扫码关注公众号           扫码咨询技术支持           扫码咨询技术服务
  
客服热线:400-901-9800  客服QQ:4009019800  技术答疑  技术支持  质量反馈  人才招聘  关于我们  联系我们
产品中心-北京博奥森生物技术有限公司
首页 > 产品中心 > 试剂盒 > 产品信息
Cleaved PARP1 p85 Ready-To-Use IHC Kit (IHC0691)  
订购热线:400-901-9800
订购邮箱:sales@bioss.com.cn
订购QQ:  400-901-9800
技术支持:techsupport@bioss.com.cn
50T/3200.00元
大包装/询价

产品编号 IHC0691
英文名称 Cleaved PARP1 p85 Ready-To-Use IHC Kit
中文名称 多腺苷二磷酸多聚酶/多聚ADP-核糖聚合酶1即用型免疫组化试剂盒
别    名 5830444G22Rik; Adprp; ADPRT; ADPRT 1; ADPRT1; AI893648; ARTD1; C80510; pADPRT-1; PARP; PARP-1; PARP1; PPOL; sPARP-1; poly(ADP-ribose) polymerase 1  
克 隆 号
适用样品基质 FFPE tissue
保存条件 Please store components at the temperatures indicated on the individual tube labels. The kit is stable for 6 months from the date of receipt.
产品介绍 Poly ADP-Ribose Polymerase (PARP) uses nicotinamide adenine dinucleotide (oxidized form) NAD as a substrate to catalyse the transfer of ADP-ribose to a variety of nuclear protein acceptors. Proteolysis of PARP to its stable 85kDa fragment is an early marker of programmed cell death (apoptosis) and is mediated by the caspase CPP32 protein. Cleavage occurs between Adp216 and Gly217, a site in PARP conserved across species.

SWISS:
P09874

Gene ID:
142

产品图片
Immunohistochemical analysis of paraffin embedded Mouse testis tissue slide using IHC0691 (Cleaved PARP1 p85 Kit).
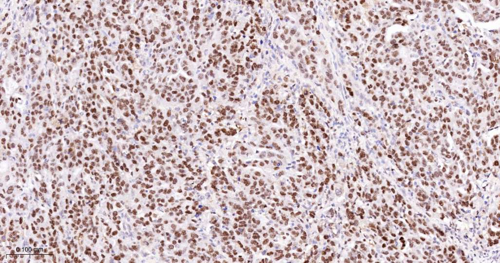
Immunohistochemical analysis of paraffin embedded Human ovarian cancer tissue slide using IHC0691 (Cleaved PARP1 p85 Kit).
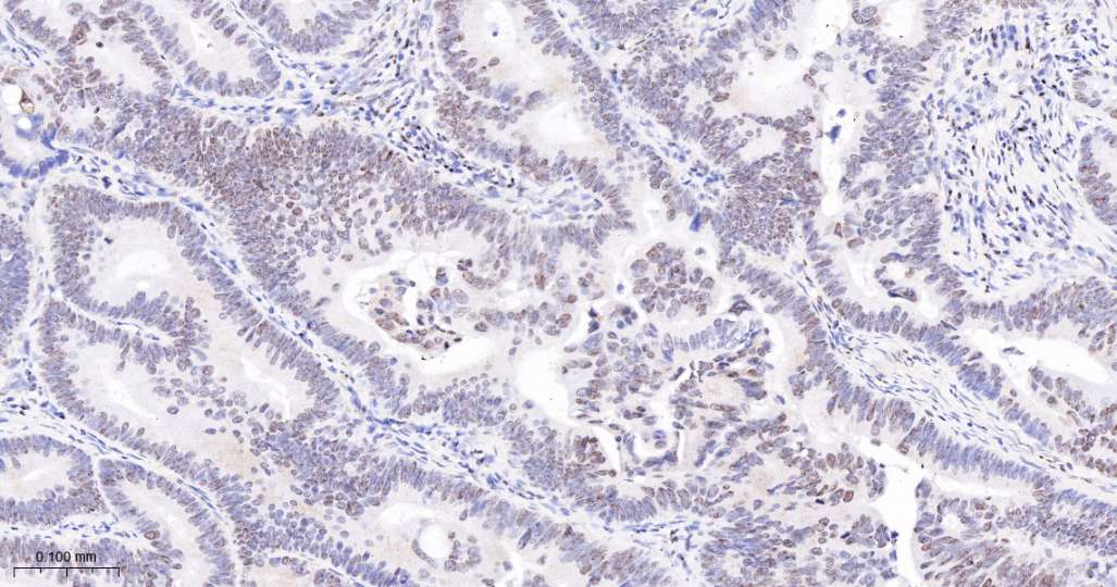
Immunohistochemical analysis of paraffin embedded Human colon cancer tissue slide using IHC0691 (Cleaved PARP1 p85 Kit).
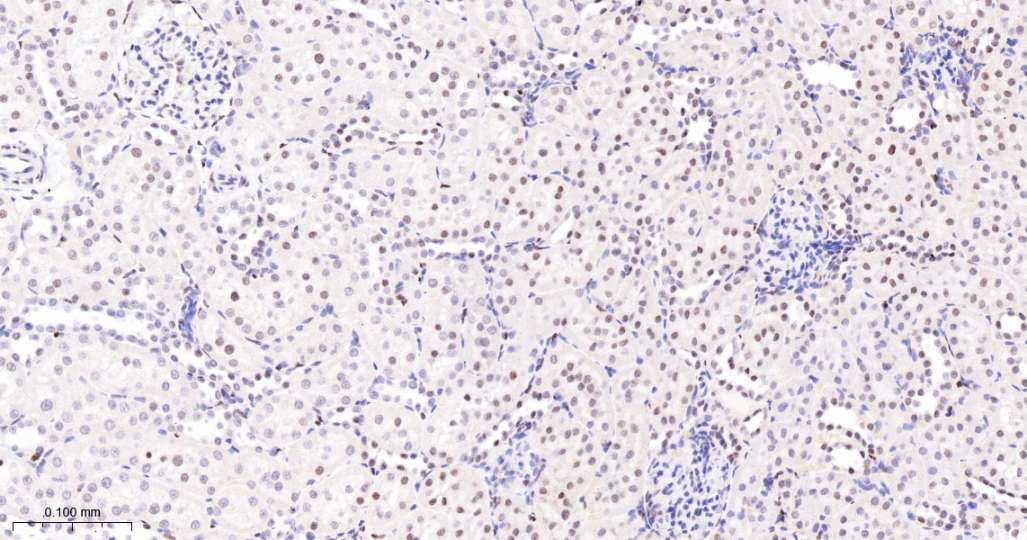
Immunohistochemical analysis of paraffin embedded Rat kidney tissue slide using IHC0691 (Cleaved PARP1 p85 Kit).
版权所有 2004-2026 www.bioss.com.cn 北京博奥森生物技术有限公司
通过国际质量管理体系ISO 9001:2015 GB/T 19001-2016    证书编号: 00124Q34771R2M/1100
通过国际医疗器械-质量管理体系ISO 13485:2016 GB/T 42061-2022     证书编号: CQC24QY20047R0M/1100
京ICP备05066980号-1         京公网安备110107000727号