扫码关注公众号           扫码咨询技术支持           扫码咨询技术服务
  
客服热线:400-901-9800  客服QQ:4009019800  技术答疑  技术支持  质量反馈  人才招聘  关于我们  联系我们
产品中心-北京博奥森生物技术有限公司
首页 > 产品中心 > 试剂盒 > 产品信息
BNIP3 Ready-To-Use IHC Kit (IHC0696)  
订购热线:400-901-9800
订购邮箱:sales@bioss.com.cn
订购QQ:  400-901-9800
技术支持:techsupport@bioss.com.cn
50T/3200.00元
大包装/询价

产品编号 IHC0696
英文名称 BNIP3 Ready-To-Use IHC Kit
中文名称 促凋亡调节蛋白BNIP3即用型免疫组化试剂盒
别    名 BNIP3 (phospho S95); p-BNIP3 (phospho S95); BCL2 Adenovirus E1B 19kDa Interacting Protein 3; BCL2/adenovirus E1B 19 kDa protein interacting protein 3; BCL2/adenovirus E1B 19 kDa protein-interacting protein 3; BNIP 3; BNIP3; BNIP3_HUMAN; NIP 3; NIP3  
克 隆 号
适用样品基质 FFPE tissue
保存条件 Please store components at the temperatures indicated on the individual tube labels. The kit is stable for 6 months from the date of receipt.
产品介绍 NIP3 is a member of the BCL2/adenovirus E1B 19 kd-interacting protein (BNIP) family. It interacts with the E1B 19 kDa protein which is responsible for the protection of virally-induced cell death, as well as E1B 19 kDa-like sequences of BCL2, also an apoptotic protector. NIP3 contains a BH3 domain and a transmembrane domain, which have been associated with pro-apoptotic function. The dimeric mitochondrial protein is known to induce apoptosis, even in the presence of BCL2.

SWISS:
Q12983

Gene ID:
664

产品图片
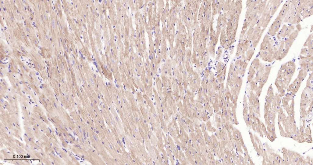
Immunohistochemical analysis of paraffin embedded Mouse heart tissue slide using IHC0696 (BNIP3 Kit).
Immunohistochemical analysis of paraffin embedded Human brain tissue slide using IHC0696 (BNIP3 Kit).
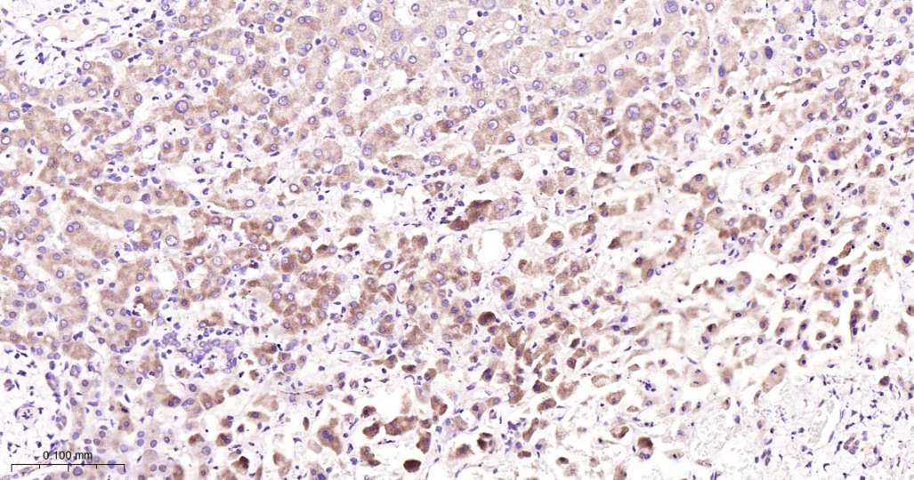
Immunohistochemical analysis of paraffin embedded Human liver tissue slide using IHC0696 (BNIP3 Kit).
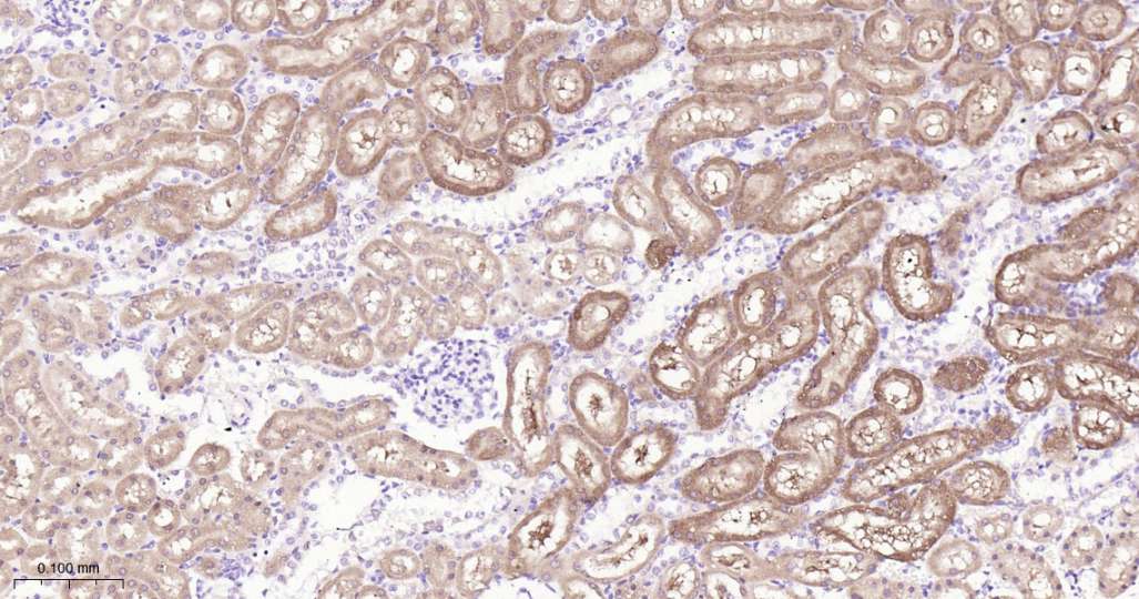
Immunohistochemical analysis of paraffin embedded Rat kidney tissue slide using IHC0696 (BNIP3 Kit).
版权所有 2004-2026 www.bioss.com.cn 北京博奥森生物技术有限公司
通过国际质量管理体系ISO 9001:2015 GB/T 19001-2016    证书编号: 00124Q34771R2M/1100
通过国际医疗器械-质量管理体系ISO 13485:2016 GB/T 42061-2022     证书编号: CQC24QY20047R0M/1100
京ICP备05066980号-1         京公网安备110107000727号