扫码关注公众号           扫码咨询技术支持           扫码咨询技术服务
  
客服热线:400-901-9800  客服QQ:4009019800  技术答疑  技术支持  质量反馈  人才招聘  关于我们  联系我们
产品中心-北京博奥森生物技术有限公司
首页 > 产品中心 > 试剂盒 > 产品信息
Rat BNIP3 Ready-To-Use IHC Kit (IHC0696R)  
订购热线:400-901-9800
订购邮箱:sales@bioss.com.cn
订购QQ:  400-901-9800
技术支持:techsupport@bioss.com.cn
50T/3200.00元
大包装/询价

产品编号 IHC0696R
英文名称 Rat BNIP3 Ready-To-Use IHC Kit
中文名称 大鼠促凋亡调节蛋白BNIP3即用型免疫组化试剂盒
别    名 BNIP3 (phospho S95); p-BNIP3 (phospho S95); BCL2 Adenovirus E1B 19kDa Interacting Protein 3; BCL2/adenovirus E1B 19 kDa protein interacting protein 3; BCL2/adenovirus E1B 19 kDa protein-interacting protein 3; BNIP 3; BNIP3; BNIP3_HUMAN; NIP 3; NIP3  
克 隆 号
适用样品基质 FFPE tissue
保存条件 Please store components at the temperatures indicated on the individual tube labels. The kit is stable for 6 months from the date of receipt.
产品介绍 NIP3 is a member of the BCL2/adenovirus E1B 19 kd-interacting protein (BNIP) family. It interacts with the E1B 19 kDa protein which is responsible for the protection of virally-induced cell death, as well as E1B 19 kDa-like sequences of BCL2, also an apoptotic protector. NIP3 contains a BH3 domain and a transmembrane domain, which have been associated with pro-apoptotic function. The dimeric mitochondrial protein is known to induce apoptosis, even in the presence of BCL2.

SWISS:
Q12983

Gene ID:
664

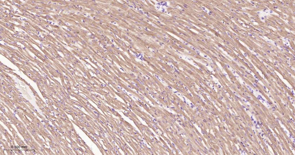
产品图片
Immunohistochemical analysis of paraffin embedded Rat heart tissue slide using IHC0696R (Rat BNIP3 Kit).
版权所有 2004-2026 www.bioss.com.cn 北京博奥森生物技术有限公司
通过国际质量管理体系ISO 9001:2015 GB/T 19001-2016    证书编号: 00124Q34771R2M/1100
通过国际医疗器械-质量管理体系ISO 13485:2016 GB/T 42061-2022     证书编号: CQC24QY20047R0M/1100
京ICP备05066980号-1         京公网安备110107000727号