扫码关注公众号           扫码咨询技术支持           扫码咨询技术服务
  
客服热线:400-901-9800  客服QQ:4009019800  技术答疑  技术支持  质量反馈  人才招聘  关于我们  联系我们
产品中心-北京博奥森生物技术有限公司
首页 > 产品中心 > 标记一抗 > 产品信息
Mouse Anti-beta-Actin/HRP Conjugated antibody (bsm-33036M-HRP)
订购热线:400-901-9800
订购邮箱:sales@bioss.com.cn
订购QQ:  400-901-9800
技术支持:techsupport@bioss.com.cn
说 明 书: 100ul  
100ul/1200.00元
大包装/询价

产品编号 bsm-33036M-HRP
英文名称 Mouse Anti-beta-Actin/HRP Conjugated antibody
中文名称 辣根过氧化物酶标记的β-肌动蛋白/β-Actin单克隆抗体(内参抗体)
别    名 Beta Actin; beta-Actin; ACTB; Actin cytoplasmic 1; Actin, beta; Beta actin; beta cytoskeletal actin;A X actin like protein; ACTB; Actin cytoplasmic 1; alpha sarcomeric Actin; Actx; Beta cytoskeletal actin; Melanoma X actin; PS1TP5BP1; ACTB_HUMAN.  
规格价格 100ul/1200元 购买        大包装/询价
说 明 书 100ul  
产品类型 内参抗体 
研究领域 肿瘤  细胞生物  信号转导  细胞骨架  
抗体来源 Mouse
克隆类型 Monoclonal
克 隆 号 1A2
交叉反应 Human,  (predicted: Mouse, Rat, Chicken, Dog, Pig, Cow, Sheep, Fish, Guinea Pig, Hamster, Cat, )
产品应用
not yet tested in other applications.
optimal dilutions/concentrations should be determined by the end user.
分 子 量 42kDa
性    状 Lyophilized or Liquid
浓    度 1mg/ml
免 疫 原 KLH conjugated synthetic peptide derived from human beta-Actin
亚    型 IgG
纯化方法 affinity purified by Protein G
储 存 液 0.01M TBS(pH7.4) with 1% BSA, 0.03% Proclin300 and 50% Glycerol.
保存条件 Store at -20 °C for one year. Avoid repeated freeze/thaw cycles. The lyophilized antibody is stable at room temperature for at least one month and for greater than a year when kept at -20°C. When reconstituted in sterile pH 7.4 0.01M PBS or diluent of antibody the antibody is stable for at least two weeks at 2-4 °C.
产品介绍 background:
Loading Control
This gene encodes one of six different actin proteins. Actins are highly conserved proteins that are involved in cell motility, structure, and integrity. This actin is a major constituent of the contractile apparatus and one of the two nonmuscle cytoskeletal actins. [provided by RefSeq, Jul 2008].

Function:
Actins are highly conserved proteins that are involved in various types of cell motility and are ubiquitously expressed in all eukaryotic cells.

Subunit:
Polymerization of globular actin (G-actin) leads to a structural filament (F-actin) in the form of a two-stranded helix. Each actin can bind to 4 others. Identified in a mRNP granule complex, at least composed of ACTB, ACTN4, DHX9, ERG, HNRNPA1, HNRNPA2B1, HNRNPAB, HNRNPD, HNRNPL, HNRNPR, HNRNPU, HSPA1, HSPA8, IGF2BP1, ILF2, ILF3, NCBP1, NCL, PABPC1, PABPC4, PABPN1, RPLP0, RPS3, RPS3A, RPS4X, RPS8, RPS9, SYNCRIP, TROVE2, YBX1 and untranslated mRNAs. Component of the BAF complex, which includes at least actin (ACTB), ARID1A, ARID1B/BAF250, SMARCA2, SMARCA4/BRG1, ACTL6A/BAF53, ACTL6B/BAF53B, SMARCE1/BAF57 SMARCC1/BAF155, SMARCC2/BAF170, SMARCB1/SNF5/INI1, and one or more of SMARCD1/BAF60A, SMARCD2/BAF60B, or SMARCD3/BAF60C. In muscle cells, the BAF complex also contains DPF3. Found in a complex with XPO6, Ran, ACTB and PFN1. Component of the MLL5-L complex, at least composed of MLL5, STK38, PPP1CA, PPP1CB, PPP1CC, HCFC1, ACTB and OGT. Interacts with XPO6 and EMD. Interacts with ERBB2.

Subcellular Location:
Cytoplasm. cytoskeleton.

Tissue Specificity:
Ubiquitously expressed in all eukaryotic cells.

Post-translational modifications:
ISGylated.
Oxidation of Met-44 by MICALs (MICAL1, MICAL2 or MICAL3) to form methionine sulfoxide promotes actin filament depolymerization. Methionine sulfoxide is produced stereospecifically, but it is not known whether the (S)-S-oxide or the (R)-S-oxide is produced.

DISEASE:
Defects in ACTA1 are the cause of nemaline myopathy type 3 (NEM3) [MIM:161800]. A form of nemaline myopathy. Nemaline myopathies are muscular disorders characterized by muscle weakness of varying severity and onset, and abnormal thread-or rod-like structures in muscle fibers on histologic examination. The phenotype at histological level is variable. Some patients present areas devoid of oxidative activity containg (cores) within myofibers. Core lesions are unstructured and poorly circumscribed.
Defects in ACTA1 are a cause of myopathy congenital with excess of thin myofilaments (MPCETM) [MIM:161800]. A congenital muscular disorder characterized at histological level by areas of sarcoplasm devoid of normal myofibrils and mitochondria, and replaced with dense masses of thin filaments. Central cores, rods, ragged red fibers, and necrosis are absent.

Similarity:
Belongs to the actin family.

Database links:

Entrez Gene: 396526 Chicken

Entrez Gene: 60 Human

Entrez Gene: 11461 Mouse

Entrez Gene: 100009272 Rabbit

Entrez Gene: 81822 Rat

Omim: 102630 Human

SwissProt: P60706 Chicken

SwissProt: P60712 Cow

SwissProt: P60708 Horse

SwissProt: P60709 Human

SwissProt: P60710 Mouse

SwissProt: P29751 Rabbit

SwissProt: P60711 Rat

SwissProt: P60713 Sheep

Unigene: 520640 Human

Unigene: 708120 Human

Unigene: 727576 Human

Unigene: 328431 Mouse

Unigene: 391967 Mouse

Unigene: 94978 Rat



Important Note:
This product as supplied is intended for research use only, not for use in human, therapeutic or diagnostic applications.
产品图片
25 ug total protein per lane of various lysates (see on figure) probed with beta-Actin monoclonal antibody, HRP conjugated (bsm-33036M-HRP) at 1:5000 dilution and 4°C overnight incubation.
Paraformaldehyde-fixed, paraffin embedded Human Uterus; Antigen retrieval by boiling in sodium citrate buffer (pH6.0) for 15 min; The section was incubated with beta-Actin Monoclonal Antibody (bsm-33036M-HRP) at 1:200 overnight at 4°C, and DAB (C-0010) staining.
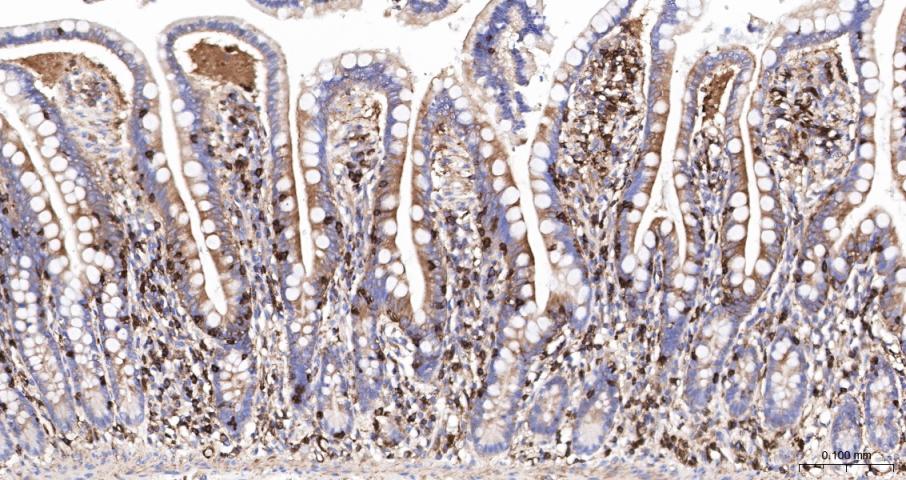
Paraformaldehyde-fixed, paraffin embedded Human Small Intestine; Antigen retrieval by boiling in sodium citrate buffer (pH6.0) for 15 min; The section was incubated with beta-Actin Monoclonal Antibody (bsm-33036M-HRP) at 1:200 overnight at 4°C, and DAB (C-0010) staining.
Paraformaldehyde-fixed, paraffin embedded Human Colon; Antigen retrieval by boiling in sodium citrate buffer (pH6.0) for 15 min; The section was incubated with beta-Actin Monoclonal Antibody (bsm-33036M-HRP) at 1:200 overnight at 4°C, and DAB (C-0010) staining.
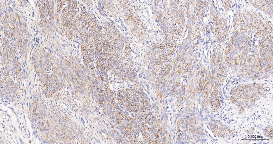
Paraformaldehyde-fixed, paraffin embedded Human Colon Cancer; Antigen retrieval by boiling in sodium citrate buffer (pH6.0) for 15 min; The section was incubated with beta-Actin Monoclonal Antibody (bsm-33036M-HRP) at 1:200 overnight at 4°C, and DAB (C-0010) staining.
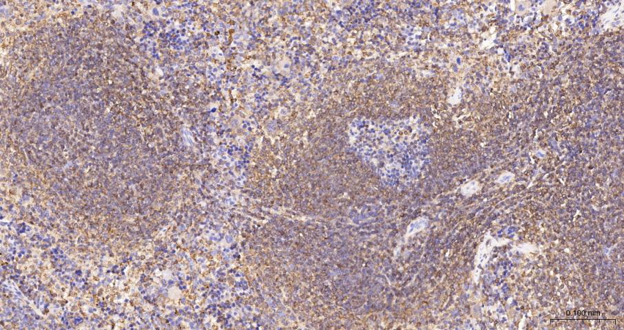
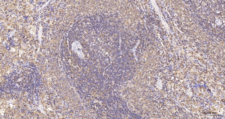
Paraformaldehyde-fixed, paraffin embedded Mouse Spleen; Antigen retrieval by boiling in sodium citrate buffer (pH6.0) for 15 min; The section was incubated with beta-Actin Monoclonal Antibody (bsm-33036M-HRP) at 1:200 overnight at 4°C, and DAB (C-0010) staining.
Paraformaldehyde-fixed, paraffin embedded Rat Spleen; Antigen retrieval by boiling in sodium citrate buffer (pH6.0) for 15 min; The section was incubated with beta-Actin Monoclonal Antibody (bsm-33036M-HRP) at 1:200 overnight at 4°C, and DAB (C-0010) staining.
版权所有 2004-2026 www.bioss.com.cn 北京博奥森生物技术有限公司
通过国际质量管理体系ISO 9001:2015 GB/T 19001-2016    证书编号: 00124Q34771R2M/1100
通过国际医疗器械-质量管理体系ISO 13485:2016 GB/T 42061-2022     证书编号: CQC24QY20047R0M/1100
京ICP备05066980号-1         京公网安备110107000727号