扫码关注公众号           扫码咨询技术支持           扫码咨询技术服务
  
客服热线:400-901-9800  客服QQ:4009019800  技术答疑  技术支持  质量反馈  人才招聘  关于我们  联系我们
产品中心-北京博奥森生物技术有限公司
首页 > 产品中心 > 标记一抗 > 产品信息
Rabbit Anti-CD45/HRP Conjugated antibody (bs-0522R-HRP)
订购热线:400-901-9800
订购邮箱:sales@bioss.com.cn
订购QQ:  400-901-9800
技术支持:techsupport@bioss.com.cn
说 明 书: 100ul  
100ul/2980.00元
大包装/询价

产品编号 bs-0522R-HRP
英文名称 Rabbit Anti-CD45/HRP Conjugated antibody
中文名称 辣根过氧化物酶标记的白细胞共同抗原CD45抗体
别    名 B220; CD 45; CD-45; cd45 antigen; ec3.1.3.48; CD45R; GP180; GP180; GP 180; L CA; LCA; L-CA; Leukocyte common antigen; LY5; Ly-5 glycoprotein; Protein tyrosine phosphatase receptor type C; Protein tyrosine phosphatase receptor type c polypeptide; protein tyrosine phosphatase, receptor type, C; Receptor-type tyrosine-protein phosphatase C; PTPRC; PTPRC_HUMAN; SCID due to PTPRC deficiency; T200; T200 glycoprotein; T200 leukocyte common antigen; Human homolog of severe combined immunodeficiency due to PTPRC deficiency.  
规格价格 100ul/2980元 购买        大包装/询价
说 明 书 100ul  
研究领域 细胞生物  免疫学  神经生物学  信号转导  干细胞  转录调节因子  细胞表面分子  糖蛋白  细胞类型标志物  自然杀伤细胞  淋巴细胞  t-淋巴细胞  b-淋巴细胞  细胞膜蛋白  
抗体来源 Rabbit
克隆类型 Polyclonal
交叉反应 Mouse, Rabbit,  (predicted: Rat, Cow, )
产品应用 WB=1:500-2000 ELISA=1:100-1000 IHC-P=1:50-200 
not yet tested in other applications.
optimal dilutions/concentrations should be determined by the end user.
分 子 量 143kDa
性    状 Lyophilized or Liquid
浓    度 1mg/ml
免 疫 原 KLH conjugated synthetic peptide derived from human CD45
亚    型 IgG
纯化方法 affinity purified by Protein A
储 存 液 0.01M TBS(pH7.4) with 1% BSA, 0.03% Proclin300 and 50% Glycerol.
保存条件 Store at -20 °C for one year. Avoid repeated freeze/thaw cycles. The lyophilized antibody is stable at room temperature for at least one month and for greater than a year when kept at -20°C. When reconstituted in sterile pH 7.4 0.01M PBS or diluent of antibody the antibody is stable for at least two weeks at 2-4 °C.
产品介绍 background:
The protein encoded by this gene is a member of the protein tyrosine phosphatase (PTP) family. PTPs are known to be signaling molecules that regulate a variety of cellular processes including cell growth, differentiation, mitotic cycle, and oncogenic transformation. This PTP contains an extracellular domain, a single transmembrane segment and two tandem intracytoplasmic catalytic domains, and thus belongs to receptor type PTP. This gene is specifically expressed in hematopoietic cells. This PTP has been shown to be an essential regulator of T- and B-cell antigen receptor signaling. It functions through either direct interaction with components of the antigen receptor complexes, or by activating various Src family kinases required for the antigen receptor signaling. This PTP also suppresses JAK kinases, and thus functions as a regulator of cytokine receptor signaling. Four alternatively spliced transcripts variants of this gene, which encode distinct isoforms, have been reported. [provided by RefSeq, Jul 2008].

Function:
Protein tyrosine-protein phosphatase required for T-cell activation through the antigen receptor. Acts as a positive regulator of T-cell coactivation upon binding to DPP4. The first PTPase domain has enzymatic activity, while the second one seems to affect the substrate specificity of the first one. Upon T-cell activation, recruits and dephosphorylates SKAP1 and FYN. Dephosphorylates LYN, and thereby modulates LYN activity.

Subunit:
Binds GANAB and PRKCSH. Interacts with SKAP1. Interacts with DPP4; the interaction is enhanced in a interleukin-12-dependent manner in activated lymphocytes. Contains 2 tyrosine-protein phosphatase domains.

Subcellular Location:
Membrane; Single-pass type I membrane protein. Membrane raft. Note=Colocalized with DPP4 in membrane rafts.

Post-translational modifications:
Heavily N- and O-glycosylated.

DISEASE:
Defects in PTPRC are a cause of severe combined immunodeficiency autosomal recessive T-cell-negative/B-cell-positive/NK-cell-positive (T(-)B(+)NK(+) SCID) [MIM:608971]. A form of severe combined immunodeficiency (SCID), a genetically and clinically heterogeneous group of rare congenital disorders characterized by impairment of both humoral and cell-mediated immunity, leukopenia, and low or absent antibody levels. Patients present in infancy recurrent, persistent infections by opportunistic organisms. The common characteristic of all types of SCID is absence of T-cell-mediated cellular immunity due to a defect in T-cell development.
Genetic variations in PTPRC are involved in multiple sclerosis susceptibility (MS) [MIM:126200]. MS is a neurodegenerative disorder characterized by the gradual accumulation of focal plaques of demyelination particularly in the periventricular areas of the brain. Peripheral nerves are not affected. Onset usually in third or fourth decade with intermittent progression over an extended period. The cause is still uncertain.

Similarity:
Belongs to the protein-tyrosine phosphatase family. Receptor class 1/6 subfamily.
Contains 2 fibronectin type-III domains.
Contains 2 tyrosine-protein phosphatase domains.

Database links:

Entrez Gene: 5788 Human

Entrez Gene: 19264 Mouse

Entrez Gene: 24699 Rat

Omim: 151460 Human

SwissProt: P08575 Human

SwissProt: P06800 Mouse

SwissProt: P04157 Rat

Unigene: 654514 Human

Unigene: 391573 Mouse

Unigene: 90166 Rat



Important Note:
This product as supplied is intended for research use only, not for use in human, therapeutic or diagnostic applications.

CD45在活化信号转导中起到调节作用 在确定CD45为一种PTPase之前就已证实了CD45参于细胞的活化和生长调节。
抗CD45抗体可以抑制PHA或CD3交联所介导的T细胞增殖,还可抑制NK或细胞毒性T细胞对靶细胞的杀伤,抑制经CD2、CD3以及CD8膜分子介导的信号转导作用。
白细胞共同抗原是五种或更多的高分子量糖蛋白组成的蛋白家族,主要位于白细胞表面,包括T、B淋巴细胞、多形核白细胞、单核细胞等,而在红细胞、血小板及非造血系统中不表达。因此是区分淋巴瘤/白血病和非造血组织肿瘤(如未分化小细胞癌、小圆细胞肉瘤)的特异性标记物。该抗体主要用于淋巴瘤和未分化小细胞癌的鉴别诊断。
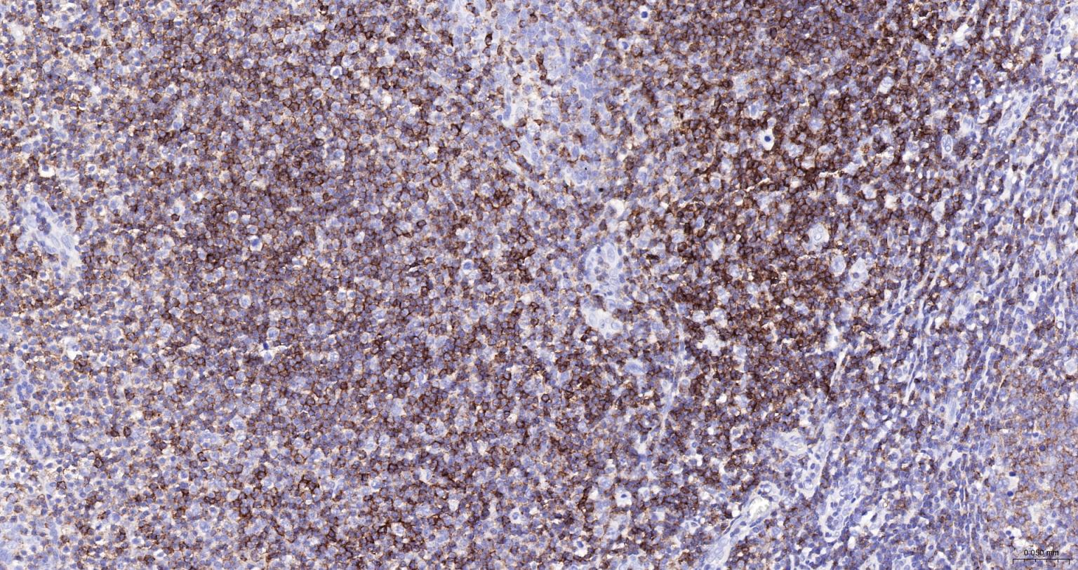
产品图片
Paraformaldehyde-fixed, paraffin embedded Human Gastric Cancer; Antigen retrieval by boiling in sodium citrate buffer (pH6.0) for 15 min; The section was incubated with CD45 Polyclonal Antibody (bs-0522R-HRP) at 1:200 overnight at 4°C, and DAB (C-0010) staining.
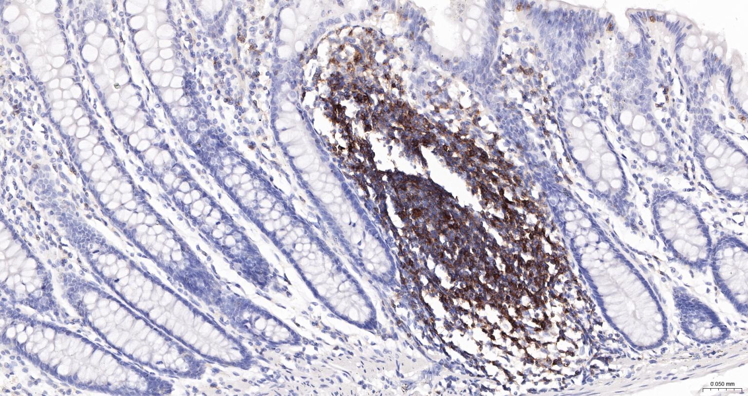
Paraformaldehyde-fixed, paraffin embedded Human Small Intestine; Antigen retrieval by boiling in sodium citrate buffer (pH6.0) for 15 min; The section was incubated with CD45 Polyclonal Antibody (bs-0522R-HRP) at 1:200 overnight at 4°C, and DAB (C-0010) staining.
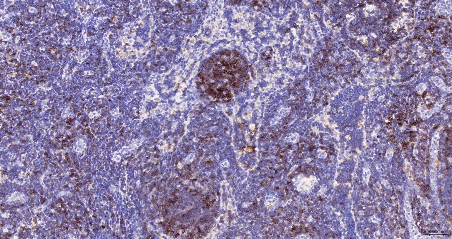
Paraformaldehyde-fixed, paraffin embedded Human Spleen; Antigen retrieval by boiling in sodium citrate buffer (pH6.0) for 15 min; The section was incubated with CD45 Polyclonal Antibody (bs-0522R-HRP) at 1:200 overnight at 4°C, and DAB (C-0010) staining.
Paraformaldehyde-fixed, paraffin embedded Human Lymph; Antigen retrieval by boiling in sodium citrate buffer (pH6.0) for 15 min; The section was incubated with CD45 Polyclonal Antibody (bs-0522R-HRP) at 1:200 overnight at 4°C, and DAB (C-0010) staining.
Paraformaldehyde-fixed, paraffin embedded Human Colon; Antigen retrieval by boiling in sodium citrate buffer (pH6.0) for 15 min; The section was incubated with CD45 Polyclonal Antibody (bs-0522R-HRP) at 1:200 overnight at 4°C, and DAB (C-0010) staining.
Paraformaldehyde-fixed, paraffin embedded Human Tonsil; Antigen retrieval by boiling in sodium citrate buffer (pH6.0) for 15 min;The section was incubated with CD45 Polyclonal Antibody (bs-0522R-HRP) at 1:200 overnight at 4°C, and DAB (C-0010) staining.
版权所有 2004-2026 www.bioss.com.cn 北京博奥森生物技术有限公司
通过国际质量管理体系ISO 9001:2015 GB/T 19001-2016    证书编号: 00124Q34771R2M/1100
通过国际医疗器械-质量管理体系ISO 13485:2016 GB/T 42061-2022     证书编号: CQC24QY20047R0M/1100
京ICP备05066980号-1         京公网安备110107000727号