扫码关注公众号           扫码咨询技术支持           扫码咨询技术服务
  
客服热线:400-901-9800  客服QQ:4009019800  技术答疑  技术支持  质量反馈  人才招聘  关于我们  联系我们
产品中心-北京博奥森生物技术有限公司
首页 > 产品中心 > 标记一抗 > 产品信息
Mouse Anti-alpha smooth muscle Actin/Cy5 Conjugated antibody (bsm-33188M-Cy5)
订购热线:400-901-9800
订购邮箱:sales@bioss.com.cn
订购QQ:  400-901-9800
技术支持:techsupport@bioss.com.cn
说 明 书: 100ul  
100ul/2980.00元
大包装/询价

产品编号 bsm-33188M-Cy5
英文名称 Mouse Anti-alpha smooth muscle Actin/Cy5 Conjugated antibody
中文名称 Cy5标记的肌动蛋白α/α-SMA/α Actin抗体
别    名 alpha sarcomeric Actin; alpha smooth muscle Actin; Actin alpha; ASMA; ASM-A; alpha-SMA; alpha SMA; AAT6; ACTA2; Actin alpha 2 smooth muscle aorta; Actin aortic smooth muscle; ACTSA; ACTVS; Alpha 2 actin; Alpha-actin 2; Cell growth inhibiting gene 46 protein; Growth inhibiting gene 46; ACTA_HUMAN; Actin alpha 2 smooth muscle aorta; Actin aortic smooth muscle; Actin, aortic smooth muscle; Alpha 2 actin; Alpha actin 2; Alpha cardiac actin; Alpha-actin 2; Alpha-actin-2; Cell growth inhibiting gene 46 protein; Cell growth-inhibiting gene 46 protein; Growth inhibiting gene 46; MYMY5  
规格价格 100ul/2980元 购买        大包装/询价
说 明 书 100ul  
产品类型 内参抗体 
研究领域 细胞生物  发育生物学  细胞骨架  
抗体来源 Mouse
克隆类型 Monoclonal
克 隆 号 8B2
交叉反应 Human, Mouse,  (predicted: Rat, )
产品应用 ICC=1:50-200 IF=1:50-200 
not yet tested in other applications.
optimal dilutions/concentrations should be determined by the end user.
分 子 量 42kDa
性    状 Lyophilized or Liquid
浓    度 1mg/ml
免 疫 原 KLH conjugated synthetic peptide derived from human alpha smooth muscle Actin
亚    型 IgG
纯化方法 affinity purified by Protein G
储 存 液 0.01M TBS(pH7.4) with 1% BSA, 0.03% Proclin300 and 50% Glycerol.
保存条件 Store at -20 °C for one year. Avoid repeated freeze/thaw cycles. The lyophilized antibody is stable at room temperature for at least one month and for greater than a year when kept at -20°C. When reconstituted in sterile pH 7.4 0.01M PBS or diluent of antibody the antibody is stable for at least two weeks at 2-4 °C.
产品介绍 background:
The product encoded by this gene belongs to the actin family of proteins, which are highly conserved proteins that play a role in cell motility, structure and integrity. Alpha, beta and gamma actin isoforms have been identified, with alpha actins being a major constituent of the contractile apparatus, while beta and gamma actins are involved in the regulation of cell motility. This actin is an alpha actin that is found in skeletal muscle. Mutations in this gene cause nemaline myopathy type 3, congenital myopathy with excess of thin myofilaments, congenital myopathy with cores, and congenital myopathy with fiber-type disproportion, diseases that lead to muscle fiber defects. [provided by RefSeq, Jul 2008]

Function:
Actins are highly conserved proteins that are involved in various types of cell motility and are ubiquitously expressed in all eukaryotic cells.

Subunit:
Polymerization of globular actin (G-actin) leads to a structural filament (F-actin) in the form of a two-stranded helix. Each actin can bind to 4 others.

Subcellular Location:
Cytoplasm, cytoskeleton.

Post-translational modifications:
Oxidation of Met-46 by MICALs (MICAL1, MICAL2 or MICAL3) to form methionine sulfoxide promotes actin filament depolymerization. Methionine sulfoxide is produced stereospecifically, but it is not known whether the (S)-S-oxide or the (R)-S-oxide is produced (By similarity).

DISEASE:
Note=ACTA2 mutations predispose patients to a variety of diffuse and diverse vascular diseases, premature onset coronary artery disease (CAD), premature ischemic strokes and Moyamoya disease.
Defects in ACTA2 are the cause of familial aortic aneurysm thoracic type 6 (AAT6) [MIM:611788]. AATs are characterized by permanent dilation of the thoracic aorta usually due to degenerative changes in the aortic wall. They are primarily associated with a characteristic histologic appearance known as 'medial necrosis' or 'Erdheim cystic medial necrosis' in which there is degeneration and fragmentation of elastic fibers, loss of smooth muscle cells, and an accumulation of basophilic ground substance.
Defects in ACTA2 are the cause of Moyamoya disease type 5 (MYMY5) [MIM:614042]. Moyamoya disease is a progressive cerebral angiopathy characterized by bilateral intracranial carotid artery stenosis and telangiectatic vessels in the region of the basal ganglia. The abnormal vessels resemble a 'puff of smoke' (moyamoya) on cerebral angiogram. Affected individuals can develop transient ischemic attacks and/or cerebral infarction, and rupture of the collateral vessels can cause intracranial hemorrhage. Hemiplegia of sudden onset and epileptic seizures constitute the prevailing presentation in childhood, while subarachnoid bleeding occurs more frequently in adults.
Defects in ACTA2 are the cause of multisystemic smooth muscle dysfunction syndrome (MSMDYS) [MIM:613834]. MSMDYS is a syndrome characterized by dysfunction of smooth muscle cells throughout the body, leading to aortic and cerebrovascular disease, fixed dilated pupils, hypotonic bladder, malrotation, and hypoperistalsis of the gut and pulmonary hypertension.

Similarity:
Belongs to the actin family.

Database links:
Entrez Gene: 101021287 Baboon

Entrez Gene: 515610 Cow

Entrez Gene: 59 Human

Entrez Gene: 11475 Mouse

Entrez Gene: 733615 Pig

Entrez Gene: 100009271 Rabbit

Entrez Gene: 81633 Rat

Omim: 102620 Human

SwissProt: P62739 Cow

SwissProt: P62736 Human

SwissProt: P62737 Mouse

SwissProt: P62740 Rabbit

SwissProt: P62738 Rat

Unigene: 500483 Human

Unigene: 213025 Mouse

Unigene: 195319 Rat

Unigene: 3114 Rat



Important Note:
This product as supplied is intended for research use only, not for use in human, therapeutic or diagnostic applications.

结构蛋白(Structural Proteins)
Actin α/α-Actin 是一种具有收缩能力的微丝蛋白,a-SMA广泛分布于几乎所有的肌型细胞中。Actin-α蛋白主要用于检测骨骼肌、平滑肌、血管平滑肌、心肌和肌原性肿瘤 包括:平滑肌瘤、平滑肌肉瘤、横纹肌肉瘤以及肌上细胞和肌上皮瘤。Actin(肌动蛋白)是在所有真核细胞中都表达的高度保守的蛋白质。它们沿微管组成了细胞骨架的主要成分。肌动蛋白至少表达为6种异构形式。它在心脏、骨骼横纹肌组织和某些平滑肌组织中表达,调节其收缩功能。有报导说肌动蛋白在乳房瘤中是高度磷酸化的。肌动蛋白的功能失调也会导致某种类型的心脏病。平滑肌α肌动蛋白使人更感兴趣,因为编码它的基因是相对局限于在血管平滑肌细胞中表达的少数几个基因之一。肌动蛋白是标记平滑肌和肌上皮细胞肿瘤的有效工具。
产品图片
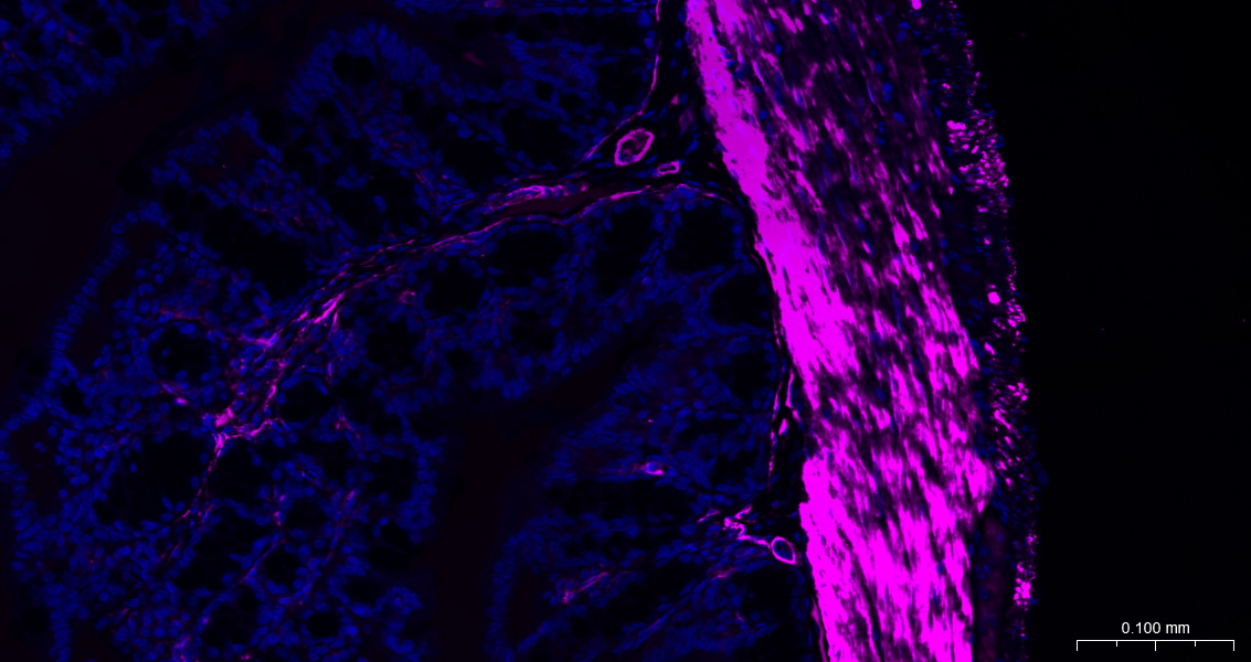
Paraformaldehyde-fixed, paraffin embedded Mouse Uterus; Antigen retrieval by boiling in sodium citrate buffer (pH6.0) for 15 min; Incubation: alpha smooth muscle Actin Monoclonal Antibody, conjugated (bsm-33188M-Cy5) at 1:200 overnight at 4°C; DAPI (blue, C02-04002) was used to stain the cell nuclei.
Paraformaldehyde-fixed, paraffin embedded Rat Uterus; Antigen retrieval by boiling in sodium citrate buffer (pH6.0) for 15 min; Incubation: alpha smooth muscle Actin Monoclonal Antibody, conjugated (bsm-33188M-Cy5) at 1:200 overnight at 4°C; DAPI (blue, C02-04002) was used to stain the cell nuclei.
Paraformaldehyde-fixed, paraffin embedded Mouse Small Intestine; Antigen retrieval by boiling in sodium citrate buffer (pH6.0) for 15 min; Incubation: alpha smooth muscle Actin Monoclonal Antibody, conjugated (bsm-33188M-Cy5) at 1:200 overnight at 4°C; DAPI (blue, C02-04002) was used to stain the cell nuclei.
Paraformaldehyde-fixed, paraffin embedded Human Small Intestine; Antigen retrieval by boiling in sodium citrate buffer (pH6.0) for 15 min; Incubation: alpha smooth muscle Actin Monoclonal Antibody, conjugated (bsm-33188M-Cy5) at 1:200 overnight at 4°C; DAPI (blue, C02-04002) was used to stain the cell nuclei.
Paraformaldehyde-fixed, paraffin embedded Rat Small Intestine; Antigen retrieval by boiling in sodium citrate buffer (pH6.0) for 15 min; Incubation: alpha smooth muscle Actin Monoclonal Antibody, conjugated (bsm-33188M-Cy5) at 1:200 overnight at 4°C; DAPI (blue, C02-04002) was used to stain the cell nuclei.
Paraformaldehyde-fixed, paraffin embedded Mouse Stomach; Antigen retrieval by boiling in sodium citrate buffer (pH6.0) for 15 min; Incubation: alpha smooth muscle Actin Monoclonal Antibody, conjugated (bsm-33188M-Cy5) at 1:200 overnight at 4°C; DAPI (blue, C02-04002) was used to stain the cell nuclei.
Paraformaldehyde-fixed, paraffin embedded Rat Stomach; Antigen retrieval by boiling in sodium citrate buffer (pH6.0) for 15 min; Incubation: alpha smooth muscle Actin Monoclonal Antibody, conjugated (bsm-33188M-Cy5) at 1:200 overnight at 4°C; DAPI (blue, C02-04002) was used to stain the cell nuclei.
Paraformaldehyde-fixed, paraffin embedded Human Colon; Antigen retrieval by boiling in sodium citrate buffer (pH6.0) for 15 min; Incubation: alpha smooth muscle Actin Monoclonal Antibody, conjugated (bsm-33188M-Cy5) at 1:200 overnight at 4°C; DAPI (blue, C02-04002) was used to stain the cell nuclei.
Paraformaldehyde-fixed, paraffin embedded Mouse Colon; Antigen retrieval by boiling in sodium citrate buffer (pH6.0) for 15 min; Incubation: alpha smooth muscle Actin Monoclonal Antibody, conjugated (bsm-33188M-Cy5) at 1:200 overnight at 4°C; DAPI (blue, C02-04002) was used to stain the cell nuclei.
Paraformaldehyde-fixed, paraffin embedded Rat Colon; Antigen retrieval by boiling in sodium citrate buffer (pH6.0) for 15 min; Incubation: alpha smooth muscle Actin Monoclonal Antibody, conjugated (bsm-33188M-Cy5) at 1:200 overnight at 4°C; DAPI (blue, C02-04002) was used to stain the cell nuclei.
版权所有 2004-2026 www.bioss.com.cn 北京博奥森生物技术有限公司
通过国际质量管理体系ISO 9001:2015 GB/T 19001-2016    证书编号: 00124Q34771R2M/1100
通过国际医疗器械-质量管理体系ISO 13485:2016 GB/T 42061-2022     证书编号: CQC24QY20047R0M/1100
京ICP备05066980号-1         京公网安备110107000727号