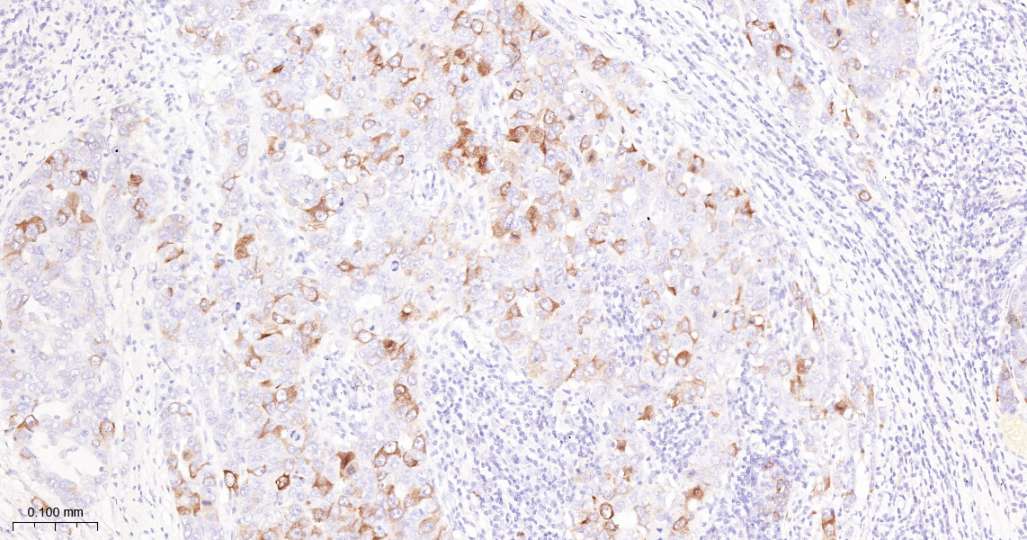
Immunohistochemical analysis of paraffin embedded Human breast cancer tissue slide using IHC0690H (Human Cyclin B1 Kit).
版权所有 2004-2026 www.bioss.com.cn 北京博奥森生物技术有限公司
通过国际质量管理体系ISO 9001:2015 GB/T 19001-2016    证书编号: 00124Q34771R2M/1100
通过国际医疗器械-质量管理体系ISO 13485:2016 GB/T 42061-2022     证书编号: CQC24QY20047R0M/1100
京ICP备05066980号-1         京公网安备110107000727号