扫码关注公众号           扫码咨询技术支持           扫码咨询技术服务
  
客服热线:400-901-9800  客服QQ:4009019800  技术答疑  技术支持  质量反馈  关于我们  联系我们
产品中心-北京博奥森生物技术有限公司
首页 > 产品中心 > 一抗 > 产品信息
IL-16 Rabbit pAb (bs-42574R)  
订购热线:400-901-9800
订购邮箱:sales@bioss.com.cn
订购QQ:  400-901-9800
技术支持:techsupport@bioss.com.cn
50ul/1180.00元
100ul/1980.00元
200ul/2800.00元
大包装/询价

产品编号 bs-42574R
英文名称 IL-16 Rabbit pAb
中文名称 白介素16抗体
别    名 IL16_HUMAN; Pro-interleukin-16; IL16; Interleukin-16; Lymphocyte chemoattractant factor; LCF; NIL16; PRIL16; prIL-16;  
抗体来源 Rabbit
克隆类型 Polyclonal
克 隆 号
交叉反应 Human,Mouse,Rat
产品应用 IHC-P=1:100-500,IHC-F=1:100-500,IF=1:100-500
not yet tested in other applications.
optimal dilutions/concentrations should be determined by the end user.
理论分子量 142 kDa
检测分子量
性    状 Liquid
浓    度 1mg/ml
免 疫 原 Recombinant human IL16 protein: 1203-1332/1332 
亚    型 IgG
纯化方法 affinity purified by Protein A
缓 冲 液 0.01M TBS (pH7.4) with 1% BSA, 0.02% Proclin300 and 50% Glycerol.
保存条件 Shipped at 4℃. Store at -20℃ for one year. Avoid repeated freeze/thaw cycles.
注意事项 This product as supplied is intended for research use only, not for use in human, therapeutic or diagnostic applications.
PubMed PubMed
产品介绍 The protein encoded by this gene is a pleiotropic cytokine that functions as a chemoattractant, a modulator of T cell activation, and an inhibitor of HIV replication. The signaling process of this cytokine is mediated by CD4. The product of this gene undergoes proteolytic processing, which is found to yield two functional proteins. The cytokine function is exclusively attributed to the secreted C-terminal peptide, while the N-terminal product may play a role in cell cycle control. Caspase 3 is reported to be involved in the proteolytic processing of this protein. Alternate splicing results in multiple transcript variants. [provided by RefSeq, Feb 2010]

SWISS:
Q14005

Gene ID:
3603

生长因子和激素( Growth Factor and Hormones) 白介素16(IL-16)过去称之为淋巴细胞趋化因子(Lymphocyte Chemotactic Factor, LCF),IL-16具有重要的免疫调节作用,与许多疾病的发生有关。 IL-16是三种重要的细胞因子之一(IL-17、TNF-α),分别参与多种疾病的免疫反应和炎症过程。
产品图片
Paraformaldehyde-fixed, paraffin embedded Mouse Colon; Antigen retrieval by boiling in sodium citrate buffer (pH6.0) for 15 min; The section was incubated with IL-16 Polyclonal Antibody, Unconjugated (bs-42574R) at 1:200 overnight at 4°C, followed by conjugation to the bs-0295G-HRP and DAB (C-0010) staining.
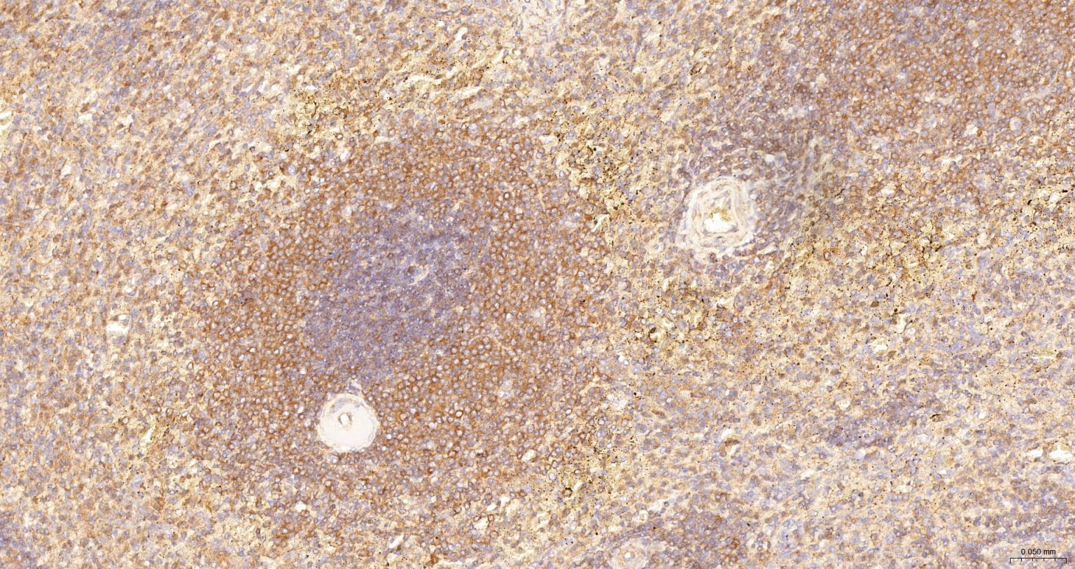
Paraformaldehyde-fixed, paraffin embedded Human Spleen; Antigen retrieval by boiling in sodium citrate buffer (pH6.0) for 15 min; The section was incubated with IL-16 Polyclonal Antibody, Unconjugated (bs-42574R) at 1:200 overnight at 4°C, followed by conjugation to the bs-0295G-HRP and DAB (C-0010) staining.
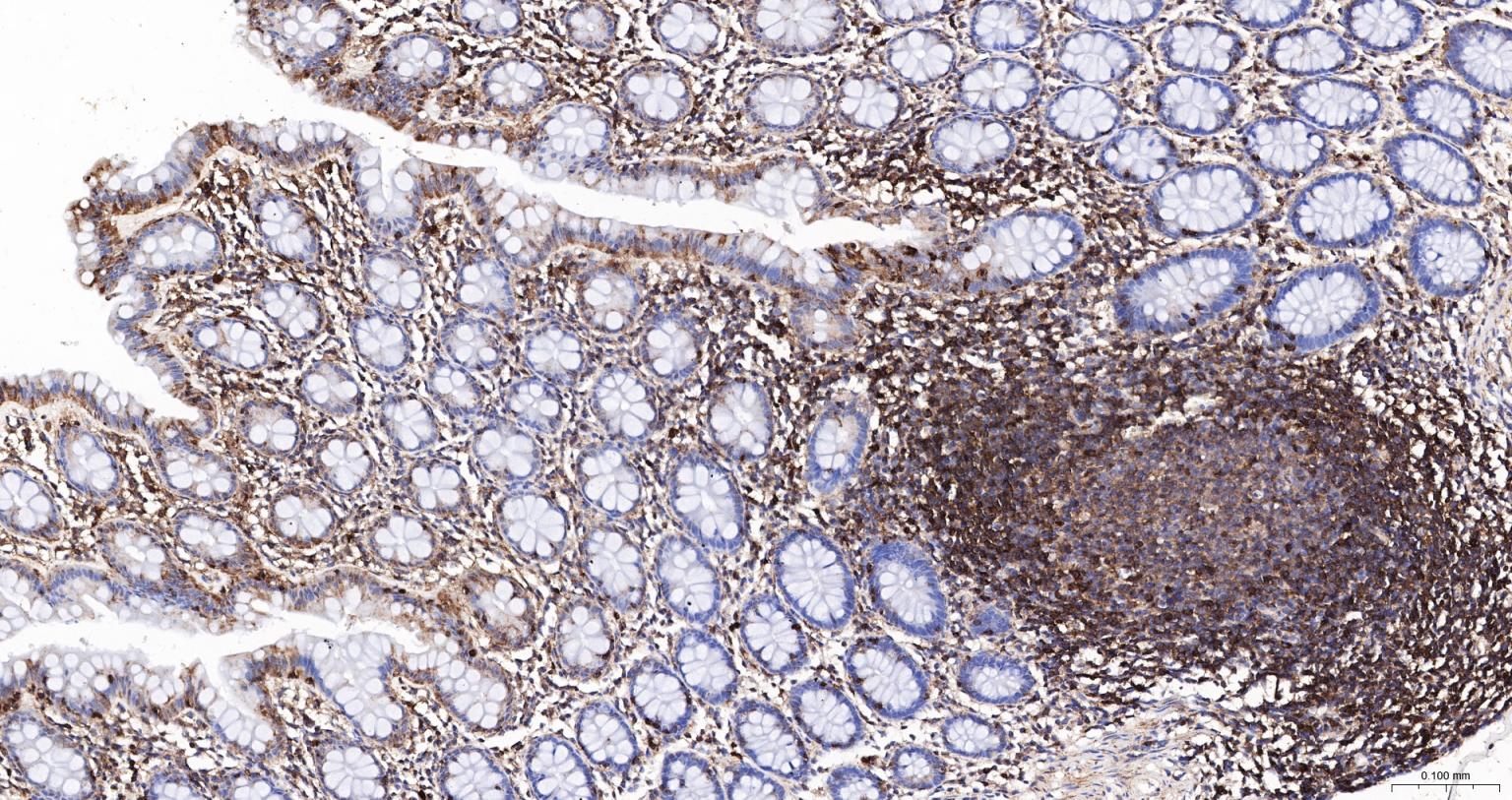
Paraformaldehyde-fixed, paraffin embedded Human Colon; Antigen retrieval by boiling in sodium citrate buffer (pH6.0) for 15 min; The section was incubated with IL-16 Polyclonal Antibody, Unconjugated (bs-42574R) at 1:200 overnight at 4°C, followed by conjugation to the bs-0295G-HRP and DAB (C-0010) staining.
Paraformaldehyde-fixed, paraffin embedded Human Tonsil; Antigen retrieval by boiling in sodium citrate buffer (pH6.0) for 15 min; The section was incubated with IL-16 Polyclonal Antibody, Unconjugated (bs-42574R) at 1:200 overnight at 4°C, followed by conjugation to the bs-0295G-HRP and DAB (C-0010) staining.
Paraformaldehyde-fixed, paraffin embedded Human chronic tonsillitis; Antigen retrieval by boiling in sodium citrate buffer (pH6.0) for 15 min; The section was incubated with IL-16 Polyclonal Antibody, Unconjugated (bs-42574R) at 1:200 overnight at 4°C, followed by conjugation to the bs-0295G-HRP and DAB (C-0010) staining.
Paraformaldehyde-fixed, paraffin embedded Rat Colon; Antigen retrieval by boiling in sodium citrate buffer (pH6.0) for 15 min; The section was incubated with IL-16 Polyclonal Antibody, Unconjugated (bs-42574R) at 1:200 overnight at 4°C, followed by conjugation to the bs-0295G-HRP and DAB (C-0010) staining.
版权所有 2004-2026 www.bioss.com.cn 北京博奥森生物技术有限公司
通过国际质量管理体系ISO 9001:2015 GB/T 19001-2016    证书编号: 00124Q34771R2M/1100
通过国际医疗器械-质量管理体系ISO 13485:2016 GB/T 42061-2022     证书编号: CQC24QY20047R0M/1100
京ICP备05066980号-1         京公网安备110107000727号