扫码关注公众号           扫码咨询技术支持           扫码咨询技术服务
  
客服热线:400-901-9800  客服QQ:4009019800  技术答疑  技术支持  质量反馈  人才招聘  关于我们  联系我们
产品中心-北京博奥森生物技术有限公司
首页 > 产品中心 > 试剂盒 > 产品信息
Human CD32/FcRII-b Ready-To-Use IHC Kit (IHC0694H)  
订购热线:400-901-9800
订购邮箱:sales@bioss.com.cn
订购QQ:  400-901-9800
技术支持:techsupport@bioss.com.cn
50T/3200.00元
大包装/询价

产品编号 IHC0694H
英文名称 Human CD32/FcRII-b Ready-To-Use IHC Kit
中文名称 人低亲和力免疫球蛋白γFc区受体II-b/Fc γ RII b即用型免疫组化试剂盒
别    名 CD32; CD32A; CD32B; CD32C; CDW32; FCG2; FcGR; FCGR2; FCGR2A; FCGR2A1; FCGR2B; FCGR2C; FCRIIC; IGFR2  
克 隆 号
适用样品基质 FFPE tissue
保存条件 Please store components at the temperatures indicated on the individual tube labels. The kit is stable for 6 months from the date of receipt.
产品介绍 This gene encodes one member of a family of immunoglobulin Fc receptor genes found on the surface of many immune response cells. The protein encoded by this gene is a cell surface receptor found on phagocytic cells such as macrophages and neutrophils, and is involved in the process of phagocytosis and clearing of immune complexes. Alternative splicing results in multiple transcript variants.

SWISS:
P31994

Gene ID:
2213

产品图片
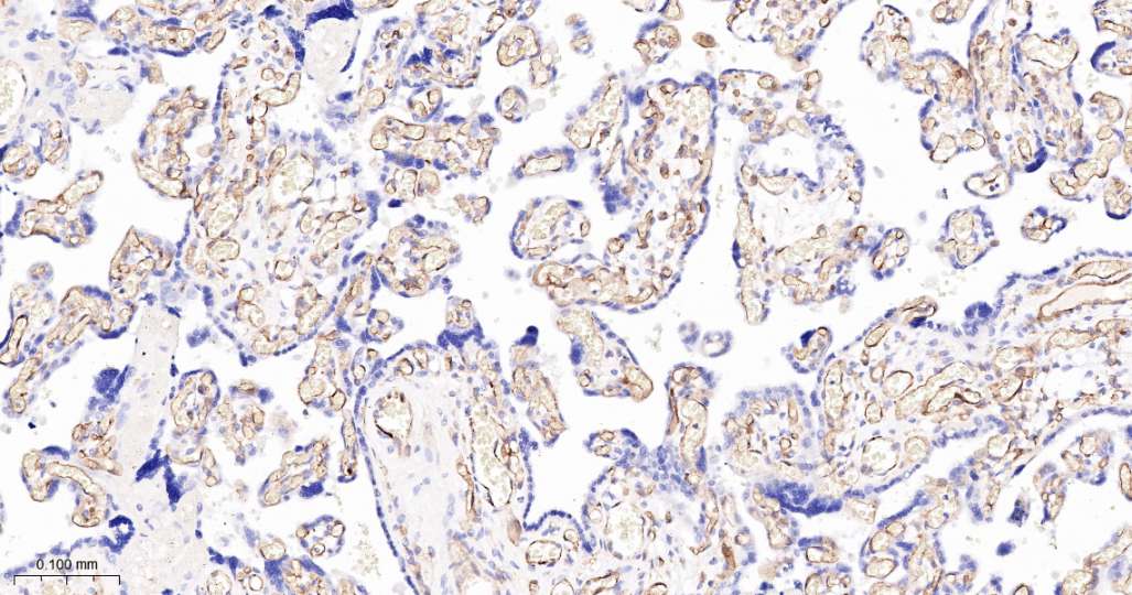
Immunohistochemical analysis of paraffin embedded Human placenta tissue slide using IHC0694H (Human CD32/FcRII-b Kit).
Immunohistochemical analysis of paraffin embedded Human spleen tissue slide using IHC0694H (Human CD32/FcRII-b Kit).
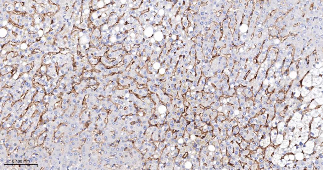
Immunohistochemical analysis of paraffin embedded Human liver tissue slide using IHC0694H (Human CD32/FcRII-b Kit).
版权所有 2004-2026 www.bioss.com.cn 北京博奥森生物技术有限公司
通过国际质量管理体系ISO 9001:2015 GB/T 19001-2016    证书编号: 00124Q34771R2M/1100
通过国际医疗器械-质量管理体系ISO 13485:2016 GB/T 42061-2022     证书编号: CQC24QY20047R0M/1100
京ICP备05066980号-1         京公网安备110107000727号